Tel:
+49 (0)241 95 163 153
Fax:
+49 (0)241 95 163 155
E-Mail:
orders@anticorps-enligne.fr

MMP12 anticorps (AA 100-286)

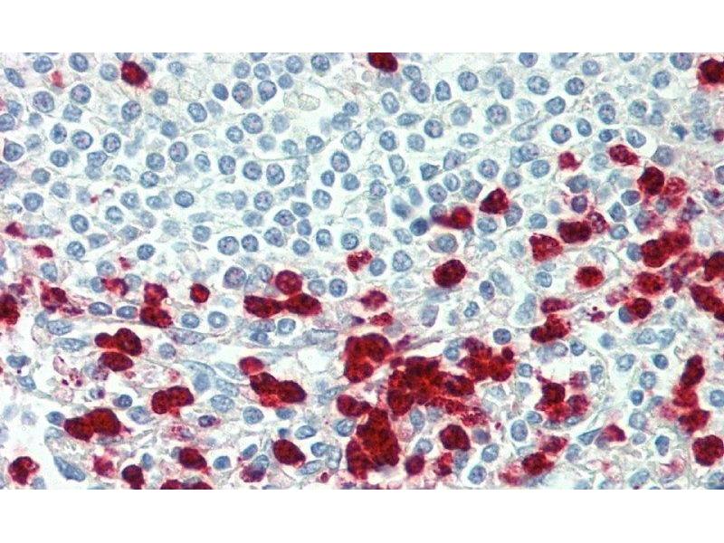
Cet anticorps Lapin Polyclonal détecte spécifiquement MMP12 dans WB, IHC, IP et ICC. Il présente une réactivité avec des échantillons de Rat.
N° du produit ABIN7437821
304,89 €
Plus frais de livraison 40,00 € et TVA
Destination: France
Envoi sous 11 à 15 jours ouvrables

Aperçu rapide pour MMP12 anticorps (AA 100-286) (ABIN7437821)

Antigène

Voir toutes MMP12 Anticorps
MMP12 (Matrix Metallopeptidase 12 (Macrophage Elastase) (MMP12))

Reactivité

  • 76
  • 38
  • 37
  • 6
  • 1
Rat

Hôte

  • 96
  • 3
  • 3
  • 2
  • 1
Lapin

Clonalité

  • 88
  • 17
Polyclonal

Conjugué

  • 47
  • 17
  • 12
  • 3
  • 2
  • 2
  • 2
  • 2
  • 2
  • 2
  • 2
  • 1
  • 1
  • 1
  • 1
  • 1
  • 1
  • 1
  • 1
  • 1
  • 1
  • 1
  • 1
Cet anticorp MMP12 est non-conjugé

Application

  • 86
  • 35
  • 28
  • 15
  • 11
  • 10
  • 8
  • 5
  • 3
  • 1
  • 1
Western Blotting (WB), Immunohistochemistry (IHC), Immunoprecipitation (IP), Immunocytochemistry (ICC)
  • Épitope

    • 8
    • 6
    • 5
    • 4
    • 3
    • 3
    • 3
    • 3
    • 3
    • 3
    • 3
    • 2
    • 2
    • 2
    • 2
    • 1
    • 1
    • 1
    • 1
    • 1
    • 1
    • 1
    • 1
    • 1
    • 1
    • 1
    • 1
    AA 100-286

    Fonction

    Polyclonal Antibody to Matrix Metalloproteinase 12 (MMP12)

    Specificité

    The antibody is a rabbit polyclonal antibody raised against MMP12. It has been selected for its ability to recognize MMP12 in immunohistochemical staining and western blotting.

     Réactivité croisée

    Humain, Souris

    Purification

    Antigen-specific affinity chromatography followed by Protein A affinity chromatography

    Immunogène

    Recombinant Matrix Metalloproteinase 12 (MMP12) corresdonding to Cys100~Pro286 (Accession # Q63341)

    Isotype

    IgG
  • Indications d'application

    Western blotting: 0.5-2 μg/mL,Immunohistochemistry: 5-20 μg/mL,Immunocytochemistry: 5-20 μg/mL,Optimal working dilutions must be determined by end user.

    Commentaires

    The thermal stability is described by the loss rate. The loss rate was determined by accelerated thermal degradation test, that is, incubate the protein at 37°C for 48h, and no obvious degradation and precipitation were observed. The loss rate is less than 5% within the expiration date under appropriate storage condition.

    Restrictions

    For Research Use only
  • Format

    Liquid

    Concentration

    0.5 mg/mL

    Buffer

    PBS, pH 7.4, containing 0.02 % Sodium azide, 50 % glycerol.

    Agent conservateur

    Sodium azide

    Précaution d'utilisation

    This product contains Sodium azide: a POISONOUS AND HAZARDOUS SUBSTANCE which should be handled by trained staff only.

    Stock

    4 °C,-20 °C

    Stockage commentaire

    Store at 4°C for frequent use. Stored at -20°C in a manual defrost freezer for two year without detectable loss of activity. Avoid repeated freeze-thaw cycles.

    Date de péremption

    24 months
  • Antigène

    MMP12 (Matrix Metallopeptidase 12 (Macrophage Elastase) (MMP12))

    Autre désignation

    MMP12

    Sujet

    MME, HME, ME, Macrophage Metalloelastase, Macrophage Elastase

    UniProt

    Q63341
Vous êtes ici:
Chat with us!