Tel:
+49 (0)241 95 163 153
Fax:
+49 (0)241 95 163 155
E-Mail:
orders@anticorps-enligne.fr

ACTA1/ACTA2A/ACTG2 anticorps

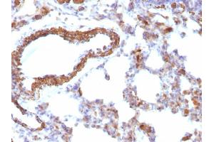
L’anticorps anti-ACTA1/ACTA2A/ACTG2 Monoclonal Souris est utilisé pour la détection de ACTA1/ACTA2A/ACTG2 dans des échantillons de Humain, Lapin et Rat. Il a été validé pour IHC, StM et WB.
N° du produit ABIN6941399
639,45 €
Plus frais de livraison 40,00 € et TVA
Destination: France
Envoi sous 6 à 10 jours ouvrables

Aperçu rapide pour ACTA1/ACTA2A/ACTG2 anticorps (ABIN6941399)

Antigène

ACTA1/ACTA2A/ACTG2 (ACTA1 (Skeletal), ACTA2 (Smooth), ACTG2 (Smooth))

Reactivité

  • 3
  • 1
  • 1
  • 1
  • 1
  • 1
  • 1
Humain, Lapin, Rat

Hôte

  • 3
Souris

Clonalité

  • 3
Monoclonal

Conjugué

  • 3
Cet anticorp ACTA1/ACTA2A/ACTG2 est non-conjugé

Application

  • 2
  • 2
  • 2
  • 1
  • 1
  • 1
Immunohistochemistry (IHC), Staining Methods (StM), Western Blotting (WB)

Clone

MSA-953
  • Specificité

    This antibody recognizes actin of skeletal, cardiac, and smooth muscle cells. It is not reactive with other mesenchymal cells except for myoepithelium. Actin can be resolved on the basis of its isoelectric points into three distinctive components: alpha, beta, and gamma in order of increasing isoelectric point. Anti-muscle specific actin recognizes alpha and gamma isotypes of all muscle groups. Non-muscle cells such as vascular endothelial cells and connective tissues are non-reactive. Also, neoplastic cells of non-muscle-derived tissue such as carcinomas, melanomas, and lymphomas are negative.It stains tumors of smooth muscle (leiomyomas and leiomyosarcomas) as well as skeletal muscle (rhabdomyomas and rhabdomyosarcomas).

    Purification

    Purified by Protein A/G

    Immunogène

    Synthetic peptide common among human muscle actins

    Isotype

    IgG1 kappa
  • Indications d'application

    Positive Control: Muscle or sarcoma.

    Known Application: Western Blot (0.5-1.0 μg/mL), Immunohistochemistry (Formalin-fixed) (0.5-1 μg/mL for 30 minutes at RT)(Staining of formalin-fixed tissues requires boiling tissue sections in 10 mM citrate buffer, pH 6.0, for 10-20 min followed by cooling at RT for 20 minutes)Optimal dilution for a specific application should be determined.

    Restrictions

    For Research Use only
  • Concentration

    200 μg/mL

    Buffer

    10 mM PBS with 0.05 % BSA & 0.05 % azide.

    Agent conservateur

    Sodium azide

    Précaution d'utilisation

    This product contains Sodium azide: a POISONOUS AND HAZARDOUS SUBSTANCE which should be handled by trained staff only.

    Stock

    4 °C,-80 °C

    Stockage commentaire

    Antibody with azide - store at 2 to 8°C. Antibody without azide - store at -20 to -80°C. Antibody is stable for 24 months. Non-hazardous. No MSDS required.

    Date de péremption

    24 months
  • Antigène

    ACTA1/ACTA2A/ACTG2 (ACTA1 (Skeletal), ACTA2 (Smooth), ACTG2 (Smooth))

    ID gène

    58, 59, 70

    UniProt

    P62736, P68032, P68133
Vous êtes ici:
Chat with us!