Tel:
+49 (0)241 95 163 153
Fax:
+49 (0)241 95 163 155
E-Mail:
orders@anticorps-enligne.fr

CDC20 anticorps

L’anticorps anti-CDC20 Monoclonal Souris est utilisé pour la détection de CDC20 dans des échantillons de Humain. Il a été validé pour IHC, IF et FACS.
N° du produit ABIN6941283
639,45 €
Plus frais de livraison 40,00 € et TVA
Destination: France
Envoi sous 6 à 10 jours ouvrables

Aperçu rapide pour CDC20 anticorps (ABIN6941283)

Antigène

Voir toutes CDC20 Anticorps
CDC20 (Cell Division Cycle 20 Homolog (S. Cerevisiae) (CDC20))

Reactivité

  • 64
  • 24
  • 20
  • 6
  • 3
  • 3
  • 3
  • 3
  • 2
  • 2
  • 1
  • 1
  • 1
Humain

Hôte

  • 51
  • 13
Souris

Clonalité

  • 49
  • 15
Monoclonal

Conjugué

  • 37
  • 4
  • 2
  • 2
  • 2
  • 2
  • 2
  • 2
  • 1
  • 1
  • 1
  • 1
  • 1
  • 1
  • 1
  • 1
  • 1
  • 1
  • 1
Cet anticorp CDC20 est non-conjugé

Application

  • 31
  • 21
  • 19
  • 15
  • 14
  • 7
  • 7
  • 3
  • 3
  • 2
  • 2
  • 1
Immunohistochemistry (IHC), Immunofluorescence (IF), Flow Cytometry (FACS)

Clone

AR12
  • Fonction

    Cdc20 (Cell Division Cycle Protein 20) Antibody

    Specificité

    Cyclins, regulatory subunits, which associate with kinases, control many of the important steps in cell cycle progression. The Cdc2 protein kinase (p34Cdc2) exhibits protein kinase activity in vitro and exists in a complex with both cyclin B and a protein homologous to p13SUC1. Cdc2 kinase is the active subunit of the M phase promoting factor (MPF) and the M phase-specific Histone H1 kinase. The p34Cdc2/cyclin B complex is required for the G2 to M transition. An additional cell cycle-dependent protein kinase, termed p55cdc, exhibits a high degree of homology with the S. cerevisiae proteins Cdc20 and Cdc4. The p55cdc transcript is readily detectable in a variety of cultured cell lines in growth phase, but disappears when cell growth is chemically arrested.

    Purification

    200ug/ml of Ab Purified from Bioreactor Concentrate by Protein A/G.

    Immunogène

    Urea-denatured His6 Cdc20 human recombinant protein

    Isotype

    IgG1, kappa
  • Indications d'application

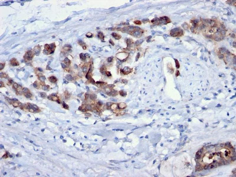
    Positive Control: Ramos or HeLa cells. Tonsil or gastric carcinoma.

    Known Application: Flow Cytometry (0.5-1 μg/million cells), Immunofluorescence (0.5-1 μg/mL), Immunohistochemistry (Formalin-fixed) (0.5-1 μg/mL for 30 minutes at RT)(Staining of formalin-fixed tissues requires boiling tissue sections in 10 mM Citrate Buffer, pH 6.0, for 10-20 min followed by cooling at RT for 20 minutes)Optimal dilution for a specific application should be determined.

    Restrictions

    For Research Use only
  • Concentration

    200 μg/mL

    Buffer

    Prepared in 10 mM PBS with 0.05 % BSA & 0.05 % azide.

    Agent conservateur

    Sodium azide

    Précaution d'utilisation

    This product contains Sodium azide: a POISONOUS AND HAZARDOUS SUBSTANCE which should be handled by trained staff only.

    Stock

    4 °C

    Stockage commentaire

    Antibody with azide - store at 2 to 8°C. Antibody without azide - store at -20 to -80°C. Antibody is stable for 24 months. Non-hazardous. No MSDS required.

    Date de péremption

    24 months
  • Antigène

    CDC20 (Cell Division Cycle 20 Homolog (S. Cerevisiae) (CDC20))

    Autre désignation

    CDC20

    Sujet

    CDC20, CDC20A, p55CDC, P55CDC-LSB

    Ramos or HeLa cells. Tonsil or gastric carcinoma.

    Poids moléculaire

    55kDa

    ID gène

    991, 524947

    UniProt

    Q12834
Vous êtes ici:
Chat with us!