RIPK3 anticorps (AA 251-300)
Aperçu rapide pour RIPK3 anticorps (AA 251-300) (ABIN6748652)
Antigène
Voir toutes RIPK3 AnticorpsReactivité
Hôte
Clonalité
Conjugué
Application
-
-
Épitope
- AA 251-300
-
Specificité
- Human RIPK3 / RIP3
-
Homologie
- Percent identity by BLAST analysis: Human (100%) Rat, Dog, Horse (92%).
-
Purification
- Immunoaffinity purified
-
Immunogène
-
Synthetic peptide located between aa251-300 of human RIPK3 (Q9Y572, NP_006862). Percent identity by BLAST analysis: Human, Gorilla (100%), Gibbon, Monkey, Rat, Dog, Horse (92%), Opossum (83%), Mouse (75%).
Type of Immunogen: Synthetic peptide
-
-
-
-
Indications d'application
-
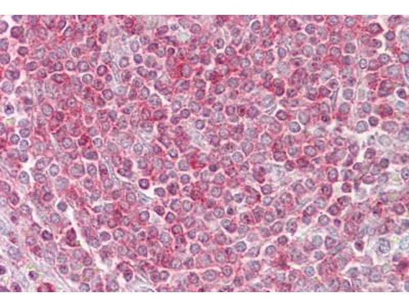
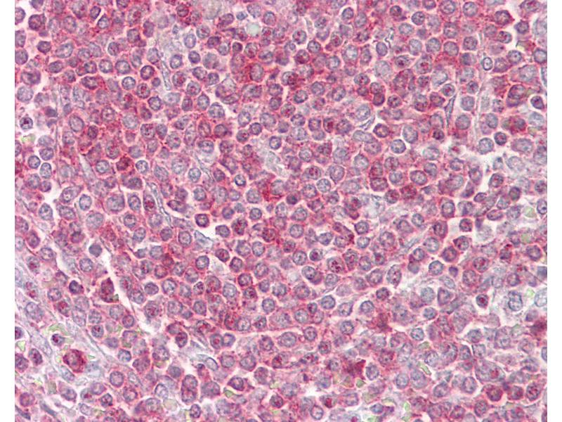
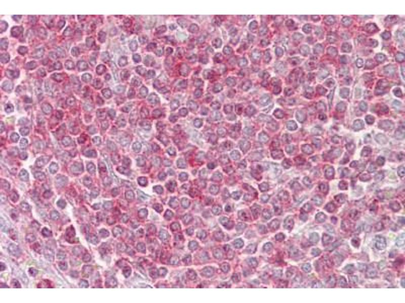
Approved: IHC, IHC-P (5 μg/mL), WB (0.2 - 1 μg/mL)
Usage: Western Blot: Suggested dilution at 1 μg/mL in 5 % skim milk / PBS buffer, and HRP conjugated anti-Rabbit IgG should be diluted in 1: 50,000 - 100,000 as secondary antibody. -
Commentaires
-
Target Species of Antibody: Human
-
Restrictions
- For Research Use only
-
-
-
Format
- Lyophilized
-
Reconstitution
- Distilled water
-
Concentration
- Lot specific
-
Buffer
- Lyophilized
-
Conseil sur la manipulation
- Avoid repeat freeze-thaw cycles.
-
Stock
- 4 °C,-20 °C
-
Stockage commentaire
-
Long term: -20°C, the use of 50% glycerol is recommended if storing aliquots in -20°C for long term use (up to 1 year)
Short term (less than 1 week): 4°C. Avoid freeze-thaw cycles.
-
-
- RIPK3 (Receptor-Interacting serine-threonine Kinase 3 (RIPK3))
-
Autre désignation
- RIPK3 / RIP3
-
Sujet
-
Name/Gene ID: RIPK3
Subfamily: RIP
Family: Protein Kinase
Synonyms: RIPK3, Receptor interacting protein 3, RIP-like protein kinase 3, RIP3, RIP-3, Receptor-interacting protein 3 -
ID gène
- 11035
-
NCBI Accession
- NP_006862
-
UniProt
- Q9Y572
-
Pathways
- Activation of Innate immune Response, Toll-Like Receptors Cascades
Antigène
-