Tel:
+49 (0)241 95 163 153
Fax:
+49 (0)241 95 163 155
E-Mail:
orders@anticorps-enligne.fr

desert Hedgehog anticorps (AA 241-383)

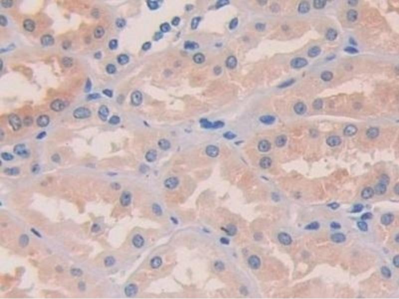
Cet anticorps anti-desert Hedgehog Polyclonal Lapin (ABIN7438166) détecte spécifiquement desert Hedgehog dans WB, IHC, IP et ICC. L’anticorps est réactif avec des échantillons de Humain.
N° du produit ABIN7438166
310,62 €
Plus frais de livraison 40,00 € et TVA
Destination: France
Envoi sous 11 à 15 jours ouvrables

Aperçu rapide pour desert Hedgehog anticorps (AA 241-383) (ABIN7438166)

Antigène

Voir toutes desert Hedgehog (DHH) Anticorps
desert Hedgehog (DHH) (Desert Hedgehog (DHH))

Reactivité

  • 37
  • 14
  • 5
  • 2
  • 2
  • 1
  • 1
  • 1
  • 1
  • 1
  • 1
  • 1
Humain

Hôte

  • 38
  • 4
  • 2
  • 2
Lapin

Clonalité

  • 42
  • 4
Polyclonal

Conjugué

  • 27
  • 6
  • 3
  • 2
  • 1
  • 1
  • 1
  • 1
  • 1
  • 1
  • 1
  • 1
Cet anticorp desert Hedgehog est non-conjugé

Application

  • 34
  • 17
  • 9
  • 3
  • 2
  • 1
  • 1
  • 1
  • 1
  • 1
  • 1
Western Blotting (WB), Immunohistochemistry (IHC), Immunoprecipitation (IP), Immunocytochemistry (ICC)
  • Épitope

    • 7
    • 4
    • 4
    • 4
    • 2
    • 2
    • 2
    • 2
    • 2
    • 2
    • 2
    • 1
    • 1
    • 1
    • 1
    • 1
    • 1
    • 1
    AA 241-383

    Fonction

    Polyclonal Antibody to Hedgehog Homolog, Desert (DHH)

    Specificité

    The antibody is a rabbit polyclonal antibody raised against DHH. It has been selected for its ability to recognize DHH in immunohistochemical staining and western blotting.

    Purification

    Antigen-specific affinity chromatography followed by Protein A affinity chromatography

    Immunogène

    Recombinant Hedgehog Homolog, Desert (DHH) corresdonding to Leu241~Tyr383 (Accession # O43323)

    Isotype

    IgG
  • Indications d'application

    Western blotting: 0.5-2 μg/mL,Immunocytochemistry in formalin fixed cells: 5-20 μg/mL,Immunohistochemistry in formalin fixed frozen section: 5-20 μg/mL,Immunohistochemistry in paraffin section: 5-20 μg/mL,Enzyme-linked Immunosorbent Assay: 0.05-2 μg/mL,Optimal working dilutions must be determined by end user.

    Commentaires

    The thermal stability is described by the loss rate. The loss rate was determined by accelerated thermal degradation test, that is, incubate the protein at 37°C for 48h, and no obvious degradation and precipitation were observed. The loss rate is less than 5% within the expiration date under appropriate storage condition.

    Restrictions

    For Research Use only
  • Format

    Liquid

    Concentration

    500 μg/mL

    Buffer

    0.01M PBS, pH 7.4, containing 0.05 % Proclin-300, 50 % glycerol.

    Agent conservateur

    ProClin

    Précaution d'utilisation

    This product contains ProClin: a POISONOUS AND HAZARDOUS SUBSTANCE which should be handled by trained staff only.

    Stock

    4 °C,-20 °C

    Stockage commentaire

    Store at 4°C for frequent use. Stored at -20°C in a manual defrost freezer for two year without detectable loss of activity. Avoid repeated freeze-thaw cycles.

    Date de péremption

    24 months
  • Antigène

    desert Hedgehog (DHH) (Desert Hedgehog (DHH))

    Autre désignation

    Hedgehog Homolog, Desert

    Classe de substances

    Species

    Sujet

    HHG3

    UniProt

    O43323

    Pathways

    Signalisation Hedgehog
Vous êtes ici:
Chat with us!