CXCR7 anticorps
Aperçu rapide pour CXCR7 anticorps (ABIN7249546)
Antigène
Voir toutes CXCR7 AnticorpsReactivité
Hôte
Clonalité
Conjugué
Application
-
-
Attributs du produit
- Polyclonal Antibody
-
Purification
- Affinity purification
-
Immunogène
- KLH conjugated Synthetic peptide corresponding to Mouse CXCR7
-
Isotype
- IgG
-
-
-
-
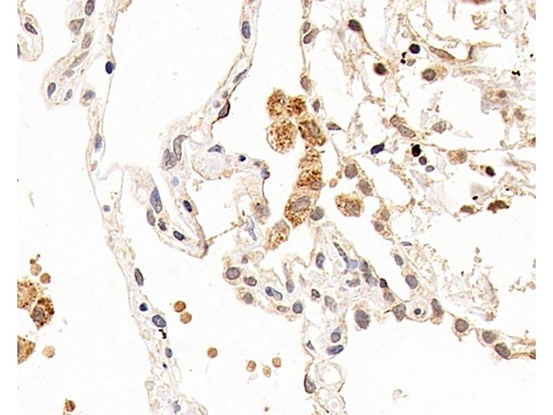
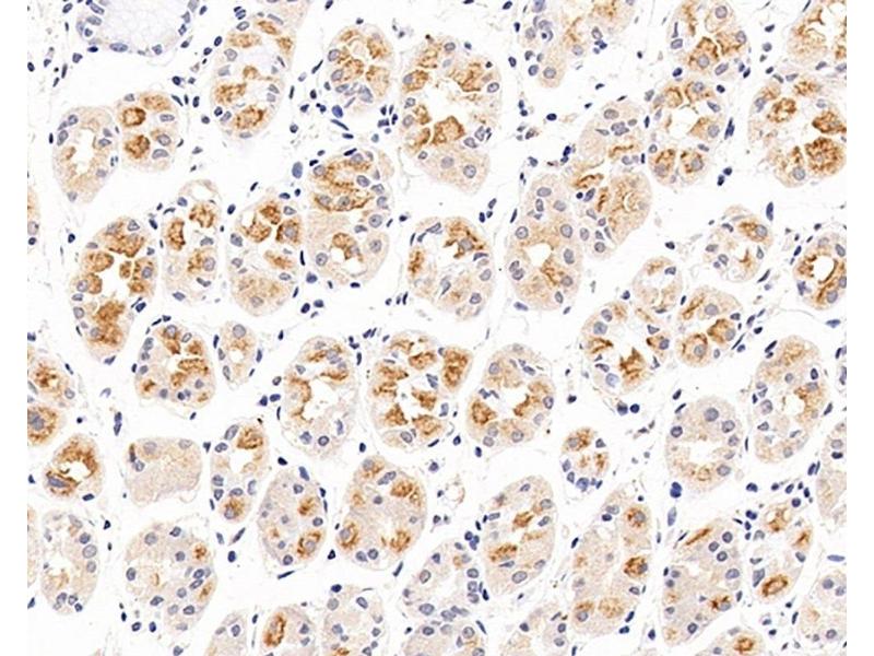
Indications d'application
- IHC 1:100-1:200
-
Restrictions
- For Research Use only
-
-
-
Format
- Liquid
-
Concentration
- 130 μg/mL
-
Buffer
- PBS with 0.02 % sodium azide, 1 % BSA and 50 % glycerol, pH 7.4
-
Agent conservateur
- Sodium azide
-
Précaution d'utilisation
- This product contains Sodium azide: a POISONOUS AND HAZARDOUS SUBSTANCE which should be handled by trained staff only.
-
Stock
- -20 °C
-
Stockage commentaire
- Store at -20°C. Avoid freeze / thaw cycles.
-
-
- CXCR7 (Chemokine (C-X-C Motif) Receptor 7 (CXCR7))
-
Autre désignation
- CXCR7
-
Sujet
- CXCR7 (C-X-C chemokine receptor type 7),also known as RDC1,is a member of the G-protein coupled receptor family. CXCR7 can bind the chemokines CXCL11 and CXCL12 with high affinity,and it also acts as coreceptor with CXCR4 for a restricted number of HIV isolates. Expression of CXCR7 has been associated with cardiac development as well as with tumor growth and progression.
-
UniProt
- P25106, P56485, O89039
-
Pathways
- Myometrial Relaxation and Contraction, Negative Regulation of intrinsic apoptotic Signaling
Antigène
-