Tel:
+49 (0)241 95 163 153
Fax:
+49 (0)241 95 163 155
E-Mail:
orders@anticorps-enligne.fr

Glypican 3 anticorps (AA 344-559)

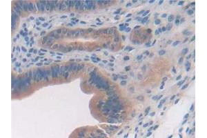
Cet anticorps anti-Glypican 3 Polyclonal Lapin (ABIN7442228) détecte spécifiquement Glypican 3 dans WB, IHC, ICC et IP. L’anticorps est réactif avec des échantillons de Souris.
N° du produit ABIN7442228
293,45 €
Plus frais de livraison 40,00 € et TVA
Destination: France
Envoi sous 11 à 15 jours ouvrables

Aperçu rapide pour Glypican 3 anticorps (AA 344-559) (ABIN7442228)

Antigène

Voir toutes Glypican 3 (GPC3) Anticorps
Glypican 3 (GPC3)

Reactivité

  • 219
  • 65
  • 53
  • 4
  • 2
  • 2
  • 2
  • 2
  • 1
  • 1
  • 1
Souris

Hôte

  • 124
  • 75
  • 17
  • 3
  • 3
  • 1
  • 1
Lapin

Clonalité

  • 133
  • 82
  • 5
Polyclonal

Conjugué

  • 103
  • 17
  • 9
  • 7
  • 7
  • 6
  • 6
  • 6
  • 6
  • 6
  • 6
  • 6
  • 6
  • 2
  • 2
  • 2
  • 2
  • 2
  • 2
  • 2
  • 1
  • 1
  • 1
  • 1
  • 1
  • 1
  • 1
  • 1
  • 1
  • 1
  • 1
  • 1
  • 1
  • 1
  • 1
Cet anticorp Glypican 3 est non-conjugé

Application

  • 111
  • 91
  • 88
  • 76
  • 60
  • 22
  • 18
  • 17
  • 13
  • 5
  • 2
  • 2
  • 1
  • 1
  • 1
Western Blotting (WB), Immunohistochemistry (IHC), Immunocytochemistry (ICC), Immunoprecipitation (IP)
  • Épitope

    • 22
    • 16
    • 12
    • 8
    • 7
    • 7
    • 6
    • 4
    • 4
    • 4
    • 4
    • 2
    • 2
    • 2
    • 2
    • 2
    • 2
    • 2
    • 2
    • 2
    • 2
    • 1
    • 1
    • 1
    • 1
    • 1
    • 1
    • 1
    AA 344-559

    Fonction

    Polyclonal Antibody to Glypican 3 (GPC3)

    Specificité

    The antibody is a rabbit polyclonal antibody raised against GPC3. It has been selected for its ability to recognize GPC3 in immunohistochemical staining and western blotting.

    Purification

    Antigen-specific affinity chromatography followed by Protein A affinity chromatography

    Immunogène

    Recombinant Glypican 3 (GPC3) corresdonding to Ile344~Ser559 (Accession # Q8CFZ4)

    Isotype

    IgG
  • Indications d'application

    Western blotting: 0.01-3 μg/mL,Immunohistochemistry: 5-30 μg/mL,Immunocytochemistry: 5-30 μg/mL,Optimal working dilutions must be determined by end user.

    Commentaires

    The thermal stability is described by the loss rate. The loss rate was determined by accelerated thermal degradation test, that is, incubate the protein at 37°C for 48h, and no obvious degradation and precipitation were observed. The loss rate is less than 5% within the expiration date under appropriate storage condition.

    Restrictions

    For Research Use only
  • Format

    Liquid

    Concentration

    0.5 mg/mL

    Buffer

    0.01M PBS, pH 7.4, containing 0.05 % Proclin-300, 50 % glycerol.

    Agent conservateur

    ProClin

    Précaution d'utilisation

    This product contains ProClin: a POISONOUS AND HAZARDOUS SUBSTANCE which should be handled by trained staff only.

    Stock

    4 °C,-20 °C

    Stockage commentaire

    Store at 4°C for frequent use. Stored at -20°C in a manual defrost freezer for two year without detectable loss of activity. Avoid repeated freeze-thaw cycles.

    Date de péremption

    24 months
  • Antigène

    Glypican 3 (GPC3)

    Autre désignation

    GPC3

    Sujet

    DGSX, OCI5, SDYS, SGB, SGBS1, MXR7, Glypican Proteoglycan 3, GTR2-2, Intestinal protein OCI-5, Secreted glypican-3

    UniProt

    Q8CFZ4

    Pathways

    Glycosaminoglycan Metabolic Process
Vous êtes ici:
Chat with us!