Tel:
+49 (0)241 95 163 153
Fax:
+49 (0)241 95 163 155
E-Mail:
orders@anticorps-enligne.fr

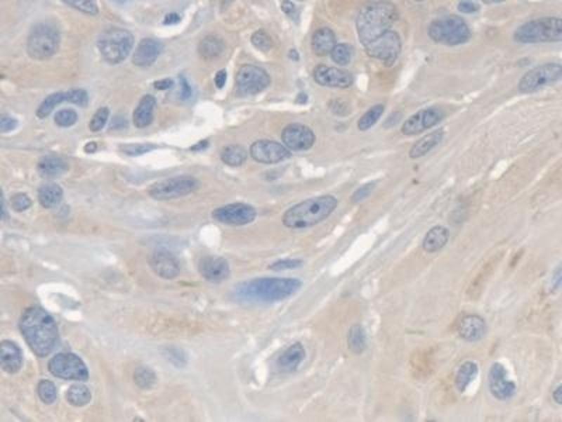
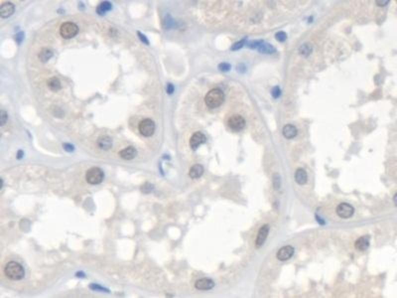
SMN2 anticorps (AA 16-251)

L’anticorps anti-SMN2 Polyclonal Lapin est utilisé pour la détection de SMN2 dans des échantillons de Humain. Il a été validé pour WB et IHC.
N° du produit ABIN7435538
310,62 €
Plus frais de livraison 40,00 € et TVA
Destination: France
Envoi sous 11 à 15 jours ouvrables

Aperçu rapide pour SMN2 anticorps (AA 16-251) (ABIN7435538)

Antigène

Voir toutes SMN2 Anticorps
SMN2 (Survival of Motor Neuron 2, Centromeric (SMN2))

Reactivité

  • 12
  • 1
  • 1
  • 1
  • 1
  • 1
  • 1
Humain

Hôte

  • 7
  • 6
Lapin

Clonalité

  • 9
  • 4
Polyclonal

Conjugué

  • 13
Cet anticorp SMN2 est non-conjugé

Application

  • 10
  • 5
  • 4
  • 3
  • 3
  • 2
  • 1
  • 1
Western Blotting (WB), Immunohistochemistry (IHC)
  • Épitope

    • 3
    • 2
    • 1
    • 1
    • 1
    • 1
    AA 16-251

    Fonction

    Polyclonal Antibody to Survival Of Motor Neuron 2, Centromeric (SMN2)

    Specificité

    The antibody is a rabbit polyclonal antibody raised against SMN2. It has been selected for its ability to recognize SMN2 in immunohistochemical staining and western blotting.

     Réactivité croisée

    Souris

    Purification

    Antigen-specific affinity chromatography followed by Protein A affinity chromatography

    Immunogène

    Recombinant Survival Of Motor Neuron 2, Centromeric (SMN2) corresdonding to Glu16~Pro251 with N-terminal His Tag

    Isotype

    IgG
  • Indications d'application

    Western blotting: 0.01-2 μg/mL,Immunohistochemistry: 5-20 μg/mL,Optimal working dilutions must be determined by end user.

    Commentaires

    The thermal stability is described by the loss rate. The loss rate was determined by accelerated thermal degradation test, that is, incubate the protein at 37°C for 48h, and no obvious degradation and precipitation were observed. The loss rate is less than 5% within the expiration date under appropriate storage condition.

    Restrictions

    For Research Use only
  • Format

    Liquid

    Concentration

    0.5 mg/mL

    Buffer

    0.01M PBS, pH 7.4, containing 0.05 % Proclin-300, 50 % glycerol.

    Agent conservateur

    ProClin

    Précaution d'utilisation

    This product contains ProClin: a POISONOUS AND HAZARDOUS SUBSTANCE which should be handled by trained staff only.

    Stock

    4 °C,-20 °C

    Stockage commentaire

    Store at 4°C for frequent use. Stored at -20°C in a manual defrost freezer for two year without detectable loss of activity. Avoid repeated freeze-thaw cycles.

    Date de péremption

    24 months
  • Antigène

    SMN2 (Survival of Motor Neuron 2, Centromeric (SMN2))

    Autre désignation

    SMN2

    Sujet

    SMNC, SMNT, SMA2, BCD541, SMA3, SMA4, SMA1, SMA

    UniProt

    Q16637

    Pathways

    Ribonucleoprotein Complex Subunit Organization
Vous êtes ici:
Chat with us!