Tel:
+49 (0)241 95 163 153
Fax:
+49 (0)241 95 163 155
E-Mail:
orders@anticorps-enligne.fr

IDH1 anticorps (AA 74-333)

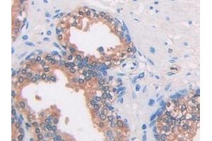
L’anticorps anti-IDH1 Monoclonal Souris est utilisé pour la détection de IDH1 dans des échantillons de Humain. Il a été validé pour WB, IHC, IP et ICC.
N° du produit ABIN7427219
323,97 €
Plus frais de livraison 40,00 € et TVA
Destination: France
Envoi sous 11 à 15 jours ouvrables

Aperçu rapide pour IDH1 anticorps (AA 74-333) (ABIN7427219)

Antigène

Voir toutes IDH1 Anticorps
IDH1 (Isocitrate Dehydrogenase 1 (NADP+), Soluble (IDH1))

Reactivité

  • 134
  • 88
  • 66
  • 8
  • 8
  • 7
  • 5
  • 5
  • 5
  • 4
  • 4
  • 4
  • 3
  • 2
  • 2
  • 1
  • 1
Humain

Hôte

  • 107
  • 43
  • 3
  • 1
Souris

Clonalité

  • 83
  • 71
Monoclonal

Conjugué

  • 78
  • 14
  • 9
  • 4
  • 4
  • 4
  • 4
  • 4
  • 4
  • 4
  • 2
  • 2
  • 2
  • 1
  • 1
  • 1
  • 1
  • 1
  • 1
  • 1
  • 1
  • 1
  • 1
  • 1
  • 1
  • 1
  • 1
  • 1
  • 1
  • 1
  • 1
  • 1
Cet anticorp IDH1 est non-conjugé

Application

  • 113
  • 60
  • 38
  • 34
  • 28
  • 23
  • 18
  • 16
  • 13
  • 9
  • 4
  • 2
  • 1
  • 1
  • 1
  • 1
  • 1
Western Blotting (WB), Immunohistochemistry (IHC), Immunoprecipitation (IP), Immunocytochemistry (ICC)

Clone

C6
  • Épitope

    • 15
    • 12
    • 10
    • 6
    • 4
    • 4
    • 3
    • 3
    • 3
    • 3
    • 2
    • 2
    • 2
    • 2
    • 2
    • 2
    • 1
    • 1
    • 1
    • 1
    • 1
    • 1
    • 1
    • 1
    • 1
    • 1
    • 1
    • 1
    AA 74-333

    Fonction

    Monoclonal Antibody to Isocitrate Dehydrogenase 1, Soluble (IDH1)

    Specificité

    The antibody is a mouse monoclonal antibody raised against IDH1. It has been selected for its ability to recognize IDH1 in immunohistochemical staining and western blotting.

     Réactivité croisée

    Souris, Porc, Rat

    Purification

    Protein A + Protein G affinity chromatography

    Immunogène

    Recombinant Isocitrate Dehydrogenase 1, Soluble (IDH1) corresdonding to Ala74~Ile333 with N-terminal His Tag

    Isotype

    IgG2a kappa
  • Indications d'application

    Western blotting: 0.01-5 μg/mL,Immunohistochemistry: 5-30 μg/mL,Immunocytochemistry: 5-20 μg/mL,Optimal working dilutions must be determined by end user.

    Commentaires

    The thermal stability is described by the loss rate. The loss rate was determined by accelerated thermal degradation test, that is, incubate the protein at 37°C for 48h, and no obvious degradation and precipitation were observed. The loss rate is less than 5% within the expiration date under appropriate storage condition.

    Restrictions

    For Research Use only
  • Format

    Liquid

    Concentration

    1 mg/mL

    Buffer

    0.01M PBS, pH 7.4, containing 0.05 % Proclin-300, 50 % glycerol.

    Agent conservateur

    ProClin

    Précaution d'utilisation

    This product contains ProClin: a POISONOUS AND HAZARDOUS SUBSTANCE which should be handled by trained staff only.

    Stock

    4 °C,-20 °C

    Stockage commentaire

    Store at 4°C for frequent use. Stored at -20°C in a manual defrost freezer for two year without detectable loss of activity. Avoid repeated freeze-thaw cycles.

    Date de péremption

    24 months
  • Antigène

    IDH1 (Isocitrate Dehydrogenase 1 (NADP+), Soluble (IDH1))

    Autre désignation

    IDH1

    Sujet

    PICD, IDP, Oxalosuccinate decarboxylase, NADP(+)-specific ICDH, Cytosolic NADP-isocitrate dehydrogenase

    UniProt

    O75874

    Pathways

    L'effet Warburg
Vous êtes ici:
Chat with us!