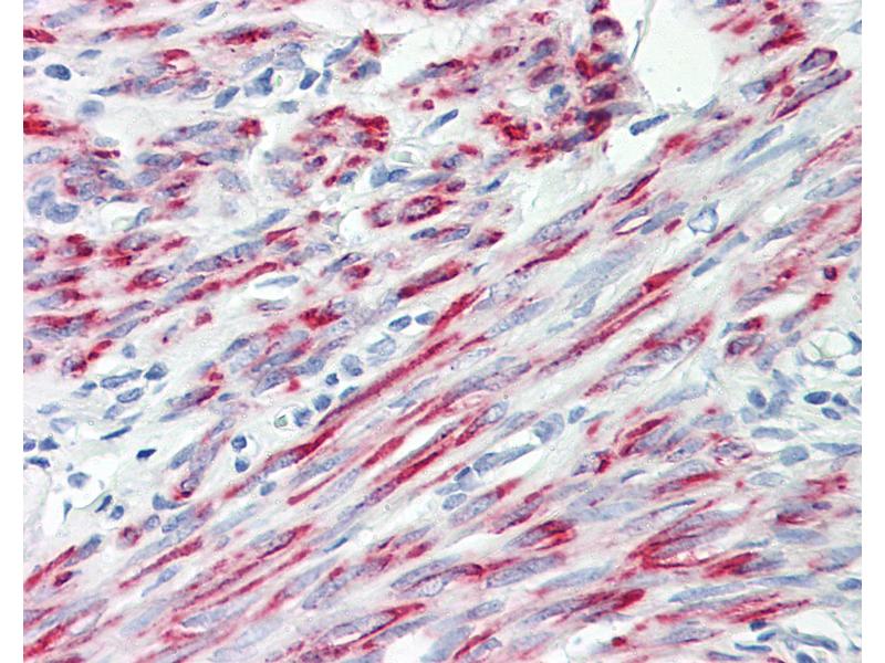
CPEB2 anticorps (AA 543-592)
Aperçu rapide pour CPEB2 anticorps (AA 543-592) (ABIN6749718)
Antigène
Voir toutes CPEB2 AnticorpsReactivité
Hôte
Clonalité
Conjugué
Application
-
-
Épitope
- AA 543-592
-
Specificité
- Human CPEB2
-
Purification
- Immunoaffinity purified
-
Immunogène
-
Synthetic peptide located between aa543-592 of human CPEB2 (Q7Z5Q1-2, NP_872291). Percent identity by BLAST analysis: Human, Chimpanzee, Orangutan, Monkey, Galago, Marmoset, Mouse, Rat, Pig, Opossum, Guinea pig (100%), Xenopus (85%), Bat (84%).
Type of Immunogen: Synthetic peptide -
Isotype
- IgG
-
-
-
-
Indications d'application
- Approved: IHC, IHC-P (5 - 10 μg/mL), WB (0.2 - 1 μg/mL)
-
Commentaires
-
Target Species of Antibody: Human
-
Restrictions
- For Research Use only
-
-
-
Format
- Lyophilized
-
Reconstitution
- After adding water, will consist of PBS buffer with 2 % sucrose
-
Concentration
- Lot specific
-
Buffer
- Lyophilized from PBS with 2 % sucrose
-
Conseil sur la manipulation
- Avoid repeat freeze-thaw cycles.
-
Stock
- 4 °C,-20 °C
-
Stockage commentaire
-
Long term: -20°C, the use of 50% glycerol is recommended if storing aliquots in -20°C for long term use (up to 1 year)
Short term (less than 1 week): 4°C. Avoid freeze-thaw cycles.
-
-
- CPEB2 (Cytoplasmic Polyadenylation Element Binding Protein 2 (CPEB2))
-
Autre désignation
- CPEB2
-
Sujet
-
Name/Gene ID: CPEB2
Synonyms: CPEB2, CPE-BP2, CPEB-2, CPE-binding protein 2, HCPEB-2 -
ID gène
- 132864
-
NCBI Accession
- NP_872291
Antigène
-