Tel:
+49 (0)241 95 163 153
Fax:
+49 (0)241 95 163 155
E-Mail:
orders@anticorps-enligne.fr

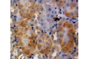
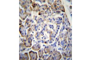
Midkine anticorps (AA 22-143)

L’anticorps anti-Midkine Polyclonal Lapin est utilisé pour la détection de Midkine dans des échantillons de Humain. Il a été validé pour WB, IHC, IP et ICC.
N° du produit ABIN7432268
287,72 €
Plus frais de livraison 40,00 € et TVA
Destination: France
Envoi sous 11 à 15 jours ouvrables

Aperçu rapide pour Midkine anticorps (AA 22-143) (ABIN7432268)

Antigène

Voir toutes Midkine (MDK) Anticorps
Midkine (MDK) (Midkine (Neurite Growth-Promoting Factor 2) (MDK))

Reactivité

  • 90
  • 35
  • 33
  • 2
  • 2
  • 1
  • 1
  • 1
  • 1
  • 1
Humain

Hôte

  • 88
  • 14
Lapin

Clonalité

  • 71
  • 31
Polyclonal

Conjugué

  • 40
  • 19
  • 8
  • 3
  • 3
  • 3
  • 3
  • 3
  • 3
  • 3
  • 1
  • 1
  • 1
  • 1
  • 1
  • 1
  • 1
  • 1
  • 1
  • 1
  • 1
  • 1
  • 1
  • 1
Cet anticorp Midkine est non-conjugé

Application

  • 64
  • 33
  • 24
  • 20
  • 19
  • 18
  • 13
  • 7
  • 5
  • 3
  • 1
  • 1
Western Blotting (WB), Immunohistochemistry (IHC), Immunoprecipitation (IP), Immunocytochemistry (ICC)
  • Épitope

    • 8
    • 8
    • 6
    • 5
    • 4
    • 3
    • 3
    • 2
    • 2
    • 1
    • 1
    AA 22-143

    Fonction

    Polyclonal Antibody to Midkine (MK)

    Specificité

    The antibody is a rabbit polyclonal antibody raised against MK. It has been selected for its ability to recognize MK in immunohistochemical staining and western blotting.

     Réactivité croisée

    Souris, Rat

    Purification

    Antigen-specific affinity chromatography followed by Protein A affinity chromatography

    Immunogène

    Recombinant Midkine (MK) corresdonding to Ala22~Asp143 with N-terminal His Tag

    Isotype

    IgG
  • Indications d'application

    Western blotting: 0.5-2 μg/mL,Immunohistochemistry: 5-20 μg/mL,Immunocytochemistry: 5-20 μg/mL,Optimal working dilutions must be determined by end user.

    Commentaires

    The thermal stability is described by the loss rate. The loss rate was determined by accelerated thermal degradation test, that is, incubate the protein at 37°C for 48h, and no obvious degradation and precipitation were observed. The loss rate is less than 5% within the expiration date under appropriate storage condition.

    Restrictions

    For Research Use only
  • Format

    Liquid

    Concentration

    500 μg/mL

    Buffer

    PBS, pH 7.4, containing 0.02 % Sodium azide, 50 % glycerol.

    Agent conservateur

    Sodium azide

    Précaution d'utilisation

    This product contains Sodium azide: a POISONOUS AND HAZARDOUS SUBSTANCE which should be handled by trained staff only.

    Stock

    4 °C,-20 °C

    Stockage commentaire

    Store at 4°C for frequent use. Stored at -20°C in a manual defrost freezer for two year without detectable loss of activity. Avoid repeated freeze-thaw cycles.

    Date de péremption

    24 months
  • Antigène

    Midkine (MDK) (Midkine (Neurite Growth-Promoting Factor 2) (MDK))

    Autre désignation

    Midkine

    Sujet

    MDK, ARAP, NEGF2, Neurite Growth-Promoting Factor 2, Amphiregulin-associated protein, Midgestation and kidney protein, Neurite outgrowth-promoting factor 2

    UniProt

    P21741

    Pathways

    Signalisation RTK, M Phase, Skeletal Muscle Fiber Development
Vous êtes ici:
Chat with us!