Tel:
+49 (0)241 95 163 153
Fax:
+49 (0)241 95 163 155
E-Mail:
orders@anticorps-enligne.fr

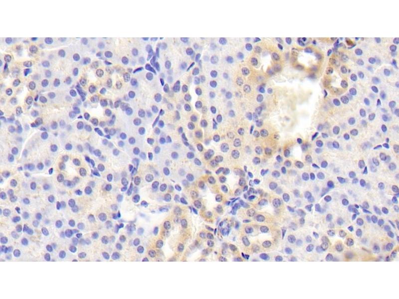
BACE2 anticorps (AA 242-502)

L’anticorps anti-BACE2 Polyclonal Lapin est utilisé pour la détection de BACE2 dans des échantillons de Rat. Il a été validé pour WB et IHC.
N° du produit ABIN7438730
318,25 €
Plus frais de livraison 40,00 € et TVA
Destination: France
Envoi sous 11 à 15 jours ouvrables

Aperçu rapide pour BACE2 anticorps (AA 242-502) (ABIN7438730)

Antigène

Voir toutes BACE2 Anticorps
BACE2 (beta-Site APP-Cleaving Enzyme 2 (BACE2))

Reactivité

  • 52
  • 35
  • 14
  • 4
  • 3
  • 2
  • 2
  • 2
  • 2
  • 1
  • 1
  • 1
  • 1
Rat

Hôte

  • 65
  • 5
  • 3
  • 1
Lapin

Clonalité

  • 67
  • 7
Polyclonal

Conjugué

  • 38
  • 10
  • 7
  • 4
  • 2
  • 2
  • 1
  • 1
  • 1
  • 1
  • 1
  • 1
  • 1
  • 1
  • 1
  • 1
  • 1
Cet anticorp BACE2 est non-conjugé

Application

  • 50
  • 30
  • 22
  • 13
  • 13
  • 13
  • 8
  • 7
  • 5
  • 3
  • 3
  • 3
  • 3
Western Blotting (WB), Immunohistochemistry (IHC)
  • Épitope

    • 15
    • 8
    • 7
    • 6
    • 6
    • 3
    • 3
    • 2
    • 2
    • 2
    • 2
    • 1
    • 1
    • 1
    • 1
    • 1
    • 1
    • 1
    • 1
    • 1
    AA 242-502

    Fonction

    Polyclonal Antibody to Beta Secretase 2 (BACE2)

    Specificité

    The antibody is a rabbit polyclonal antibody raised against BACE2. It has been selected for its ability to recognize BACE2 in immunohistochemical staining and western blotting.

     Réactivité croisée

    Humain, Souris

    Purification

    Antigen-specific affinity chromatography followed by Protein A affinity chromatography

    Immunogène

    Recombinant Beta Secretase 2 (BACE2) corresdonding to Gly242~Val502 (Accession # Q6IE75) with N-terminal His and GST Tag

    Isotype

    IgG
  • Indications d'application

    Western blotting: 0.01-2 μg/mL,Immunohistochemistry: 5-20 μg/mL,Optimal working dilutions must be determined by end user.

    Commentaires

    The thermal stability is described by the loss rate. The loss rate was determined by accelerated thermal degradation test, that is, incubate the protein at 37°C for 48h, and no obvious degradation and precipitation were observed. The loss rate is less than 5% within the expiration date under appropriate storage condition.

    Restrictions

    For Research Use only
  • Format

    Liquid

    Concentration

    0.5 mg/mL

    Buffer

    0.01M PBS, pH 7.4, containing 0.05 % Proclin-300, 50 % glycerol.

    Agent conservateur

    ProClin

    Précaution d'utilisation

    This product contains ProClin: a POISONOUS AND HAZARDOUS SUBSTANCE which should be handled by trained staff only.

    Stock

    4 °C,-20 °C

    Stockage commentaire

    Store at 4°C for frequent use. Stored at -20°C in a manual defrost freezer for two year without detectable loss of activity. Avoid repeated freeze-thaw cycles.

    Date de péremption

    24 months
  • Antigène

    BACE2 (beta-Site APP-Cleaving Enzyme 2 (BACE2))

    Autre désignation

    BACE2

    Sujet

    AEPLC, ALP56, ASP1, ASP21, BAE2, CDA13, CEAP1, DRAP, Beta-Site APP Cleaving Enzyme 2, Aspartic-like protease 56 kDa, Aspartyl protease 1, Down region aspartic protease, Memapsin-1

    UniProt

    Q6IE75
Vous êtes ici:
Chat with us!