Tel:
+49 (0)241 95 163 153
Fax:
+49 (0)241 95 163 155
E-Mail:
orders@anticorps-enligne.fr

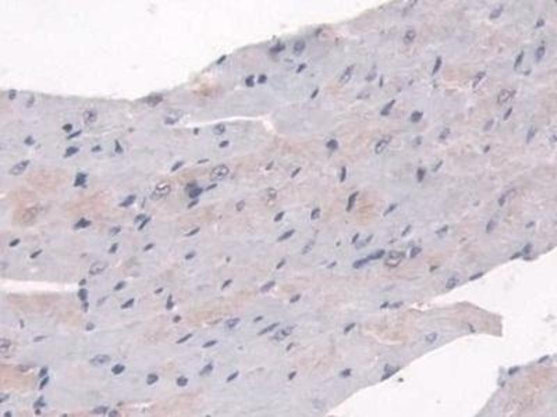
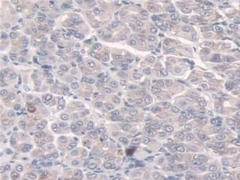
SULF2 anticorps (AA 337-654)

L’anticorps anti-SULF2 Polyclonal Lapin est utilisé pour la détection de SULF2 dans des échantillons de Souris. Il a été validé pour WB et IHC.
N° du produit ABIN7441439
317,29 €
Plus frais de livraison 40,00 € et TVA
Destination: France
Envoi sous 11 à 15 jours ouvrables

Aperçu rapide pour SULF2 anticorps (AA 337-654) (ABIN7441439)

Antigène

Voir toutes SULF2 Anticorps
SULF2 (Sulfatase 2 (SULF2))

Reactivité

  • 40
  • 19
  • 19
  • 2
  • 2
  • 2
  • 2
  • 1
  • 1
  • 1
  • 1
Souris

Hôte

  • 51
  • 4
Lapin

Clonalité

  • 51
  • 4
Polyclonal

Conjugué

  • 20
  • 7
  • 6
  • 3
  • 1
  • 1
  • 1
  • 1
  • 1
  • 1
  • 1
  • 1
  • 1
  • 1
  • 1
  • 1
  • 1
  • 1
  • 1
  • 1
  • 1
  • 1
  • 1
Cet anticorp SULF2 est non-conjugé

Application

  • 40
  • 20
  • 13
  • 13
  • 11
  • 4
  • 3
  • 3
  • 3
  • 3
  • 1
  • 1
Western Blotting (WB), Immunohistochemistry (IHC)
  • Épitope

    • 15
    • 8
    • 6
    • 5
    • 4
    • 2
    • 1
    • 1
    • 1
    • 1
    AA 337-654

    Fonction

    Polyclonal Antibody to Sulfatase 2 (SULF2)

    Specificité

    The antibody is a rabbit polyclonal antibody raised against SULF2. It has been selected for its ability to recognize SULF2 in immunohistochemical staining and western blotting.

     Réactivité croisée

    Humain

    Purification

    Antigen-specific affinity chromatography followed by Protein A affinity chromatography

    Immunogène

    Recombinant Sulfatase 2 (SULF2) corresdonding to Phe337~Arg654 with N-terminal His Tag

    Isotype

    IgG
  • Indications d'application

    Western blotting: 0.5-2 μg/mL,Immunohistochemistry: 5-20 μg/mL,Immunocytochemistry: 5-20 μg/mL,Optimal working dilutions must be determined by end user.

    Commentaires

    The thermal stability is described by the loss rate. The loss rate was determined by accelerated thermal degradation test, that is, incubate the protein at 37°C for 48h, and no obvious degradation and precipitation were observed. The loss rate is less than 5% within the expiration date under appropriate storage condition.

    Restrictions

    For Research Use only
  • Format

    Liquid

    Concentration

    0.5 mg/mL

    Buffer

    0.01M PBS, pH 7.4, containing 0.05 % Proclin-300, 50 % glycerol.

    Agent conservateur

    ProClin

    Précaution d'utilisation

    This product contains ProClin: a POISONOUS AND HAZARDOUS SUBSTANCE which should be handled by trained staff only.

    Stock

    4 °C,-20 °C

    Stockage commentaire

    Store at 4°C for frequent use. Stored at -20°C in a manual defrost freezer for two year without detectable loss of activity. Avoid repeated freeze-thaw cycles.

    Date de péremption

    24 months
  • Antigène

    SULF2 (Sulfatase 2 (SULF2))

    Autre désignation

    SULF2

    Sujet

    HSULF-2, Extracellular sulfatase Sulf-2

    UniProt

    Q8CFG0
Vous êtes ici:
Chat with us!