MUSK anticorps
Aperçu rapide pour MUSK anticorps (ABIN7236103)
Antigène
Voir toutes MUSK AnticorpsReactivité
Hôte
Clonalité
Conjugué
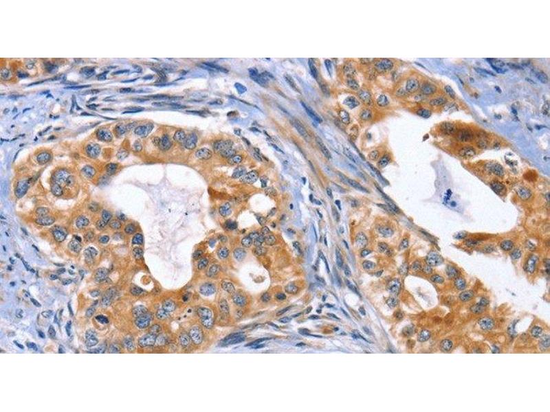
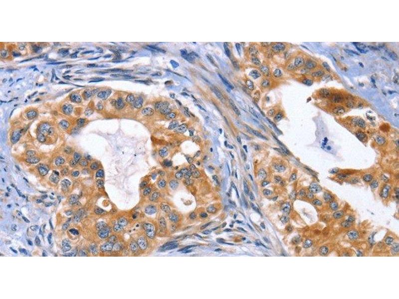
Application
-
-
Attributs du produit
- Polyclonal Antibody
-
Purification
- Affinity purification
-
Immunogène
- Recombinant protein of human MUSK
-
Isotype
- IgG
-
-
-
-
Indications d'application
- IHC 1:50-1:200
-
Restrictions
- For Research Use only
-
-
-
Format
- Liquid
-
Concentration
- 0.3 mg/mL
-
Buffer
- PBS with 0.05 % sodium azide and 50 % glycerol, PH7.4
-
Agent conservateur
- Sodium azide
-
Précaution d'utilisation
- This product contains Sodium azide: a POISONOUS AND HAZARDOUS SUBSTANCE which should be handled by trained staff only.
-
Stock
- -20 °C
-
Stockage commentaire
- Store at -20°C. Avoid freeze / thaw cycles.
-
-
- MUSK (Muscle, Skeletal, Receptor Tyrosine Kinase (MUSK))
-
Autre désignation
- MUSK
-
Sujet
- This gene encodes a muscle-specific tyrosine kinase receptor. The encoded protein may play a role in clustering of the acetylcholine receptor in the postsynaptic neuromuscular junction. Mutations in this gene have been associated with congenital myasthenic syndrome. Alternatively spliced transcript variants have been described.
-
UniProt
- O15146
-
Pathways
- Signalisation RTK, Regulation of Muscle Cell Differentiation, Synaptic Membrane, Regulation of Cell Size, Skeletal Muscle Fiber Development
Antigène
-