Tel:
+49 (0)241 95 163 153
Fax:
+49 (0)241 95 163 155
E-Mail:
orders@anticorps-enligne.fr

Aspartate beta Hydroxylase anticorps (AA 345-758)

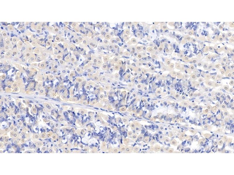
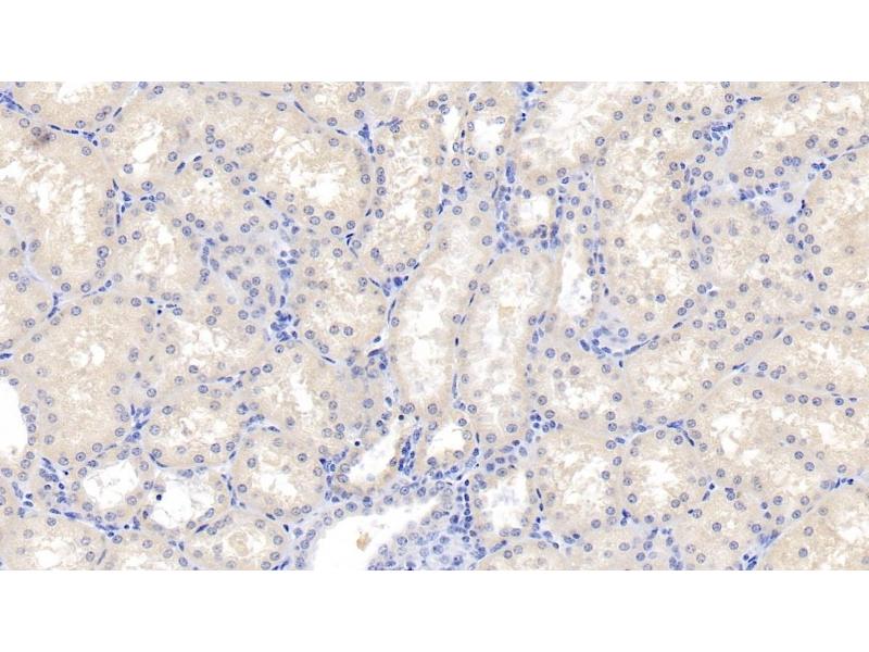
L’anticorps anti-Aspartate beta Hydroxylase Polyclonal Lapin est utilisé pour la détection de Aspartate beta Hydroxylase dans des échantillons de Humain. Il a été validé pour WB, IHC, IP et ICC.
N° du produit ABIN7445741
317,29 €
Plus frais de livraison 40,00 € et TVA
Destination: France
Envoi sous 11 à 15 jours ouvrables

Aperçu rapide pour Aspartate beta Hydroxylase anticorps (AA 345-758) (ABIN7445741)

Antigène

Voir toutes Aspartate beta Hydroxylase (ASPH) Anticorps
Aspartate beta Hydroxylase (ASPH) (Aspartate beta-Hydroxylase (ASPH))

Reactivité

  • 62
  • 11
  • 9
  • 5
  • 4
  • 4
  • 3
  • 3
  • 2
  • 1
  • 1
  • 1
Humain

Hôte

  • 52
  • 10
Lapin

Clonalité

  • 55
  • 7
Polyclonal

Conjugué

  • 36
  • 5
  • 4
  • 4
  • 1
  • 1
  • 1
  • 1
  • 1
  • 1
  • 1
  • 1
  • 1
  • 1
  • 1
  • 1
  • 1
Cet anticorp Aspartate beta Hydroxylase est non-conjugé

Application

  • 44
  • 25
  • 20
  • 13
  • 13
  • 10
  • 8
  • 7
  • 3
  • 1
  • 1
  • 1
  • 1
Western Blotting (WB), Immunohistochemistry (IHC), Immunoprecipitation (IP), Immunocytochemistry (ICC)
  • Épitope

    • 15
    • 7
    • 6
    • 4
    • 4
    • 4
    • 3
    • 2
    • 2
    • 1
    • 1
    • 1
    • 1
    • 1
    • 1
    • 1
    • 1
    • 1
    • 1
    • 1
    • 1
    AA 345-758

    Fonction

    Polyclonal Antibody to Aspartate Beta Hydroxylase (ASPH)

    Specificité

    The antibody is a rabbit polyclonal antibody raised against ASPH. It has been selected for its ability to recognize ASPH in immunohistochemical staining and western blotting.

     Réactivité croisée

    Porc

    Purification

    Antigen-specific affinity chromatography followed by Protein A affinity chromatography

    Immunogène

    Recombinant Aspartate Beta Hydroxylase (ASPH) corresdonding to Leu345~Ile758 with N-terminal His Tag

    Isotype

    IgG
  • Indications d'application

    Western blotting: 0.2-2 μg/mL,1:250-2500 Immunohistochemistry: 5-20 μg/mL,1:25-100 Immunocytochemistry: 5-20 μg/mL,1:25-100 Optimal working dilutions must be determined by end user.

    Commentaires

    The thermal stability is described by the loss rate. The loss rate was determined by accelerated thermal degradation test, that is, incubate the protein at 37°C for 48h, and no obvious degradation and precipitation were observed. The loss rate is less than 5% within the expiration date under appropriate storage condition.

    Restrictions

    For Research Use only
  • Format

    Liquid

    Concentration

    500 μg/mL

    Buffer

    PBS, pH 7.4, containing 0.02 % Sodium azide, 50 % glycerol.

    Agent conservateur

    Sodium azide

    Précaution d'utilisation

    This product contains Sodium azide: a POISONOUS AND HAZARDOUS SUBSTANCE which should be handled by trained staff only.

    Stock

    4 °C,-20 °C

    Stockage commentaire

    Store at 4°C for frequent use. Stored at -20°C in a manual defrost freezer for two year without detectable loss of activity. Avoid repeated freeze-thaw cycles.

    Date de péremption

    24 months
  • Antigène

    Aspartate beta Hydroxylase (ASPH) (Aspartate beta-Hydroxylase (ASPH))

    Autre désignation

    ASPH

    Sujet

    BAH, CASQ2BP1, HAAH, JCTN, Junctin, Humbug, Junctate, Aspartyl/Asparaginyl Beta-Hydroxylase, Peptide-aspartate beta-dioxygenase

    UniProt

    Q12797

    Pathways

    Positive Regulation of Endopeptidase Activity
Vous êtes ici:
Chat with us!