Tel:
+49 (0)241 95 163 153
Fax:
+49 (0)241 95 163 155
E-Mail:
orders@anticorps-enligne.fr

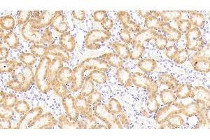
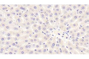
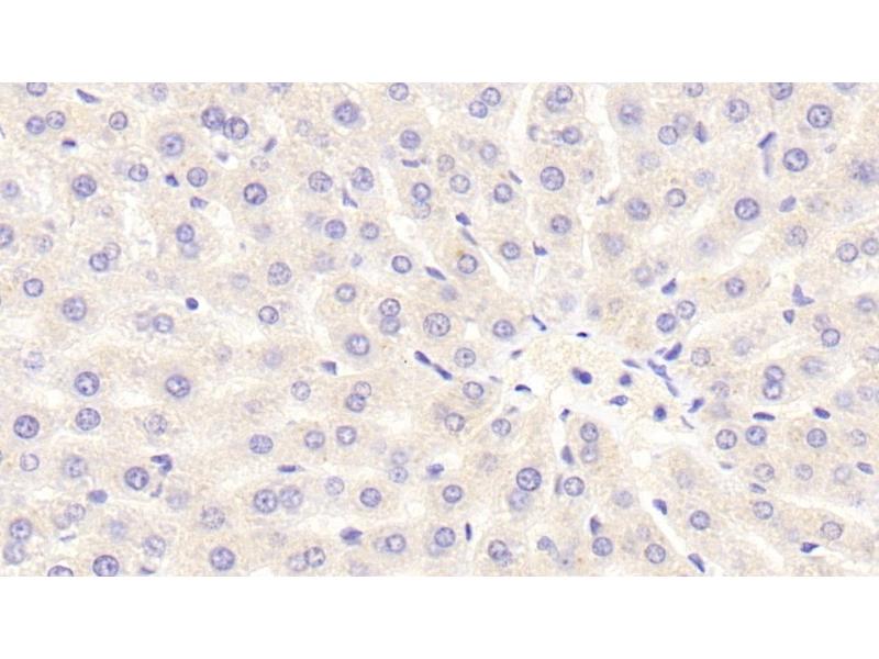
NOX3 anticorps (AA 221-466)

L’anticorps anti-NOX3 Polyclonal Lapin est utilisé pour la détection de NOX3 dans des échantillons de Rat. Il a été validé pour WB, IHC, ICC et IP.
N° du produit ABIN7443122
304,89 €
Plus frais de livraison 40,00 € et TVA
Destination: France
Envoi sous 11 à 15 jours ouvrables

Aperçu rapide pour NOX3 anticorps (AA 221-466) (ABIN7443122)

Antigène

Voir toutes NOX3 Anticorps
NOX3 (NADPH Oxidase 3 (NOX3))

Reactivité

  • 42
  • 18
  • 5
Rat

Hôte

  • 43
Lapin

Clonalité

  • 43
Polyclonal

Conjugué

  • 18
  • 2
  • 2
  • 2
  • 1
  • 1
  • 1
  • 1
  • 1
  • 1
  • 1
  • 1
  • 1
  • 1
  • 1
  • 1
  • 1
  • 1
  • 1
  • 1
  • 1
  • 1
  • 1
Cet anticorp NOX3 est non-conjugé

Application

  • 32
  • 20
  • 13
  • 13
  • 8
  • 6
  • 3
  • 2
Western Blotting (WB), Immunohistochemistry (IHC), Immunocytochemistry (ICC), Immunoprecipitation (IP)
  • Épitope

    • 15
    • 8
    • 3
    • 2
    • 2
    • 2
    • 1
    • 1
    • 1
    • 1
    AA 221-466

    Fonction

    Polyclonal Antibody to Nicotinamide Adenine Dinucleotide Phosphate Oxidase 3 (NOX3)

    Specificité

    The antibody is a rabbit polyclonal antibody raised against NOX3. It has been selected for its ability to recognize NOX3 in immunohistochemical staining and western blotting.

    Purification

    Antigen-specific affinity chromatography followed by Protein A affinity chromatography

    Immunogène

    Recombinant Nicotinamide Adenine Dinucleotide Phosphate Oxidase 3 (NOX3) corresdonding to Gly221~Gln466 with N-terminal His Tag

    Isotype

    IgG
  • Indications d'application

    Western blotting: 0.5-2 μg/mL,1:290-1160,Immunohistochemistry: 5-20 μg/mL,1:29-116,Immunocytochemistry: 5-20 μg/mL,1:29-116,Optimal working dilutions must be determined by end user.

    Commentaires

    The thermal stability is described by the loss rate. The loss rate was determined by accelerated thermal degradation test, that is, incubate the protein at 37°C for 48h, and no obvious degradation and precipitation were observed. The loss rate is less than 5% within the expiration date under appropriate storage condition.

    Restrictions

    For Research Use only
  • Format

    Liquid

    Concentration

    0.5 mg/mL

    Buffer

    PBS, pH 7.4, containing 0.02 % Sodium azide, 50 % glycerol.

    Agent conservateur

    Sodium azide

    Précaution d'utilisation

    This product contains Sodium azide: a POISONOUS AND HAZARDOUS SUBSTANCE which should be handled by trained staff only.

    Stock

    4 °C,-20 °C

    Stockage commentaire

    Store at 4°C for frequent use. Stored at -20°C in a manual defrost freezer for two year without detectable loss of activity. Avoid repeated freeze-thaw cycles.

    Date de péremption

    24 months
  • Antigène

    NOX3 (NADPH Oxidase 3 (NOX3))

    Autre désignation

    NOX3

    Sujet

    GP91-3, MOX-2, NADPH Oxidase 3, Mitogenic oxidase 2, gp91phox homolog 3

    UniProt

    Q672K1
Vous êtes ici:
Chat with us!