Tel:
+49 (0)241 95 163 153
Fax:
+49 (0)241 95 163 155
E-Mail:
orders@anticorps-enligne.fr

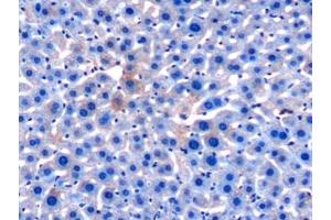
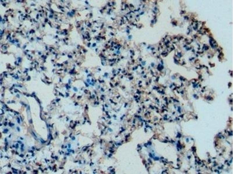
APOC1 anticorps (AA 32-88)

Cet anticorps Souris Monoclonal détecte spécifiquement APOC1 dans WB, IHC, IP et ICC. Il présente une réactivité avec des échantillons de Souris.
N° du produit ABIN7428671
321,11 €
Plus frais de livraison 40,00 € et TVA
Destination: France
Envoi sous 11 à 15 jours ouvrables

Aperçu rapide pour APOC1 anticorps (AA 32-88) (ABIN7428671)

Antigène

Voir toutes APOC1 Anticorps
APOC1 (Apolipoprotein C-I (APOC1))

Reactivité

  • 60
  • 4
  • 4
  • 4
  • 3
  • 1
Souris

Hôte

  • 54
  • 10
  • 9
  • 2
Souris

Clonalité

  • 53
  • 22
Monoclonal

Conjugué

  • 42
  • 7
  • 4
  • 3
  • 3
  • 2
  • 2
  • 2
  • 2
  • 2
  • 2
  • 1
  • 1
  • 1
  • 1
Cet anticorp APOC1 est non-conjugé

Application

  • 53
  • 46
  • 34
  • 31
  • 18
  • 16
  • 14
  • 5
  • 2
  • 2
  • 2
  • 1
Western Blotting (WB), Immunohistochemistry (IHC), Immunoprecipitation (IP), Immunocytochemistry (ICC)

Clone

C3
  • Épitope

    • 7
    • 4
    • 4
    • 4
    • 3
    • 2
    • 2
    • 1
    • 1
    AA 32-88

    Fonction

    Monoclonal Antibody to Apolipoprotein C1 (APOC1)

    Specificité

    The antibody is a mouse monoclonal antibody raised against APOC1. It has been selected for its ability to recognize APOC1 in immunohistochemical staining and western blotting.

    Purification

    Protein A + Protein G affinity chromatography

    Immunogène

    Recombinant Apolipoprotein C1 (APOC1) corresdonding to Gly32~Ser88 with N-terminal His and GST Tag

    Isotype

    IgG
  • Indications d'application

    Western blotting: 0.01-2 μg/mL,Immunohistochemistry: 5-20 μg/mL,Immunocytochemistry: 5-20 μg/mL,Optimal working dilutions must be determined by end user.

    Commentaires

    The thermal stability is described by the loss rate. The loss rate was determined by accelerated thermal degradation test, that is, incubate the protein at 37°C for 48h, and no obvious degradation and precipitation were observed. The loss rate is less than 5% within the expiration date under appropriate storage condition.

    Restrictions

    For Research Use only
  • Format

    Liquid

    Concentration

    1 mg/mL

    Buffer

    0.01M PBS, pH 7.4, containing 0.05 % Proclin-300, 50 % glycerol.

    Agent conservateur

    ProClin

    Précaution d'utilisation

    This product contains ProClin: a POISONOUS AND HAZARDOUS SUBSTANCE which should be handled by trained staff only.

    Stock

    4 °C,-20 °C

    Stockage commentaire

    Store at 4°C for frequent use. Stored at -20°C in a manual defrost freezer for two year without detectable loss of activity. Avoid repeated freeze-thaw cycles.

    Date de péremption

    24 months
  • Antigène

    APOC1 (Apolipoprotein C-I (APOC1))

    Autre désignation

    APOC1

    Sujet

    Apo-C1, Truncated apolipoprotein C-I

    UniProt

    P34928

    Pathways

    Apoptose
Vous êtes ici:
Chat with us!