Tel:
+49 (0)241 95 163 153
Fax:
+49 (0)241 95 163 155
E-Mail:
orders@anticorps-enligne.fr

LGALS13 anticorps (AA 23-134)

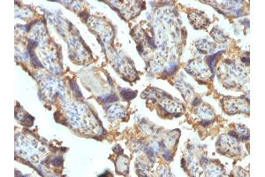
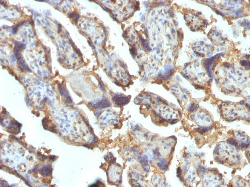
Cet anticorps Souris Monoclonal détecte spécifiquement LGALS13 dans IHC, ELISA, Coat et StM. Il présente une réactivité avec des échantillons de Humain.
N° du produit ABIN6939563
639,45 €
Plus frais de livraison 40,00 € et TVA
Destination: France
Envoi sous 6 à 10 jours ouvrables

Aperçu rapide pour LGALS13 anticorps (AA 23-134) (ABIN6939563)

Antigène

Voir toutes LGALS13 Anticorps
LGALS13 (Lectin, Galactoside-Binding, Soluble, 13 (LGALS13))

Reactivité

  • 26
  • 1
Humain

Hôte

  • 20
  • 6
Souris

Clonalité

  • 18
  • 8
Monoclonal

Conjugué

  • 11
  • 2
  • 2
  • 2
  • 2
  • 2
  • 2
  • 2
  • 1
Cet anticorp LGALS13 est non-conjugé

Application

  • 19
  • 17
  • 16
  • 16
  • 10
  • 8
  • 2
  • 1
  • 1
Immunohistochemistry (IHC), ELISA, Coating (Coat), Staining Methods (StM)

Clone

PP13-1162
  • Épitope

    • 18
    • 4
    • 1
    • 1
    • 1
    AA 23-134

    Specificité

    It recognizes a 32 kDa protein, which is identified as homodimer of galectin-13 (also known as PP13). Galectins are a family of soluble -galactoside-binding lectins that modulate cell-to-cell adhesion and cell-to-extracellular matrix (ECM) interactions and play a role in tumor progression, pre-mRNA splicing and apoptosis. One such member, galectin-13, is a 139 amino acid protein that contains one galectin domain. Possessing lysophospholipase activity, galectin-13 exists as a disulfide-linked homodimer. Galectin-13 is suggested to have a developmental role in the placenta and may display immunobiological activity in feto-maternal blood-spaces. Screening for galectin-13 in maternal serum during the first trimester of pregnancy may serve as a diagnostic marker to predict preterm pre-eclampsia.

    Purification

    Purified by Protein A/G

    Immunogène

    Recombinant human Galectin-13 protein fragment (aa23-134)

    Isotype

    IgG2b kappa
  • Indications d'application

    Positive Control: K-562 cells. Placenta or Spleen.

    Known Application: ELISA (For coating, order Ab without BSA),Immunohistochemistry (Formalin-fixed) (1-2 μg/mL for 30 minutes at RT)(Staining of formalin-fixed tissues requires boiling tissue sections in 10 mM Tris with 1 mM EDTA, pH 9.0 or 10 mM Citrate buffer, pH 6.0, for 10-20 min followed by cooling at RT for 20 minutes)Optimal dilution for a specific application should be determined.

    Restrictions

    For Research Use only
  • Concentration

    200 μg/mL

    Buffer

    10 mM PBS with 0.05 % BSA & 0.05 % azide.

    Agent conservateur

    Sodium azide

    Précaution d'utilisation

    This product contains Sodium azide: a POISONOUS AND HAZARDOUS SUBSTANCE which should be handled by trained staff only.

    Stock

    4 °C,-80 °C

    Stockage commentaire

    Antibody with azide - store at 2 to 8°C. Antibody without azide - store at -20 to -80°C. Antibody is stable for 24 months. Non-hazardous. No MSDS required.

    Date de péremption

    24 months
  • Antigène

    LGALS13 (Lectin, Galactoside-Binding, Soluble, 13 (LGALS13))

    Autre désignation

    LGALS13

    Poids moléculaire

    16kDa (monomer), 32kDa (homodimer)

    ID gène

    29124

    UniProt

    Q9UHV8
Vous êtes ici:
Chat with us!