Tel:
+49 (0)241 95 163 153
Fax:
+49 (0)241 95 163 155
E-Mail:
orders@anticorps-enligne.fr

CAMLG anticorps (AA 1-187)

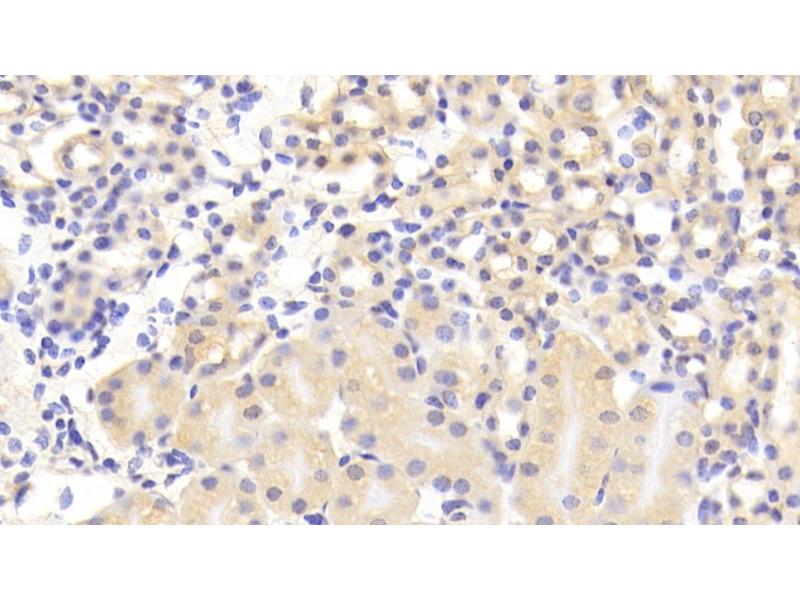
L’anticorps anti-CAMLG Polyclonal Lapin est utilisé pour la détection de CAMLG dans des échantillons de Souris. Il a été validé pour WB, IHC, IP et ICC.
N° du produit ABIN7444322
317,29 €
Plus frais de livraison 40,00 € et TVA
Destination: France
Envoi sous 11 à 15 jours ouvrables

Aperçu rapide pour CAMLG anticorps (AA 1-187) (ABIN7444322)

Antigène

Voir toutes CAMLG Anticorps
CAMLG (Calcium Modulating Ligand (CAMLG))

Reactivité

  • 34
  • 10
  • 9
  • 3
  • 3
  • 3
  • 2
  • 2
  • 2
  • 1
  • 1
Souris

Hôte

  • 28
  • 8
  • 1
Lapin

Clonalité

  • 32
  • 5
Polyclonal

Conjugué

  • 28
  • 3
  • 2
  • 2
  • 1
  • 1
Cet anticorp CAMLG est non-conjugé

Application

  • 33
  • 15
  • 13
  • 8
  • 8
  • 4
  • 2
  • 1
Western Blotting (WB), Immunohistochemistry (IHC), Immunoprecipitation (IP), Immunocytochemistry (ICC)
  • Épitope

    • 7
    • 5
    • 4
    • 2
    • 2
    • 1
    • 1
    • 1
    • 1
    • 1
    • 1
    • 1
    • 1
    • 1
    • 1
    AA 1-187

    Fonction

    Polyclonal Antibody to Calcium Modulating Ligand (CAMLG)

    Specificité

    The antibody is a rabbit polyclonal antibody raised against CAMLG. It has been selected for its ability to recognize CAMLG in immunohistochemical staining and western blotting.

     Réactivité croisée

    Humain, Rat

    Purification

    Antigen-specific affinity chromatography followed by Protein A affinity chromatography

    Immunogène

    Recombinant Calcium Modulating Ligand (CAMLG) corresdonding to Met1~Arg187 with N-terminal His Tag

    Isotype

    IgG
  • Indications d'application

    Western blotting: 0.5-2 μg/mL,1:500-2000,Immunohistochemistry: 5-20 μg/mL,1:50-200,Immunocytochemistry: 5-20 μg/mL,1:50-200,Optimal working dilutions must be determined by end user.

    Commentaires

    The thermal stability is described by the loss rate. The loss rate was determined by accelerated thermal degradation test, that is, incubate the protein at 37°C for 48h, and no obvious degradation and precipitation were observed. The loss rate is less than 5% within the expiration date under appropriate storage condition.

    Restrictions

    For Research Use only
  • Format

    Liquid

    Concentration

    500 μg/mL

    Buffer

    0.01M PBS, pH 7.4, containing 0.05 % Proclin-300, 50 % glycerol.

    Agent conservateur

    ProClin

    Précaution d'utilisation

    This product contains ProClin: a POISONOUS AND HAZARDOUS SUBSTANCE which should be handled by trained staff only.

    Stock

    4 °C,-20 °C

    Stockage commentaire

    Store at 4°C for frequent use. Stored at -20°C in a manual defrost freezer for two year without detectable loss of activity. Avoid repeated freeze-thaw cycles.

    Date de péremption

    24 months
  • Antigène

    CAMLG (Calcium Modulating Ligand (CAMLG))

    Autre désignation

    CAMLG

    Sujet

    CAML, Calcium Signal-Modulating Cyclophilin Ligand, Calcium-Signal Modulating Cyclophilin Ligand, Cyclophilin B-Binding Protein

    UniProt

    P49070

    Pathways

    EGFR Signaling Pathway
Vous êtes ici:
Chat with us!