Tel:
+49 (0)241 95 163 153
Fax:
+49 (0)241 95 163 155
E-Mail:
orders@anticorps-enligne.fr

MBP anticorps (AA 135-190)

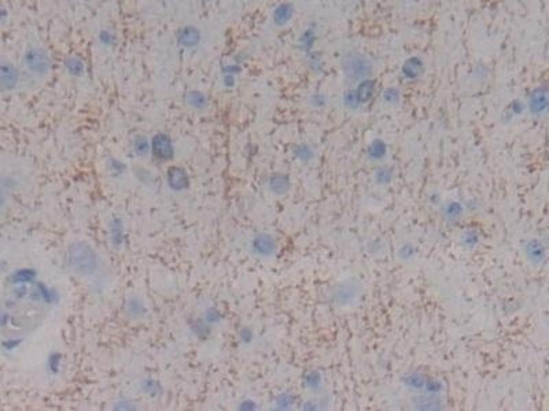
Cet anticorps anti-MBP Polyclonal Lapin (ABIN7442024) détecte spécifiquement MBP dans WB, IHC, ICC et IP. L’anticorps est réactif avec des échantillons de Humain.
N° du produit ABIN7442024
286,77 €
Plus frais de livraison 40,00 € et TVA
Destination: France
Envoi sous 11 à 15 jours ouvrables

Aperçu rapide pour MBP anticorps (AA 135-190) (ABIN7442024)

Antigène

Voir toutes MBP Anticorps
MBP (Myelin Basic Protein (MBP))

Reactivité

  • 145
  • 36
  • 36
  • 19
  • 11
  • 10
  • 8
  • 6
  • 6
  • 5
  • 5
  • 4
  • 3
  • 3
  • 2
  • 1
  • 1
  • 1
Humain

Hôte

  • 106
  • 34
  • 12
  • 6
  • 2
  • 1
Lapin

Clonalité

  • 91
  • 67
  • 1
Polyclonal

Conjugué

  • 96
  • 11
  • 6
  • 4
  • 3
  • 3
  • 3
  • 3
  • 3
  • 3
  • 3
  • 3
  • 2
  • 2
  • 1
  • 1
  • 1
  • 1
  • 1
  • 1
  • 1
  • 1
  • 1
  • 1
  • 1
  • 1
  • 1
  • 1
  • 1
  • 1
Cet anticorp MBP est non-conjugé

Application

  • 107
  • 74
  • 45
  • 35
  • 24
  • 14
  • 11
  • 10
  • 7
  • 7
  • 7
  • 5
  • 5
  • 4
  • 2
  • 1
  • 1
  • 1
Western Blotting (WB), Immunohistochemistry (IHC), Immunocytochemistry (ICC), Immunoprecipitation (IP)
  • Épitope

    • 20
    • 10
    • 6
    • 5
    • 4
    • 3
    • 3
    • 3
    • 3
    • 3
    • 2
    • 2
    • 2
    • 2
    • 2
    • 1
    • 1
    • 1
    • 1
    • 1
    • 1
    • 1
    • 1
    • 1
    • 1
    • 1
    • 1
    • 1
    • 1
    AA 135-190

    Fonction

    Polyclonal Antibody to Myelin Basic Protein (MBP)

    Specificité

    The antibody is a rabbit polyclonal antibody raised against MBP. It has been selected for its ability to recognize MBP in immunohistochemical staining and western blotting.

     Réactivité croisée

    Souris, Porc, Rat

    Purification

    Antigen-specific affinity chromatography followed by Protein A affinity chromatography

    Immunogène

    Recombinant Myelin Basic Protein (MBP) corresdonding to Ala135~Ser190 with N-terminal His and GST Tag

    Isotype

    IgG
  • Indications d'application

    Western blotting: 0.5-2 μg/mL,Immunohistochemistry: 5-20 μg/mL,Immunocytochemistry: 5-20 μg/mL,Optimal working dilutions must be determined by end user.

    Commentaires

    The thermal stability is described by the loss rate. The loss rate was determined by accelerated thermal degradation test, that is, incubate the protein at 37°C for 48h, and no obvious degradation and precipitation were observed. The loss rate is less than 5% within the expiration date under appropriate storage condition.

    Restrictions

    For Research Use only
  • Format

    Liquid

    Concentration

    0.62 mg/mL

    Buffer

    0.01M PBS, pH 7.4, containing 0.05 % Proclin-300, 50 % glycerol.

    Agent conservateur

    ProClin

    Précaution d'utilisation

    This product contains ProClin: a POISONOUS AND HAZARDOUS SUBSTANCE which should be handled by trained staff only.

    Stock

    4 °C,-20 °C

    Stockage commentaire

    Store at 4°C for frequent use. Stored at -20°C in a manual defrost freezer for two year without detectable loss of activity. Avoid repeated freeze-thaw cycles.

    Date de péremption

    24 months
  • Antigène

    MBP (Myelin Basic Protein (MBP))

    Autre désignation

    Myelin Basic Protein

    Sujet

    Myelin A1 protein, Myelin membrane encephalitogenic protein

    UniProt

    P02686
Vous êtes ici:
Chat with us!