Tel:
+49 (0)241 95 163 153
Fax:
+49 (0)241 95 163 155
E-Mail:
orders@anticorps-enligne.fr

C9 anticorps (AA 136-512)

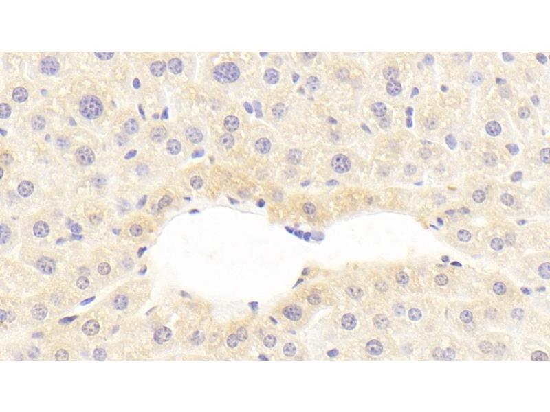
Cet anticorps anti-C9 Polyclonal Lapin (ABIN7443215) détecte spécifiquement C9 dans WB, IHC, IP et ICC. L’anticorps est réactif avec des échantillons de Souris.
N° du produit ABIN7443215
304,89 €
Plus frais de livraison 40,00 € et TVA
Destination: France
Envoi sous 11 à 15 jours ouvrables

Aperçu rapide pour C9 anticorps (AA 136-512) (ABIN7443215)

Antigène

Voir toutes C9 Anticorps
C9 (Complement Component C9 (C9))

Reactivité

  • 76
  • 3
  • 2
  • 2
  • 2
  • 2
Souris

Hôte

  • 65
  • 11
  • 2
  • 1
Lapin

Clonalité

  • 58
  • 21
Polyclonal

Conjugué

  • 34
  • 8
  • 6
  • 4
  • 3
  • 3
  • 1
  • 1
  • 1
  • 1
  • 1
  • 1
  • 1
  • 1
  • 1
  • 1
  • 1
  • 1
  • 1
  • 1
  • 1
  • 1
  • 1
  • 1
  • 1
  • 1
  • 1
Cet anticorp C9 est non-conjugé

Application

  • 59
  • 34
  • 30
  • 21
  • 14
  • 10
  • 10
  • 10
  • 7
  • 7
  • 6
  • 2
  • 2
  • 1
  • 1
Western Blotting (WB), Immunohistochemistry (IHC), Immunoprecipitation (IP), Immunocytochemistry (ICC)
  • Épitope

    • 16
    • 9
    • 8
    • 6
    • 2
    • 2
    • 2
    • 1
    • 1
    • 1
    • 1
    • 1
    • 1
    • 1
    AA 136-512

    Fonction

    Polyclonal Antibody to Complement Component 9 (C9)

    Specificité

    The antibody is a rabbit polyclonal antibody raised against C9. It has been selected for its ability to recognize C9 in immunohistochemical staining and western blotting.

    Purification

    Antigen-specific affinity chromatography followed by Protein A affinity chromatography

    Immunogène

    Recombinant Complement Component 9 (C9) corresdonding to Pro136~Arg512 with N-terminal His Tag

    Isotype

    IgG
  • Indications d'application

    Western blotting: 0.01-2 μg/mL,Immunohistochemistry: 5-20 μg/mL,Immunocytochemistry: 5-20 μg/mL,Optimal working dilutions must be determined by end user.

    Commentaires

    The thermal stability is described by the loss rate. The loss rate was determined by accelerated thermal degradation test, that is, incubate the protein at 37°C for 48h, and no obvious degradation and precipitation were observed. The loss rate is less than 5% within the expiration date under appropriate storage condition.

    Restrictions

    For Research Use only
  • Format

    Liquid

    Concentration

    0.5 mg/mL

    Buffer

    0.01M PBS, pH 7.4, containing 0.05 % Proclin-300, 50 % glycerol.

    Agent conservateur

    ProClin

    Précaution d'utilisation

    This product contains ProClin: a POISONOUS AND HAZARDOUS SUBSTANCE which should be handled by trained staff only.

    Stock

    4 °C,-20 °C

    Stockage commentaire

    Store at 4°C for frequent use. Stored at -20°C in a manual defrost freezer for two year without detectable loss of activity. Avoid repeated freeze-thaw cycles.

    Date de péremption

    24 months
  • Antigène

    C9 (Complement Component C9 (C9))

    Autre désignation

    Complement Component 9

    UniProt

    P06683

    Pathways

    Système du Complément
Vous êtes ici:
Chat with us!