LIFR anticorps (AA 451-580)
Aperçu rapide pour LIFR anticorps (AA 451-580) (ABIN686827)
Antigène
Voir toutes LIFR AnticorpsReactivité
Hôte
Clonalité
Conjugué
Application
-
-
Épitope
- AA 451-580
-
Réactivité croisée
- Humain
-
Homologie
- Mouse,Rat,Dog,Cow
-
Purification
- Purified by Protein A.
-
Immunogène
- KLH conjugated synthetic peptide derived from rat LIFR
-
Isotype
- IgG
-
-
-
-
Indications d'application
-
WB 1:300-5000
ELISA 1:500-1000
FCM 1:20-100
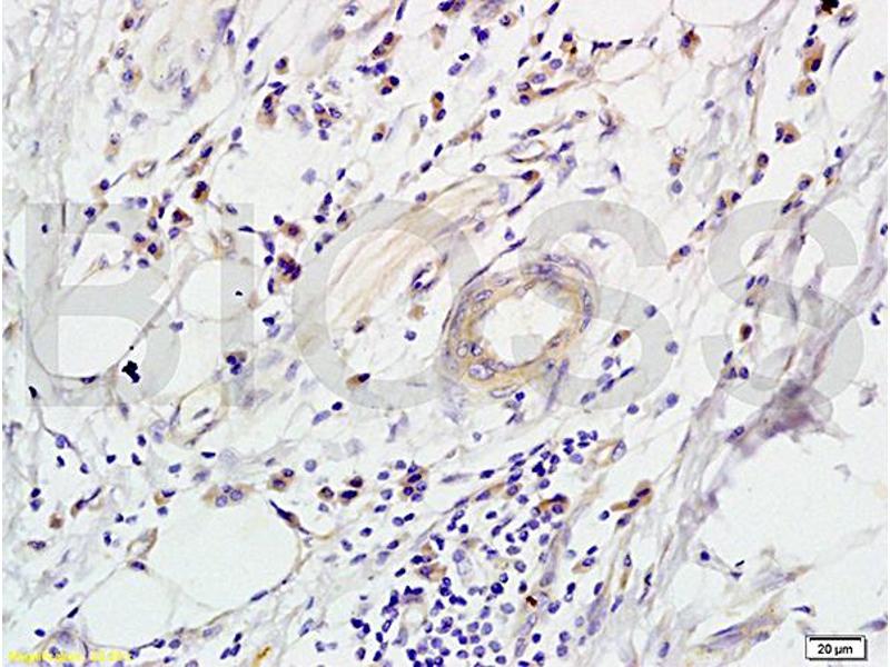
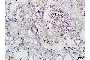
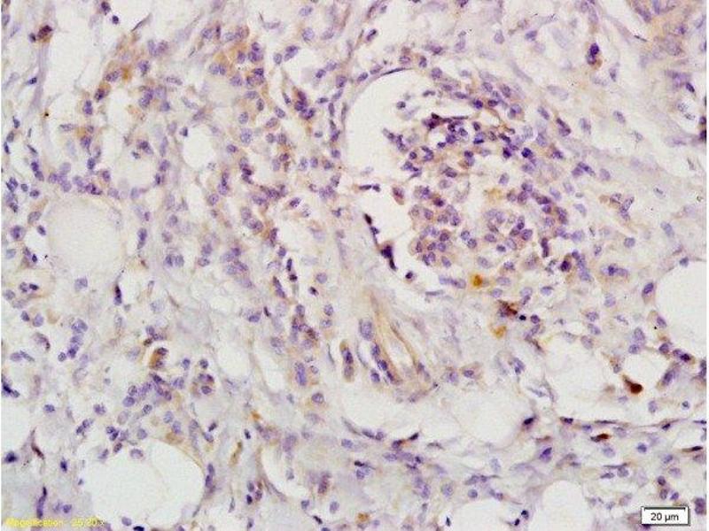
IHC-P 1:200-400
IHC-F 1:100-500
IF(IHC-P) 1:50-200
IF(IHC-F) 1:50-200
IF(ICC) 1:50-200 -
Restrictions
- For Research Use only
-
-
-
Format
- Liquid
-
Concentration
- 1 μg/μL
-
Buffer
- 0.01M TBS( pH 7.4) with 1 % BSA, 0.02 % Proclin300 and 50 % Glycerol.
-
Agent conservateur
- ProClin
-
Précaution d'utilisation
- This product contains ProClin: a POISONOUS AND HAZARDOUS SUBSTANCE, which should be handled by trained staff only.
-
Stock
- 4 °C,-20 °C
-
Stockage commentaire
- Shipped at 4°C. Store at -20°C for one year. Avoid repeated freeze/thaw cycles.
-
Date de péremption
- 12 months
-
-
-
: "Leukemia Inhibitory Factor Is Necessary for Ovulation in Female Rhesus Macaques." dans: Endocrinology, Vol. 157, Issue 11, pp. 4378-4387, (2016) (PubMed).
-
-
- LIFR (Leukemia Inhibitory Factor Receptor alpha (LIFR))
-
Autre désignation
- Lifr/Cd118
-
Sujet
-
Synonyms: SWS, SJS2, STWS, CD118, LIF-R, Leukemia inhibitory factor receptor, LIF receptor, LIFR
Background: Signal-transducing molecule. May have a common pathway with IL6ST. The soluble form inhibits the biological activity of LIF by blocking its binding to receptors on target cells.
-
ID gène
- 3977
-
UniProt
- O70535
-
Pathways
- Signalistation JAK/STAT, Growth Factor Binding
Antigène
-