Tel:
+49 (0)241 95 163 153
Fax:
+49 (0)241 95 163 155
E-Mail:
orders@anticorps-enligne.fr

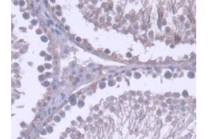
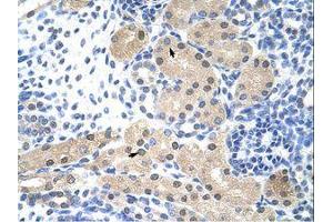
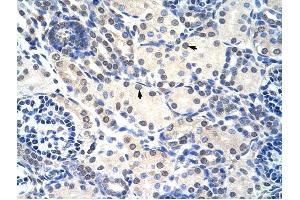
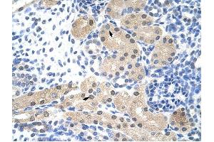
RNASEH2A anticorps (AA 1-301)

L’anticorps anti-RNASEH2A Polyclonal Lapin est utilisé pour la détection de RNASEH2A dans des échantillons de Souris. Il a été validé pour WB, IHC, IP et ICC.
N° du produit ABIN7445717
317,29 €
Plus frais de livraison 40,00 € et TVA
Destination: France
Envoi sous 11 à 15 jours ouvrables

Aperçu rapide pour RNASEH2A anticorps (AA 1-301) (ABIN7445717)

Antigène

Voir toutes RNASEH2A Anticorps
RNASEH2A (Ribonuclease H2, Subunit A (RNASEH2A))

Reactivité

  • 25
  • 6
  • 4
  • 4
  • 2
  • 2
  • 2
  • 1
  • 1
  • 1
  • 1
  • 1
Souris

Hôte

  • 23
  • 4
Lapin

Clonalité

  • 26
  • 1
Polyclonal

Conjugué

  • 24
  • 1
  • 1
  • 1
Cet anticorp RNASEH2A est non-conjugé

Application

  • 22
  • 11
  • 11
  • 6
  • 4
  • 4
  • 1
  • 1
  • 1
  • 1
Western Blotting (WB), Immunohistochemistry (IHC), Immunoprecipitation (IP), Immunocytochemistry (ICC)
  • Épitope

    • 6
    • 4
    • 3
    • 2
    • 1
    • 1
    • 1
    • 1
    • 1
    • 1
    • 1
    AA 1-301

    Fonction

    Polyclonal Antibody to Ribonuclease H2 Subunit A (RNASEH2A)

    Specificité

    The antibody is a rabbit polyclonal antibody raised against RNASEH2A. It has been selected for its ability to recognize RNASEH2A in immunohistochemical staining and western blotting.

     Réactivité croisée

    Humain

    Purification

    Antigen-specific affinity chromatography followed by Protein A affinity chromatography

    Immunogène

    Recombinant Ribonuclease H2 Subunit A (RNASEH2A) corresdonding to Met1~Leu301

    Isotype

    IgG
  • Indications d'application

    Western blotting: 0.5-3 μg/mL,Immunohistochemistry: 5-30 μg/mL,Immunocytochemistry: 5-30 μg/mL,Optimal working dilutions must be determined by end user.

    Commentaires

    The thermal stability is described by the loss rate. The loss rate was determined by accelerated thermal degradation test, that is, incubate the protein at 37°C for 48h, and no obvious degradation and precipitation were observed. The loss rate is less than 5% within the expiration date under appropriate storage condition.

    Restrictions

    For Research Use only
  • Format

    Liquid

    Concentration

    500 μg/mL

    Buffer

    PBS, pH 7.4, containing 0.02 % Sodium azide, 50 % glycerol.

    Agent conservateur

    Sodium azide

    Précaution d'utilisation

    This product contains Sodium azide: a POISONOUS AND HAZARDOUS SUBSTANCE which should be handled by trained staff only.

    Stock

    4 °C,-20 °C

    Stockage commentaire

    Store at 4°C for frequent use. Stored at -20°C in a manual defrost freezer for two year without detectable loss of activity. Avoid repeated freeze-thaw cycles.

    Date de péremption

    24 months
  • Antigène

    RNASEH2A (Ribonuclease H2, Subunit A (RNASEH2A))

    Autre désignation

    RNASEH2A

    Sujet

    Rnase-H2A, RNASEHI, RNHIA, RNHL, AGS4, Ribonuclease H2,Large Subunit, Aicardi-Goutieres Syndrome 4, Ribonuclease HI large subunit

    UniProt

    Q9CWY8
Vous êtes ici:
Chat with us!