Tel:
+49 (0)241 95 163 153
Fax:
+49 (0)241 95 163 155
E-Mail:
orders@anticorps-enligne.fr

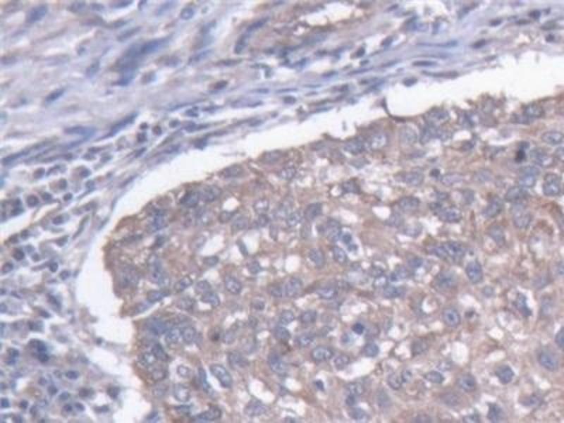
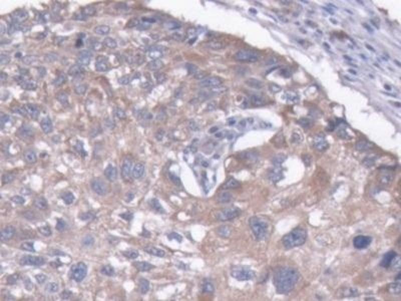
MAP1B anticorps (AA 2207-2468)

L’anticorps anti-MAP1B Polyclonal Lapin est utilisé pour la détection de MAP1B dans des échantillons de Humain. Il a été validé pour IHC, WB, IP et ICC.
N° du produit ABIN7444904
310,62 €
Plus frais de livraison 40,00 € et TVA
Destination: France
Envoi sous 11 à 15 jours ouvrables

Aperçu rapide pour MAP1B anticorps (AA 2207-2468) (ABIN7444904)

Antigène

Voir toutes MAP1B Anticorps
MAP1B (Microtubule-Associated Protein 1B (MAP1B))

Reactivité

  • 35
  • 26
  • 26
  • 3
  • 2
  • 2
  • 1
  • 1
  • 1
Humain

Hôte

  • 34
  • 2
  • 1
Lapin

Clonalité

  • 35
  • 2
Polyclonal

Conjugué

  • 16
  • 1
  • 1
  • 1
  • 1
  • 1
  • 1
  • 1
  • 1
  • 1
  • 1
  • 1
  • 1
  • 1
  • 1
  • 1
  • 1
  • 1
  • 1
  • 1
  • 1
  • 1
Cet anticorp MAP1B est non-conjugé

Application

  • 15
  • 13
  • 13
  • 8
  • 6
  • 5
  • 5
  • 4
  • 4
  • 4
  • 2
Immunohistochemistry (IHC), Western Blotting (WB), Immunoprecipitation (IP), Immunocytochemistry (ICC)
  • Épitope

    • 16
    • 2
    • 2
    • 2
    • 2
    • 1
    • 1
    • 1
    • 1
    • 1
    • 1
    AA 2207-2468

    Fonction

    Polyclonal Antibody to Microtubule Associated Protein 1B (MAP1B)

    Specificité

    The antibody is a rabbit polyclonal antibody raised against MAP1B. It has been selected for its ability to recognize MAP1B in immunohistochemical staining and western blotting.

     Réactivité croisée

    Souris, Rat

    Purification

    Antigen-specific affinity chromatography followed by Protein A affinity chromatography

    Immunogène

    Recombinant Microtubule Associated Protein 1B (MAP1B) corresdonding to Asp2207~Leu2468 with N-terminal His Tag

    Isotype

    IgG
  • Indications d'application

    Western blotting: 0.5-2 μg/mL,1:120-480,Immunohistochemistry: 5-20 μg/mL,1:12-48,Immunocytochemistry: 5-20 μg/mL,1:12-48,Optimal working dilutions must be determined by end user.

    Commentaires

    The thermal stability is described by the loss rate. The loss rate was determined by accelerated thermal degradation test, that is, incubate the protein at 37°C for 48h, and no obvious degradation and precipitation were observed. The loss rate is less than 5% within the expiration date under appropriate storage condition.

    Restrictions

    For Research Use only
  • Format

    Liquid

    Concentration

    0.24 mg/mL

    Buffer

    0.01M PBS, pH 7.4, containing 0.05 % Proclin-300, 50 % glycerol.

    Agent conservateur

    ProClin

    Précaution d'utilisation

    This product contains ProClin: a POISONOUS AND HAZARDOUS SUBSTANCE which should be handled by trained staff only.

    Stock

    4 °C,-20 °C

    Stockage commentaire

    Store at 4°C for frequent use. Stored at -20°C in a manual defrost freezer for two year without detectable loss of activity. Avoid repeated freeze-thaw cycles.

    Date de péremption

    24 months
  • Antigène

    MAP1B (Microtubule-Associated Protein 1B (MAP1B))

    Autre désignation

    MAP1B

    Sujet

    FUTSCH, MAP5

    UniProt

    P46821

    Pathways

    Dynamique des Microtubules, Regulation of Cell Size
Vous êtes ici:
Chat with us!