Tel:
+49 (0)241 95 163 153
Fax:
+49 (0)241 95 163 155
E-Mail:
orders@anticorps-enligne.fr

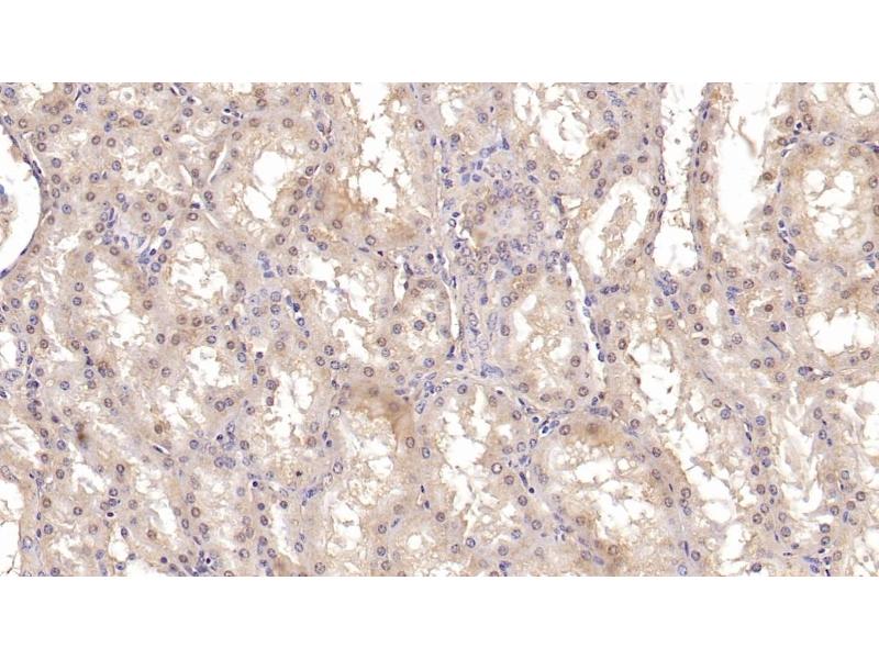
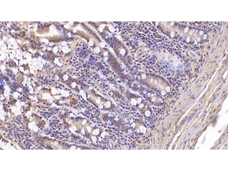
Aspartate beta Hydroxylase anticorps (AA 345-758)

L’anticorps anti-Aspartate beta Hydroxylase Monoclonal Souris est utilisé pour la détection de Aspartate beta Hydroxylase dans des échantillons de Humain. Il a été validé pour WB et IHC.
N° du produit ABIN7427174
323,97 €
Plus frais de livraison 40,00 € et TVA
Destination: France
Envoi sous 11 à 15 jours ouvrables

Aperçu rapide pour Aspartate beta Hydroxylase anticorps (AA 345-758) (ABIN7427174)

Antigène

Voir toutes Aspartate beta Hydroxylase (ASPH) Anticorps
Aspartate beta Hydroxylase (ASPH) (Aspartate beta-Hydroxylase (ASPH))

Reactivité

  • 62
  • 11
  • 9
  • 5
  • 4
  • 4
  • 3
  • 3
  • 2
  • 1
  • 1
  • 1
Humain

Hôte

  • 53
  • 9
Souris

Clonalité

  • 56
  • 6
Monoclonal

Conjugué

  • 36
  • 5
  • 4
  • 4
  • 1
  • 1
  • 1
  • 1
  • 1
  • 1
  • 1
  • 1
  • 1
  • 1
  • 1
  • 1
  • 1
Cet anticorp Aspartate beta Hydroxylase est non-conjugé

Application

  • 44
  • 25
  • 20
  • 13
  • 13
  • 10
  • 9
  • 8
  • 3
  • 1
  • 1
  • 1
  • 1
Western Blotting (WB), Immunohistochemistry (IHC)

Clone

C13
  • Épitope

    • 15
    • 7
    • 6
    • 4
    • 4
    • 4
    • 3
    • 2
    • 2
    • 1
    • 1
    • 1
    • 1
    • 1
    • 1
    • 1
    • 1
    • 1
    • 1
    • 1
    • 1
    AA 345-758

    Fonction

    Monoclonal Antibody to Aspartate Beta Hydroxylase (ASPH)

    Specificité

    The antibody is a mouse monoclonal antibody raised against ASPH. It has been selected for its ability to recognize ASPH in immunohistochemical staining and western blotting.

    Purification

    Protein A + Protein G affinity chromatography

    Immunogène

    Recombinant Aspartate Beta Hydroxylase (ASPH) corresdonding to Leu345~Ile758 with N-terminal His Tag

    Isotype

    IgG2b kappa
  • Indications d'application

    Western blotting: 0.01-2 μg/mL,Immunohistochemistry: 5-40 μg/mL,Immunocytochemistry: 5-20 μg/mL,Optimal working dilutions must be determined by end user.

    Commentaires

    The thermal stability is described by the loss rate. The loss rate was determined by accelerated thermal degradation test, that is, incubate the protein at 37°C for 48h, and no obvious degradation and precipitation were observed. The loss rate is less than 5% within the expiration date under appropriate storage condition.

    Restrictions

    For Research Use only
  • Format

    Liquid

    Concentration

    1 mg/mL

    Buffer

    0.01M PBS, pH 7.4, containing 0.05 % Proclin-300, 50 % glycerol.

    Agent conservateur

    ProClin

    Précaution d'utilisation

    This product contains ProClin: a POISONOUS AND HAZARDOUS SUBSTANCE which should be handled by trained staff only.

    Stock

    4 °C,-20 °C

    Stockage commentaire

    Store at 4°C for frequent use. Stored at -20°C in a manual defrost freezer for two year without detectable loss of activity. Avoid repeated freeze-thaw cycles.

    Date de péremption

    24 months
  • Antigène

    Aspartate beta Hydroxylase (ASPH) (Aspartate beta-Hydroxylase (ASPH))

    Autre désignation

    ASPH

    Sujet

    BAH, CASQ2BP1, HAAH, JCTN, Junctin, Humbug, Junctate, Aspartyl/Asparaginyl Beta-Hydroxylase, Peptide-aspartate beta-dioxygenase

    UniProt

    Q12797

    Pathways

    Positive Regulation of Endopeptidase Activity
Vous êtes ici:
Chat with us!