Tel:
+49 (0)241 95 163 153
Fax:
+49 (0)241 95 163 155
E-Mail:
orders@anticorps-enligne.fr

hCG anticorps

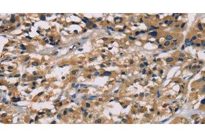
Cet anticorps anti-hCG Polyclonal Lapin (ABIN7236584) détecte spécifiquement hCG dans ELISA et IHC. L’anticorps est réactif avec des échantillons de Humain.
N° du produit ABIN7236584
449,00 €
Plus frais de livraison 40,00 € et TVA
Destination: France
Envoi sous 9 à 13 jours ouvrables

Aperçu rapide pour hCG anticorps (ABIN7236584)

Antigène

Voir toutes hCG Anticorps
hCG (Chorionic Gonadotropin (hCG))

Reactivité

  • 41
  • 1
  • 1
Humain

Hôte

  • 34
  • 4
  • 3
  • 1
  • 1
Lapin

Clonalité

  • 36
  • 7
Polyclonal

Conjugué

  • 38
  • 3
  • 2
  • 1
Cet anticorp hCG est non-conjugé

Application

  • 25
  • 17
  • 12
  • 8
  • 7
  • 4
  • 4
  • 3
  • 3
  • 2
  • 1
  • 1
  • 1
  • 1
  • 1
  • 1
  • 1
  • 1
ELISA, Immunohistochemistry (IHC)
  • Attributs du produit

    Polyclonal Antibody

    Purification

    Affinity purification

    Immunogène

    Recombinant protein of human CGA

    Isotype

    IgG
  • Indications d'application

    IHC 1:50-1:200

    Restrictions

    For Research Use only
  • Format

    Liquid

    Concentration

    0.5 mg/mL

    Buffer

    PBS with 0.05 % sodium azide and 50 % glycerol, PH7.4

    Agent conservateur

    Sodium azide

    Précaution d'utilisation

    This product contains Sodium azide: a POISONOUS AND HAZARDOUS SUBSTANCE which should be handled by trained staff only.

    Stock

    -20 °C

    Stockage commentaire

    Store at -20°C. Avoid freeze / thaw cycles.
  • Antigène

    hCG (Chorionic Gonadotropin (hCG))

    Autre désignation

    hCG

    Classe de substances

    Hormone

    Sujet

    The four human glycoprotein hormones chorionic gonadotropin (CG), luteinizing hormone (LH), follicle stimulating hormone (FSH), and thyroid stimulating hormone (TSH) are dimers consisting of alpha and beta subunits that are associated noncovalently. The alpha subunits of these hormones are identical, however, their beta chains are unique and confer biological specificity. The protein encoded by this gene is the alpha subunit and belongs to the glycoprotein hormones alpha chain family. Two transcript variants encoding different isoforms have been found for this gene.

    UniProt

    P01215
Vous êtes ici:
Chat with us!