Tel:
+49 (0)241 95 163 153
Fax:
+49 (0)241 95 163 155
E-Mail:
orders@anticorps-enligne.fr

LCAT anticorps (AA 290-433)

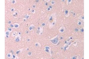
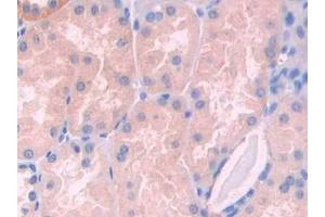
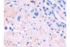
L’anticorps anti-LCAT Polyclonal Lapin est utilisé pour la détection de LCAT dans des échantillons de Humain. Il a été validé pour WB, IHC, IP et ICC.
N° du produit ABIN7436690
310,62 €
Plus frais de livraison 40,00 € et TVA
Destination: France
Envoi sous 11 à 15 jours ouvrables

Aperçu rapide pour LCAT anticorps (AA 290-433) (ABIN7436690)

Antigène

Voir toutes LCAT Anticorps
LCAT (Lecithin-Cholesterol Acyltransferase (LCAT))

Reactivité

  • 78
  • 43
  • 43
  • 6
  • 4
  • 4
  • 4
  • 4
  • 4
  • 3
  • 2
  • 1
  • 1
Humain

Hôte

  • 82
  • 10
  • 2
Lapin

Clonalité

  • 73
  • 21
Polyclonal

Conjugué

  • 42
  • 16
  • 6
  • 3
  • 2
  • 2
  • 2
  • 2
  • 2
  • 2
  • 1
  • 1
  • 1
  • 1
  • 1
  • 1
  • 1
  • 1
  • 1
  • 1
  • 1
  • 1
  • 1
  • 1
  • 1
Cet anticorp LCAT est non-conjugé

Application

  • 82
  • 41
  • 27
  • 23
  • 21
  • 18
  • 13
  • 13
  • 10
  • 5
  • 3
  • 3
  • 2
  • 1
Western Blotting (WB), Immunohistochemistry (IHC), Immunoprecipitation (IP), Immunocytochemistry (ICC)
  • Épitope

    • 15
    • 7
    • 6
    • 6
    • 5
    • 4
    • 3
    • 3
    • 3
    • 3
    • 3
    • 2
    • 2
    • 2
    • 2
    • 1
    • 1
    • 1
    • 1
    AA 290-433

    Fonction

    Polyclonal Antibody to Lecithin Cholesterol Acyltransferase (LCAT)

    Specificité

    The antibody is a rabbit polyclonal antibody raised against LCAT. It has been selected for its ability to recognize LCAT in immunohistochemical staining and western blotting.

     Réactivité croisée

    Souris, Rat

    Purification

    Antigen-specific affinity chromatography followed by Protein A affinity chromatography

    Immunogène

    Recombinant Lecithin Cholesterol Acyltransferase (LCAT) corresdonding to Ile290~Ser433 with N-terminal His Tag

    Isotype

    IgG
  • Indications d'application

    Western blotting: 0.5-2 μg/mL,Immunocytochemistry in formalin fixed cells: 5-20 μg/mL,Immunohistochemistry in formalin fixed frozen section: 5-20 μg/mL,Immunohistochemistry in paraffin section: 5-20 μg/mL,Enzyme-linked Immunosorbent Assay: 0.05-2 μg/mL,Optimal working dilutions must be determined by end user.

    Commentaires

    The thermal stability is described by the loss rate. The loss rate was determined by accelerated thermal degradation test, that is, incubate the protein at 37°C for 48h, and no obvious degradation and precipitation were observed. The loss rate is less than 5% within the expiration date under appropriate storage condition.

    Restrictions

    For Research Use only
  • Format

    Liquid

    Concentration

    500 μg/mL

    Buffer

    0.01M PBS, pH 7.4, containing 0.05 % Proclin-300, 50 % glycerol.

    Agent conservateur

    ProClin

    Précaution d'utilisation

    This product contains ProClin: a POISONOUS AND HAZARDOUS SUBSTANCE which should be handled by trained staff only.

    Stock

    4 °C,-20 °C

    Stockage commentaire

    Store at 4°C for frequent use. Stored at -20°C in a manual defrost freezer for two year without detectable loss of activity. Avoid repeated freeze-thaw cycles.

    Date de péremption

    24 months
  • Antigène

    LCAT (Lecithin-Cholesterol Acyltransferase (LCAT))

    Autre désignation

    LCAT

    Sujet

    Phosphatidylcholine-sterol O-acyltransferase, Phospholipid-cholesterol acyltransferase

    UniProt

    P04180

    Pathways

    Lipid Metabolism
Vous êtes ici:
Chat with us!