Tel:
+49 (0)241 95 163 153
Fax:
+49 (0)241 95 163 155
E-Mail:
orders@anticorps-enligne.fr

SLIT1 anticorps (AA 647-835)

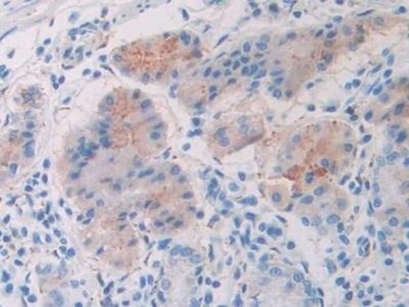
Cet anticorps anti-SLIT1 Polyclonal Lapin (ABIN7438364) détecte spécifiquement SLIT1 dans WB et IHC. L’anticorps est réactif avec des échantillons de Humain.
N° du produit ABIN7438364
310,62 €
Plus frais de livraison 40,00 € et TVA
Destination: France
Envoi sous 11 à 15 jours ouvrables

Aperçu rapide pour SLIT1 anticorps (AA 647-835) (ABIN7438364)

Antigène

Voir toutes SLIT1 Anticorps
SLIT1 (Slit Homolog 1 (SLIT1))

Reactivité

  • 36
  • 23
  • 16
  • 2
  • 2
  • 2
  • 2
  • 2
  • 2
  • 1
  • 1
  • 1
Humain

Hôte

  • 66
Lapin

Clonalité

  • 66
Polyclonal

Conjugué

  • 23
  • 16
  • 6
  • 2
  • 1
  • 1
  • 1
  • 1
  • 1
  • 1
  • 1
  • 1
  • 1
  • 1
  • 1
  • 1
  • 1
  • 1
  • 1
  • 1
  • 1
  • 1
  • 1
Cet anticorp SLIT1 est non-conjugé

Application

  • 60
  • 27
  • 16
  • 14
  • 13
  • 9
  • 6
  • 6
  • 3
  • 3
  • 2
  • 1
Western Blotting (WB), Immunohistochemistry (IHC)
  • Épitope

    • 15
    • 8
    • 3
    • 3
    • 3
    • 3
    • 3
    • 2
    • 2
    • 2
    • 2
    • 2
    • 1
    • 1
    • 1
    • 1
    • 1
    • 1
    • 1
    AA 647-835

    Fonction

    Polyclonal Antibody to Slit Homolog 1 (Slit1)

    Specificité

    The antibody is a rabbit polyclonal antibody raised against Slit1. It has been selected for its ability to recognize Slit1 in immunohistochemical staining and western blotting.

     Réactivité croisée

    Porc, Rat

    Purification

    Antigen-specific affinity chromatography followed by Protein A affinity chromatography

    Immunogène

    Recombinant Slit Homolog 1 (Slit1) corresdonding to Asn647~Arg835 (Accession # O75093)

    Isotype

    IgG
  • Indications d'application

    Western blotting: 0.01-3 μg/mL,Immunohistochemistry: 5-30 μg/mL,Optimal working dilutions must be determined by end user.

    Commentaires

    The thermal stability is described by the loss rate. The loss rate was determined by accelerated thermal degradation test, that is, incubate the protein at 37°C for 48h, and no obvious degradation and precipitation were observed. The loss rate is less than 5% within the expiration date under appropriate storage condition.

    Restrictions

    For Research Use only
  • Format

    Liquid

    Concentration

    0.5 mg/mL

    Buffer

    0.01M PBS, pH 7.4, containing 0.05 % Proclin-300, 50 % glycerol.

    Agent conservateur

    ProClin

    Précaution d'utilisation

    This product contains ProClin: a POISONOUS AND HAZARDOUS SUBSTANCE which should be handled by trained staff only.

    Stock

    4 °C,-20 °C

    Stockage commentaire

    Store at 4°C for frequent use. Stored at -20°C in a manual defrost freezer for two year without detectable loss of activity. Avoid repeated freeze-thaw cycles.

    Date de péremption

    24 months
  • Antigène

    SLIT1 (Slit Homolog 1 (SLIT1))

    Autre désignation

    Slit1

    Sujet

    MEGF4, SLIL1, SLIT3, Multiple epidermal growth factor-like domains protein 4

    UniProt

    O75093

    Pathways

    Regulation of Cell Size
Vous êtes ici:
Chat with us!