Tel:
+49 (0)241 95 163 153
Fax:
+49 (0)241 95 163 155
E-Mail:
orders@anticorps-enligne.fr

C3a anticorps (AA 672-748)

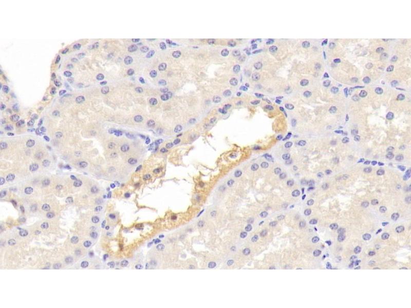
L’anticorps anti-C3a Polyclonal Lapin est utilisé pour la détection de C3a dans des échantillons de Humain. Il a été validé pour WB, IP, IHC et ICC.
N° du produit ABIN7439951
286,77 €
Plus frais de livraison 40,00 € et TVA
Destination: France
Envoi sous 11 à 15 jours ouvrables

Aperçu rapide pour C3a anticorps (AA 672-748) (ABIN7439951)

Antigène

Voir toutes C3a Anticorps
C3a (Complement Fragment 3a (C3a))

Reactivité

  • 24
  • 5
  • 4
  • 1
  • 1
  • 1
Humain

Hôte

  • 19
  • 8
  • 4
  • 2
  • 1
Lapin

Clonalité

  • 22
  • 11
  • 1
Polyclonal

Conjugué

  • 26
  • 6
  • 1
  • 1
Cet anticorp C3a est non-conjugé

Application

  • 25
  • 11
  • 10
  • 9
  • 9
  • 4
  • 2
  • 1
  • 1
Western Blotting (WB), Immunoprecipitation (IP), Immunohistochemistry (IHC), Immunocytochemistry (ICC)
  • Épitope

    • 2
    • 2
    • 2
    • 2
    • 2
    • 1
    • 1
    AA 672-748

    Fonction

    Polyclonal Antibody to Complement Component 3a (C3a)

    Specificité

    The antibody is a rabbit polyclonal antibody raised against C3a. It has been selected for its ability to recognize C3a in immunohistochemical staining and western blotting.

     Réactivité croisée

    Porc

    Purification

    Antigen-specific affinity chromatography followed by Protein A affinity chromatography

    Immunogène

    Recombinant Complement Component 3a (C3a) corresdonding to Ser672~Arg748 with N-terminal His and GST Tag

    Isotype

    IgG
  • Indications d'application

    Western blotting: 0.5-2 μg/mL,Immunohistochemistry: 5-20 μg/mL,Immunocytochemistry: 5-20 μg/mL,Optimal working dilutions must be determined by end user.

    Commentaires

    The thermal stability is described by the loss rate. The loss rate was determined by accelerated thermal degradation test, that is, incubate the protein at 37°C for 48h, and no obvious degradation and precipitation were observed. The loss rate is less than 5% within the expiration date under appropriate storage condition.

    Restrictions

    For Research Use only
  • Format

    Liquid

    Concentration

    1 mg/mL

    Buffer

    0.01M PBS, pH 7.4, containing 0.05 % Proclin-300, 50 % glycerol.

    Agent conservateur

    ProClin

    Précaution d'utilisation

    This product contains ProClin: a POISONOUS AND HAZARDOUS SUBSTANCE which should be handled by trained staff only.

    Stock

    4 °C,-20 °C

    Stockage commentaire

    Store at 4°C for frequent use. Stored at -20°C in a manual defrost freezer for two year without detectable loss of activity. Avoid repeated freeze-thaw cycles.

    Date de péremption

    24 months
  • Antigène

    C3a (Complement Fragment 3a (C3a))

    Autre désignation

    Complement Component 3a

    UniProt

    P01024

    Pathways

    Système du Complément
Vous êtes ici:
Chat with us!