Tel:
+49 (0)241 95 163 153
Fax:
+49 (0)241 95 163 155
E-Mail:
orders@anticorps-enligne.fr

THAP5 anticorps (AA 203-252)

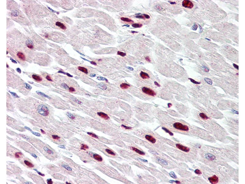
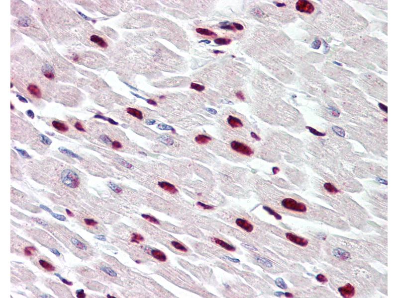
L’anticorps anti-THAP5 Polyclonal Lapin est utilisé pour la détection de THAP5 dans des échantillons de Humain, Cheval et Lapin. Il a été validé pour WB, IHC et IHC (p).
N° du produit ABIN6749756
512,07 €
Plus frais de livraison 40,00 € et TVA
100 μL
Destination: France
Envoi sous 15 à 20 jours ouvrables

Aperçu rapide pour THAP5 anticorps (AA 203-252) (ABIN6749756)

Antigène

Voir toutes THAP5 Anticorps
THAP5 (THAP Domain Containing 5 (THAP5))

Reactivité

  • 4
  • 1
  • 1
  • 1
Humain, Cheval, Lapin

Hôte

  • 3
  • 1
Lapin

Clonalité

  • 3
  • 1
Polyclonal

Conjugué

  • 4
Cet anticorp THAP5 est non-conjugé

Application

Western Blotting (WB), Immunohistochemistry (IHC), Immunohistochemistry (Paraffin-embedded Sections) (IHC (p))
  • Épitope

    • 2
    • 1
    AA 203-252

    Specificité

    Human THAP5

    Homologie

    Percent identity by BLAST analysis: Human (100%) Horse (85%).

    Purification

    Immunoaffinity purified

    Immunogène

    Synthetic peptide located between aa203-252 of human THAP5 (Q7Z6K1, NP_001123947). Percent identity by BLAST analysis: Human, Chimpanzee, Gibbon (100%), Monkey, Marmoset (92%), Bat, Horse (85%).

    Type of Immunogen: Synthetic peptide

    Isotype

    IgG
  • Indications d'application

    Approved: IHC, IHC-P (5 - 7.5 μg/mL), WB

    Usage: ELISA titer using peptide based assay: 1:312500. Western Blot: Suggested dilution at 1 μg/mL in 5 % skim milk / PBS buffer, and HRP conjugated anti-Rabbit IgG should be diluted in 1:50000 - 100000 as second antibody.

    Commentaires

    Target Species of Antibody: Human

    Restrictions

    For Research Use only
  • Format

    Lyophilized

    Reconstitution

    Distilled Water.

    Concentration

    Lot specific

    Buffer

    Lyophilized from PBS with 2 % sucrose

    Conseil sur la manipulation

    Avoid repeat freeze-thaw cycles.

    Stock

    4 °C,-20 °C

    Stockage commentaire

    Long term: -20°C, the use of 50% glycerol is recommended if storing aliquots in -20°C for long term use (up to 1 year)
    Short term (less than 1 week): 4°C. Avoid freeze-thaw cycles.
  • Antigène

    THAP5 (THAP Domain Containing 5 (THAP5))

    Autre désignation

    THAP5

    Sujet

    Name/Gene ID: THAP5

    Synonyms: THAP5, THAP domain containing 5

    ID gène

    168451

    NCBI Accession

    NP_001123947

    UniProt

    Q7Z6K1
Vous êtes ici:
Chat with us!