Tel:
+49 (0)241 95 163 153
Fax:
+49 (0)241 95 163 155
E-Mail:
orders@anticorps-enligne.fr

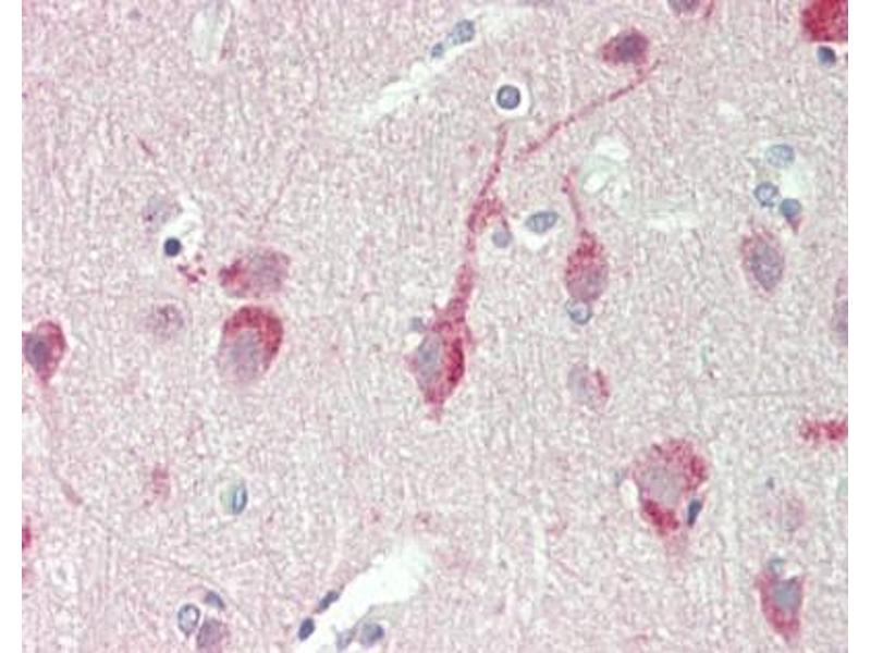
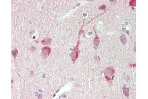
PSAT1 anticorps (AA 99-148)

L’anticorps anti-PSAT1 Polyclonal Lapin est utilisé pour la détection de PSAT1 dans des échantillons de Humain, Souris, Rat, Chien, Boeuf (Vache), Cobaye, Cheval, Lapin, Singe et Porc. Il a été validé pour WB, IHC et IHC (p).
N° du produit ABIN6756570
512,07 €
Plus frais de livraison 40,00 € et TVA
100 μL
Destination: France
Envoi sous 15 à 20 jours ouvrables

Aperçu rapide pour PSAT1 anticorps (AA 99-148) (ABIN6756570)

Antigène

Voir toutes PSAT1 Anticorps
PSAT1 (phosphoserine Aminotransferase 1 (PSAT1))

Reactivité

Humain, Souris, Rat, Chien, Boeuf (Vache), Cobaye, Cheval, Lapin, Singe, Porc

Hôte

  • 37
  • 8
Lapin

Clonalité

  • 39
  • 6
Polyclonal

Conjugué

  • 30
  • 4
  • 3
  • 2
  • 1
  • 1
  • 1
  • 1
  • 1
  • 1
Cet anticorp PSAT1 est non-conjugé

Application

  • 24
  • 17
  • 14
  • 11
  • 7
  • 5
  • 2
  • 2
  • 1
  • 1
Western Blotting (WB), Immunohistochemistry (IHC), Immunohistochemistry (Paraffin-embedded Sections) (IHC (p))
  • Épitope

    • 7
    • 5
    • 3
    • 2
    • 2
    • 2
    • 1
    • 1
    • 1
    • 1
    • 1
    AA 99-148

    Specificité

    Human PSAT1

    Purification

    Immunoaffinity purified

    Immunogène

    Synthetic peptide located between aa99-148 of human PSAT1 (Q9Y617, NP_478059). Percent identity by BLAST analysis: Human, Chimpanzee, Gorilla, Gibbon, Galago, Marmoset, Mouse, Rat, Elephant, Dog, Bovine, Rabbit, Horse, Pig, Guinea pig (100%), Panda, Bat, Platypus, Lizard, Xenopus, Smelt, Stickleback (92%), Zebra finch, Zebrafish (85%), Opossum (84%).

    Type of Immunogen: Synthetic peptide

    Isotype

    IgG
  • Indications d'application

    Approved: IHC, IHC-P (10 μg/mL), WB (1 μg/mL)

    Usage: ELISA titer using peptide based assay: 1:1562500. Western Blot: Suggested dilution at 1.0 μg/mL in 5 % skim milk / PBS buffer, and HRP conjugated anti-Rabbit IgG should be diluted in 1:50000 - 100000 as second antibody.

    Commentaires

    Target Species of Antibody: Human

    Restrictions

    For Research Use only
  • Format

    Lyophilized

    Reconstitution

    Distilled Water.

    Concentration

    Lot specific

    Buffer

    Lyophilized from PBS with 2 % sucrose

    Conseil sur la manipulation

    Avoid repeat freeze-thaw cycles.

    Stock

    4 °C,-20 °C

    Stockage commentaire

    Long term: -20°C, the use of 50% glycerol is recommended if storing aliquots in -20°C for long term use (up to 1 year)
    Short term (less than 1 week): 4°C. Avoid freeze-thaw cycles.
  • Antigène

    PSAT1 (phosphoserine Aminotransferase 1 (PSAT1))

    Autre désignation

    PSAT1

    Sujet

    Name/Gene ID: PSAT1

    Synonyms: PSAT1, EPIP, Phosphoserine aminotransferase, PSA, PSAT

    ID gène

    29968

    NCBI Accession

    NP_478059

    Pathways

    L'effet Warburg
Vous êtes ici:
Chat with us!