Tel:
+49 (0)241 95 163 153
Fax:
+49 (0)241 95 163 155
E-Mail:
orders@anticorps-enligne.fr

KRT8, KRT18 anticorps

L’anticorps anti-KRT8, KRT18 Monoclonal Souris est utilisé pour la détection de KRT8, KRT18 dans des échantillons de Humain. Il a été validé pour IHC et StM.
N° du produit ABIN6941351
639,45 €
Plus frais de livraison 40,00 € et TVA
Destination: France
Envoi sous 6 à 10 jours ouvrables

Aperçu rapide pour KRT8, KRT18 anticorps (ABIN6941351)

Antigène

KRT8, KRT18

Reactivité

  • 6
  • 1
  • 1
  • 1
  • 1
Humain

Hôte

  • 4
  • 2
Souris

Clonalité

  • 6
Monoclonal

Conjugué

  • 6
Inconjugué

Application

  • 4
  • 3
  • 3
  • 3
  • 2
  • 2
Immunohistochemistry (IHC), Staining Methods (StM)

Clone

KRT8-803-KRT18-835
  • Specificité

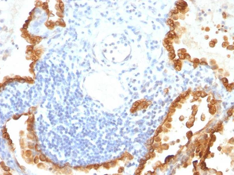
    Cytokeratin 8 (CK8) belongs to the type II (or B or basic) subfamily of high molecular weight cytokeratins and exists in combination with cytokeratin 18 (CK18). This MAb cocktail recognizes all simple epithelia including glandular epithelium, for example thyroid, female breast, gastrointestinal tract, respiratory tract, and urogenital tract including transitional epithelium. All adenocarcinomas and most squamous carcinomas are positive but keratinizing squamous carcinomas are usually negative. This antibody is useful in demonstrating the presence of Paget cells, there is very little keratin 18 in the normal epidermis so only Paget cells are stained.Immuno-histochemical staining with this MAb is indistinguishable from that obtained with monoclonal antibody 5D3.

    Purification

    Purified by Protein A/G

    Immunogène

    Recombinant full-length human KRT8 protein (KRT8/803), Recombinant full-length human KRT18 protein (KRT18/835)

    Isotype

    IgG1 kappa
  • Indications d'application

    Positive Control: MCF-7 or A431 cells. Skin, colon, lung or breast carcinoma.

    Known Application: Immunohistochemistry (Formalin-fixed) (0.1-0.2 μg/mL for 30 min at RT)(Staining of formalin-fixed tissues requires boiling tissue sections in 10 mM citrate buffer, pH 6.0, for 10-20 min followed by cooling at RT for 20 minutes)Optimal dilution for a specific application should be determined.

    Restrictions

    For Research Use only
  • Concentration

    200 μg/mL

    Buffer

    10 mM PBS with 0.05 % BSA & 0.05 % azide.

    Agent conservateur

    Sodium azide

    Précaution d'utilisation

    This product contains Sodium azide: a POISONOUS AND HAZARDOUS SUBSTANCE which should be handled by trained staff only.

    Stock

    4 °C,-80 °C

    Stockage commentaire

    Antibody with azide - store at 2 to 8°C. Antibody without azide - store at -20 to -80°C. Antibody is stable for 24 months. Non-hazardous. No MSDS required.

    Date de péremption

    24 months
  • Antigène

    KRT8, KRT18

    Autre désignation

    KRT8 & KRT18

    Poids moléculaire

    52.5kDa (CK8), 45kDa (CK18)

    ID gène

    3856, 3875

    UniProt

    P05787, P05783
Vous êtes ici:
Chat with us!