Tel:
+49 (0)241 95 163 153
Fax:
+49 (0)241 95 163 155
E-Mail:
orders@anticorps-enligne.fr

ANAPC2 anticorps

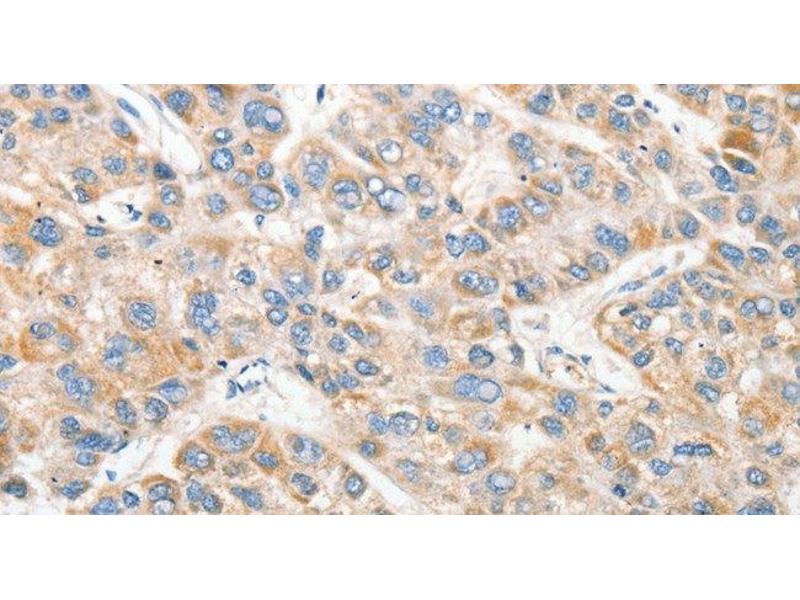
Cet anticorps anti-ANAPC2 Polyclonal Lapin (ABIN7235847) détecte spécifiquement ANAPC2 dans ELISA et IHC. L’anticorps est réactif avec des échantillons de Humain et Souris.
N° du produit ABIN7235847
449,00 €
Plus frais de livraison 40,00 € et TVA
Destination: France
Envoi sous 9 à 13 jours ouvrables

Aperçu rapide pour ANAPC2 anticorps (ABIN7235847)

Antigène

Voir toutes ANAPC2 Anticorps
ANAPC2 (Anaphase Promoting Complex Subunit 2 (ANAPC2))

Reactivité

  • 32
  • 13
  • 6
  • 2
Humain, Souris

Hôte

  • 20
  • 13
Lapin

Clonalité

  • 21
  • 11
Polyclonal

Conjugué

  • 24
  • 2
  • 1
  • 1
  • 1
  • 1
  • 1
  • 1
  • 1
Cet anticorp ANAPC2 est non-conjugé

Application

  • 23
  • 12
  • 11
  • 8
  • 7
  • 3
  • 1
  • 1
  • 1
  • 1
ELISA, Immunohistochemistry (IHC)
  • Attributs du produit

    Polyclonal Antibody

    Purification

    Affinity purification

    Immunogène

    Recombinant protein of human ANAPC2

    Isotype

    IgG
  • Indications d'application

    IHC 1:50-1:200

    Restrictions

    For Research Use only
  • Format

    Liquid

    Concentration

    0.3 mg/mL

    Buffer

    PBS with 0.05 % sodium azide and 50 % glycerol, PH7.4

    Agent conservateur

    Sodium azide

    Précaution d'utilisation

    This product contains Sodium azide: a POISONOUS AND HAZARDOUS SUBSTANCE which should be handled by trained staff only.

    Stock

    -20 °C

    Stockage commentaire

    Store at -20°C. Avoid freeze / thaw cycles.
  • Antigène

    ANAPC2 (Anaphase Promoting Complex Subunit 2 (ANAPC2))

    Autre désignation

    ANAPC2

    Sujet

    A large protein complex, termed the anaphase-promoting complex (APC), or the cyclosome, promotes metaphase-anaphase transition by ubiquitinating its specific substrates such as mitotic cyclins and anaphase inhibitor, which are subsequently degraded by the 26S proteasome. Biochemical studies have shown that the vertebrate APC contains eight subunits. The composition of the APC is highly conserved in organisms from yeast to humans. The product of this gene is a component of the complex and shares sequence similarity with a recently identified family of proteins called cullins, whicHuman, Mouseay also be involved in ubiquitin-mediated degradation.

    UniProt

    Q9UJX6

    Pathways

    Regulation of Cell Size
Vous êtes ici:
Chat with us!