Tel:
+49 (0)241 95 163 153
Fax:
+49 (0)241 95 163 155
E-Mail:
orders@anticorps-enligne.fr

ATG16L1 anticorps (AA 342-607)

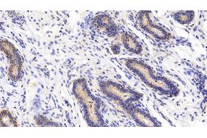
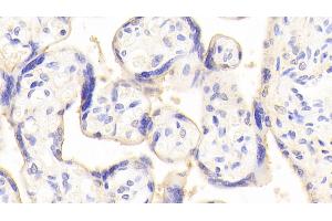
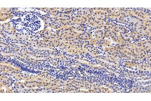
Cet anticorps anti-ATG16L1 Polyclonal Lapin (ABIN7443884) détecte spécifiquement ATG16L1 dans WB, IHC, IP et ICC. L’anticorps est réactif avec des échantillons de Humain.
N° du produit ABIN7443884
333,51 €
Plus frais de livraison 40,00 € et TVA
Destination: France
Envoi sous 11 à 15 jours ouvrables

Aperçu rapide pour ATG16L1 anticorps (AA 342-607) (ABIN7443884)

Antigène

Voir toutes ATG16L1 Anticorps
ATG16L1 (ATG16 Autophagy Related 16-Like 1 (ATG16L1))

Reactivité

  • 93
  • 47
  • 45
  • 11
  • 6
  • 6
  • 6
  • 6
  • 6
  • 4
  • 3
  • 2
  • 1
  • 1
  • 1
Humain

Hôte

  • 80
  • 13
  • 1
Lapin

Clonalité

  • 62
  • 32
Polyclonal

Conjugué

  • 55
  • 5
  • 4
  • 4
  • 4
  • 4
  • 4
  • 4
  • 4
  • 2
  • 1
  • 1
  • 1
  • 1
Cet anticorp ATG16L1 est non-conjugé

Application

  • 68
  • 36
  • 27
  • 20
  • 15
  • 11
  • 8
  • 4
  • 3
  • 2
  • 1
  • 1
  • 1
  • 1
  • 1
Western Blotting (WB), Immunohistochemistry (IHC), Immunoprecipitation (IP), Immunocytochemistry (ICC)
  • Épitope

    • 7
    • 5
    • 4
    • 4
    • 3
    • 2
    • 2
    • 2
    • 2
    • 2
    • 1
    • 1
    • 1
    • 1
    • 1
    • 1
    • 1
    • 1
    • 1
    • 1
    • 1
    • 1
    • 1
    • 1
    • 1
    • 1
    • 1
    • 1
    • 1
    • 1
    AA 342-607

    Fonction

    Polyclonal Antibody to Autophagy Related Protein 16 Like Protein 1 (ATG16L1)

    Specificité

    The antibody is a rabbit polyclonal antibody raised against ATG16L1. It has been selected for its ability to recognize ATG16L1 in immunohistochemical staining and western blotting.

     Réactivité croisée

    Souris, Porc, Rat

    Purification

    Antigen-specific affinity chromatography followed by Protein A affinity chromatography

    Immunogène

    Recombinant Autophagy Related Protein 16 Like Protein 1 (ATG16L1) corresdonding to Met342~Tyr607

    Isotype

    IgG
  • Indications d'application

    Western blotting: 0.5-2 μg/mL,Immunohistochemistry: 5-20 μg/mL,Immunocytochemistry: 5-20 μg/mL,Optimal working dilutions must be determined by end user.

    Commentaires

    The thermal stability is described by the loss rate. The loss rate was determined by accelerated thermal degradation test, that is, incubate the protein at 37°C for 48h, and no obvious degradation and precipitation were observed. The loss rate is less than 5% within the expiration date under appropriate storage condition.

    Restrictions

    For Research Use only
  • Format

    Liquid

    Concentration

    500 μg/mL

    Buffer

    0.01M PBS, pH 7.4, containing 0.05 % Proclin-300, 50 % glycerol.

    Agent conservateur

    ProClin

    Précaution d'utilisation

    This product contains ProClin: a POISONOUS AND HAZARDOUS SUBSTANCE which should be handled by trained staff only.

    Stock

    4 °C,-20 °C

    Stockage commentaire

    Store at 4°C for frequent use. Stored at -20°C in a manual defrost freezer for two year without detectable loss of activity. Avoid repeated freeze-thaw cycles.

    Date de péremption

    24 months
  • Antigène

    ATG16L1 (ATG16 Autophagy Related 16-Like 1 (ATG16L1))

    Autre désignation

    ATG16L1

    Sujet

    WDR30

    UniProt

    Q676U5

    Pathways

    Autophagy
Vous êtes ici:
Chat with us!