WHSC1 anticorps (AA 219-268)
Aperçu rapide pour WHSC1 anticorps (AA 219-268) (ABIN6749705)
Antigène
Voir toutes WHSC1 AnticorpsReactivité
Hôte
Clonalité
Conjugué
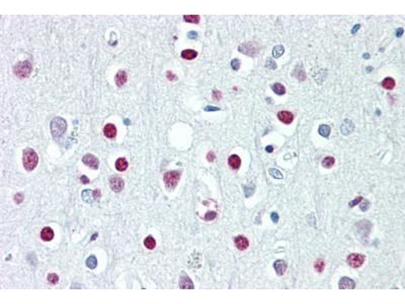
Application
-
-
Épitope
- AA 219-268
-
Specificité
- Human WHSC1
-
Homologie
- Percent identity by BLAST analysis: Human, Horse, Chicken (100%) Guinea pig (87%) Mouse (85%).
-
Purification
- Immunoaffinity purified
-
Immunogène
-
Synthetic peptide located between aa219-268 of human WHSC1 (O96031). Percent identity by BLAST analysis: Human, Chimpanzee, Gorilla, Gibbon, Monkey, Galago, Marmoset, Horse, Opossum, Turkey, Chicken (100%), Guinea pig (87%), Mouse, Rat, Elephant (85%).
Type of Immunogen: Synthetic peptide -
Isotype
- IgG
-
-
-
-
Indications d'application
- Approved: IHC, IHC-P (2.5 - 5 μg/mL), WB (0.2 - 1 μg/mL)
-
Commentaires
-
Target Species of Antibody: Human
-
Restrictions
- For Research Use only
-
-
-
Format
- Lyophilized
-
Reconstitution
- After adding water, will consist of PBS buffer with 2 % sucrose
-
Concentration
- Lot specific
-
Buffer
- Lyophilized from PBS with 2 % sucrose
-
Conseil sur la manipulation
- Avoid repeat freeze-thaw cycles.
-
Stock
- 4 °C,-20 °C
-
Stockage commentaire
-
Long term: -20°C, the use of 50% glycerol is recommended if storing aliquots in -20°C for long term use (up to 1 year)
Short term (less than 1 week): 4°C. Avoid freeze-thaw cycles.
-
-
- WHSC1 (Wolf-Hirschhorn Syndrome Candidate 1 (WHSC1))
-
Autre désignation
- WHSC1 / NSD2
-
Sujet
-
Name/Gene ID: WHSC1
Synonyms: WHSC1, NSD2, KIAA1090, TRX5, WHS, Protein trithorax-5, MMSET, REIIBP -
ID gène
- 7468
-
UniProt
- O96028
-
Pathways
- SARS-CoV-2 Protein Interactome
Antigène
-