Tel:
+49 (0)241 95 163 153
Fax:
+49 (0)241 95 163 155
E-Mail:
orders@anticorps-enligne.fr

MYLK anticorps (AA 1684-1884)

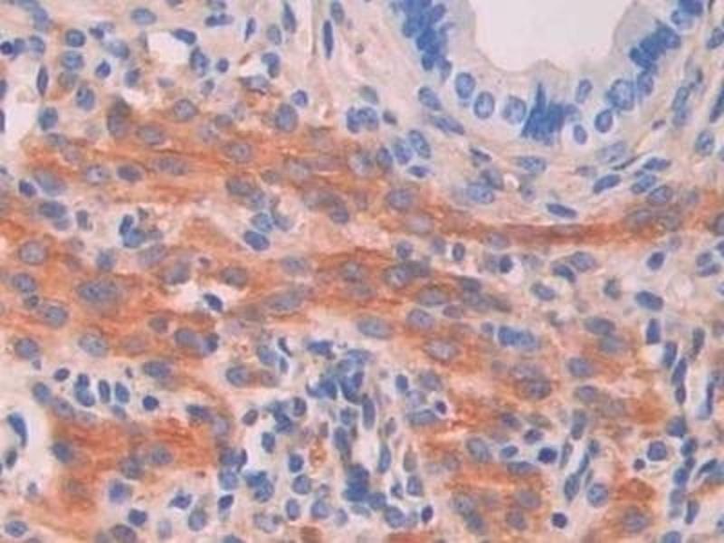
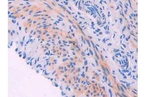
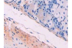
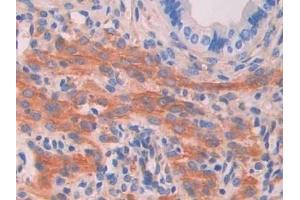
Cet anticorps anti-MYLK Polyclonal Lapin (ABIN7439105) détecte spécifiquement MYLK dans WB, IHC, ICC et IP. L’anticorps est réactif avec des échantillons de Souris.
N° du produit ABIN7439105
304,89 €
Plus frais de livraison 40,00 € et TVA
Destination: France
Envoi sous 11 à 15 jours ouvrables

Aperçu rapide pour MYLK anticorps (AA 1684-1884) (ABIN7439105)

Antigène

Voir toutes MYLK Anticorps
MYLK (Myosin Light Chain Kinase (MYLK))

Reactivité

  • 75
  • 52
  • 46
  • 2
  • 2
  • 1
  • 1
Souris

Hôte

  • 81
  • 5
  • 3
  • 1
Lapin

Clonalité

  • 66
  • 24
Polyclonal

Conjugué

  • 42
  • 7
  • 5
  • 3
  • 3
  • 3
  • 3
  • 3
  • 3
  • 3
  • 1
  • 1
  • 1
  • 1
  • 1
  • 1
  • 1
  • 1
  • 1
  • 1
  • 1
  • 1
  • 1
  • 1
  • 1
Cet anticorp MYLK est non-conjugé

Application

  • 51
  • 36
  • 35
  • 14
  • 14
  • 13
  • 13
  • 12
  • 7
  • 5
  • 3
  • 2
  • 1
  • 1
Western Blotting (WB), Immunohistochemistry (IHC), Immunocytochemistry (ICC), Immunoprecipitation (IP)
  • Épitope

    • 15
    • 8
    • 5
    • 4
    • 3
    • 2
    • 2
    • 2
    • 2
    • 1
    • 1
    • 1
    • 1
    • 1
    • 1
    • 1
    • 1
    • 1
    • 1
    • 1
    • 1
    • 1
    • 1
    • 1
    AA 1684-1884

    Fonction

    Polyclonal Antibody to Myosin Light Chain Kinase (MYLK)

    Specificité

    The antibody is a rabbit polyclonal antibody raised against MYLK. It has been selected for its ability to recognize MYLK in immunohistochemical staining and western blotting.

    Purification

    Antigen-specific affinity chromatography followed by Protein A affinity chromatography

    Immunogène

    Recombinant Myosin Light Chain Kinase (MYLK) corresdonding to Met1684~Asp1884 (Accession # Q6PDN3) with N-terminal His and GST Tag

    Isotype

    IgG
  • Indications d'application

    Western blotting: 0.5-2 μg/mL,Immunohistochemistry: 5-20 μg/mL,Immunocytochemistry: 5-20 μg/mL,Optimal working dilutions must be determined by end user.

    Commentaires

    The thermal stability is described by the loss rate. The loss rate was determined by accelerated thermal degradation test, that is, incubate the protein at 37°C for 48h, and no obvious degradation and precipitation were observed. The loss rate is less than 5% within the expiration date under appropriate storage condition.

    Restrictions

    For Research Use only
  • Format

    Liquid

    Concentration

    0.4 mg/mL

    Buffer

    0.01M PBS, pH 7.4, containing 0.05 % Proclin-300, 50 % glycerol.

    Agent conservateur

    ProClin

    Précaution d'utilisation

    This product contains ProClin: a POISONOUS AND HAZARDOUS SUBSTANCE which should be handled by trained staff only.

    Stock

    4 °C,-20 °C

    Stockage commentaire

    Store at 4°C for frequent use. Stored at -20°C in a manual defrost freezer for two year without detectable loss of activity. Avoid repeated freeze-thaw cycles.

    Date de péremption

    24 months
  • Antigène

    MYLK (Myosin Light Chain Kinase (MYLK))

    Autre désignation

    MYLK

    Sujet

    KRP, MLCK108, MLCK210, MSTP083, MLCK, s mMLCK, MYLK1, MLCK1, Telokin, Myosin Light Chain Kinase, Smooth Muscle, deglutamylated form, Kinase-related protein

    UniProt

    Q6PDN3
Vous êtes ici:
Chat with us!