Tel:
+49 (0)241 95 163 153
Fax:
+49 (0)241 95 163 155
E-Mail:
orders@anticorps-enligne.fr

KRT6A anticorps (AA 163-468)

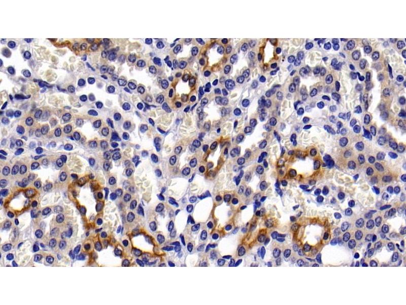
L’anticorps anti-KRT6A Polyclonal Lapin est utilisé pour la détection de KRT6A dans des échantillons de Humain. Il a été validé pour WB, IHC, IP et ICC.
N° du produit ABIN7435445
310,62 €
Plus frais de livraison 40,00 € et TVA
Destination: France
Envoi sous 11 à 15 jours ouvrables

Aperçu rapide pour KRT6A anticorps (AA 163-468) (ABIN7435445)

Antigène

Voir toutes KRT6A Anticorps
KRT6A (Keratin 6A (KRT6A))

Reactivité

  • 88
  • 23
  • 13
  • 4
  • 3
  • 3
  • 3
  • 3
  • 2
  • 2
  • 1
  • 1
  • 1
  • 1
Humain

Hôte

  • 61
  • 39
  • 2
Lapin

Clonalité

  • 58
  • 44
Polyclonal

Conjugué

  • 55
  • 11
  • 7
  • 5
  • 2
  • 2
  • 2
  • 2
  • 2
  • 2
  • 2
  • 2
  • 2
  • 1
  • 1
  • 1
  • 1
  • 1
  • 1
Cet anticorp KRT6A est non-conjugé

Application

  • 57
  • 49
  • 36
  • 20
  • 20
  • 9
  • 5
  • 5
  • 3
  • 3
  • 3
  • 2
  • 1
Western Blotting (WB), Immunohistochemistry (IHC), Immunoprecipitation (IP), Immunocytochemistry (ICC)
  • Épitope

    • 9
    • 7
    • 6
    • 5
    • 4
    • 3
    • 2
    • 2
    • 2
    • 1
    • 1
    • 1
    • 1
    • 1
    • 1
    AA 163-468

    Fonction

    Polyclonal Antibody to Keratin 6A (KRT6A)

    Specificité

    The antibody is a rabbit polyclonal antibody raised against KRT6A. It has been selected for its ability to recognize KRT6A in immunohistochemical staining and western blotting.

     Réactivité croisée

    Souris, Rat

    Purification

    Antigen-specific affinity chromatography followed by Protein A affinity chromatography

    Immunogène

    Recombinant Keratin 6A (KRT6A) corresdonding to Glu163~Leu468 (Accession # P02538)

    Isotype

    IgG
  • Indications d'application

    Western blotting: 0.5-2 μg/mL,Immunohistochemistry: 5-20 μg/mL,Immunocytochemistry: 5-20 μg/mL,Optimal working dilutions must be determined by end user.

    Commentaires

    The thermal stability is described by the loss rate. The loss rate was determined by accelerated thermal degradation test, that is, incubate the protein at 37°C for 48h, and no obvious degradation and precipitation were observed. The loss rate is less than 5% within the expiration date under appropriate storage condition.

    Restrictions

    For Research Use only
  • Format

    Liquid

    Concentration

    500 μg/mL

    Buffer

    0.01M PBS, pH 7.4, containing 0.05 % Proclin-300, 50 % glycerol.

    Agent conservateur

    ProClin

    Précaution d'utilisation

    This product contains ProClin: a POISONOUS AND HAZARDOUS SUBSTANCE which should be handled by trained staff only.

    Stock

    4 °C,-20 °C

    Stockage commentaire

    Store at 4°C for frequent use. Stored at -20°C in a manual defrost freezer for two year without detectable loss of activity. Avoid repeated freeze-thaw cycles.

    Date de péremption

    24 months
  • Antigène

    KRT6A (Keratin 6A (KRT6A))

    Autre désignation

    KRT6A

    Sujet

    K6A, KRT6C, KRT6D, CK6C, K6C, CK6D, K6D, Keratin 6C, Keratin 6D, Keratin, type II cytoskeletal 6A, Type-II keratin Kb6

    UniProt

    P02538
Vous êtes ici:
Chat with us!