Tel:
+49 (0)241 95 163 153
Fax:
+49 (0)241 95 163 155
E-Mail:
orders@anticorps-enligne.fr

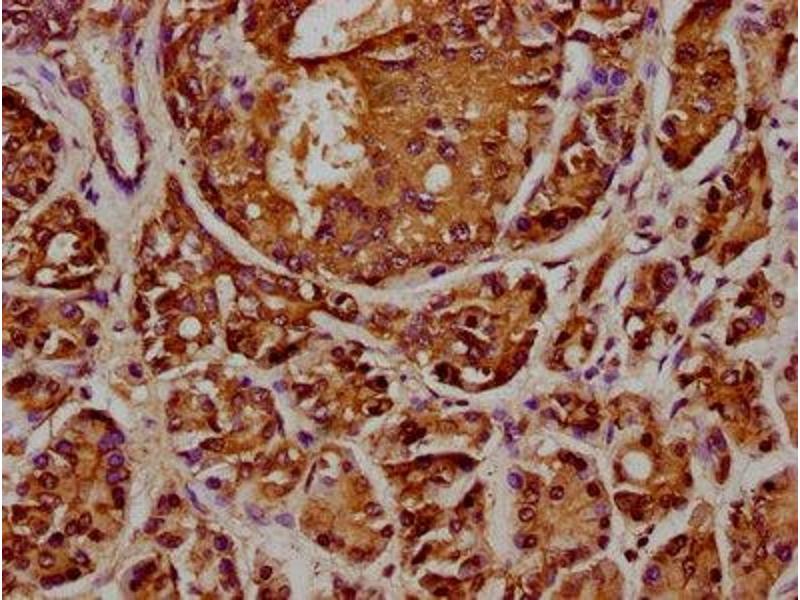
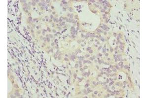
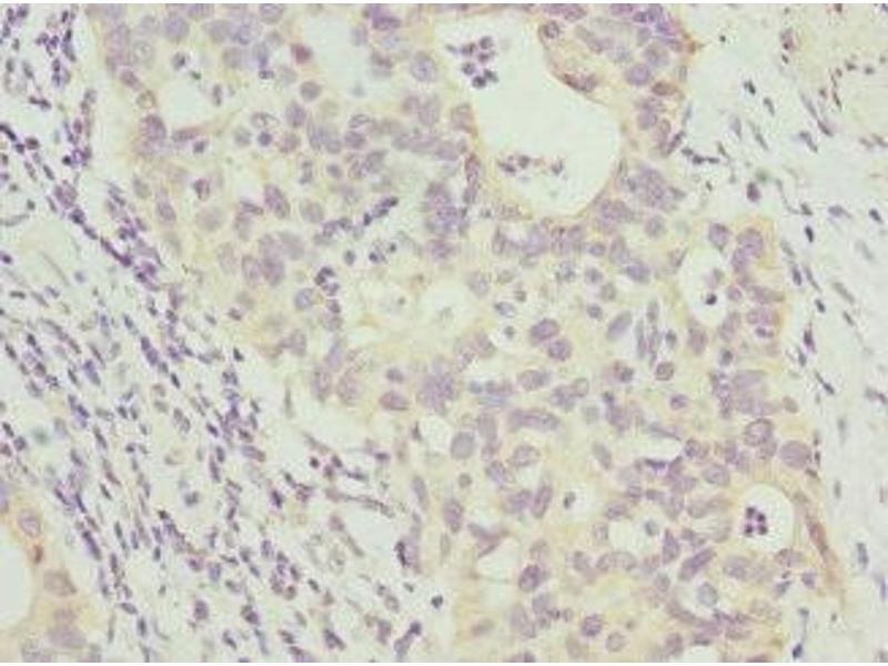
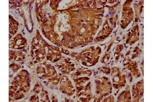
ANAPC2 anticorps (AA 1-230)

Cet anticorps anti-ANAPC2 Polyclonal Lapin (ABIN7144072) détecte spécifiquement ANAPC2 dans ELISA, IHC et IF. L’anticorps est réactif avec des échantillons de Humain.
N° du produit ABIN7144072
328,90 €
Plus frais de livraison 40,00 € et TVA
Destination: France
Envoi sous 11 à 15 jours ouvrables

Aperçu rapide pour ANAPC2 anticorps (AA 1-230) (ABIN7144072)

Antigène

Voir toutes ANAPC2 Anticorps
ANAPC2 (Anaphase Promoting Complex Subunit 2 (ANAPC2))

Reactivité

  • 32
  • 14
  • 6
  • 2
Humain

Hôte

  • 20
  • 13
Lapin

Clonalité

  • 21
  • 11
Polyclonal

Conjugué

  • 24
  • 2
  • 1
  • 1
  • 1
  • 1
  • 1
  • 1
  • 1
Cet anticorp ANAPC2 est non-conjugé

Application

  • 23
  • 12
  • 11
  • 7
  • 7
  • 3
  • 1
  • 1
  • 1
  • 1
ELISA, Immunohistochemistry (IHC), Immunofluorescence (IF)
  • Épitope

    • 2
    • 2
    • 2
    • 1
    • 1
    • 1
    • 1
    • 1
    • 1
    AA 1-230

    Fonction

    ANAPC2 Antibody

    Purification

    Antigen Affinity Purified

    Immunogène

    Recombinant Human Anaphase-promoting complex subunit 2 protein (1-230AA)

    Isotype

    IgG
  • Indications d'application

    Optimal working dilution should be determined by the investigator.

    Restrictions

    For Research Use only
  • Format

    Liquid

    Buffer

    PBS with 0.02 % sodium azide, 50 % glycerol, pH 7.3.

    Agent conservateur

    Sodium azide

    Précaution d'utilisation

    This product contains Sodium azide: a POISONOUS AND HAZARDOUS SUBSTANCE which should be handled by trained staff only.

    Stock

    -20 °C,-80 °C

    Stockage commentaire

    Upon receipt, store at -20°C or -80°C. Avoid repeated freeze.
  • Antigène

    ANAPC2 (Anaphase Promoting Complex Subunit 2 (ANAPC2))

    Autre désignation

    ANAPC2

    Sujet

    Background: Together with the RING-H2 protein ANAPC11, constitutes the catalytic component of the anaphase promoting complex/cyclosome (APC/C), a cell cycle-regulated E3 ubiquitin ligase that controls progression through mitosis and the G1 phase of the cell cycle. The APC/C complex acts by mediating ubiquitination and subsequent degradation of target proteins: it mainly mediates the formation of \\\'Lys-11\\\'-linked polyubiquitin chains and, to a lower extent, the formation of \\\'Lys-48\\\'- and \\\'Lys-63\\\'-linked polyubiquitin chains. The CDC20-APC/C complex positively regulates the formation of synaptic vesicle clustering at active zone to the presynaptic membrane in postmitotic neurons. CDC20-APC/C-induced degradation of NEUROD2 drives presynaptic differentiation.

    Aliases: anapc2 antibody, Anaphase promoting complex subunit 2 antibody, Anaphase-promoting complex subunit 2 antibody, ANC2_HUMAN antibody, APC2 antibody, Cyclosome subunit 2 antibody, KIAA1406 antibody, OTTHUMP00000022692 antibody, RP11 350O14.5 antibody

    UniProt

    Q9UJX6

    Pathways

    Regulation of Cell Size
Vous êtes ici:
Chat with us!