NFKBIB anticorps
Aperçu rapide pour NFKBIB anticorps (ABIN7249640)
Antigène
Voir toutes NFKBIB AnticorpsReactivité
Hôte
Clonalité
Conjugué
Application
-
-
Attributs du produit
- Polyclonal Antibody
-
Purification
- Affinity purification
-
Immunogène
- KLH conjugated Synthetic peptide corresponding to Mouse IKBbeta
-
Isotype
- IgG
-
-
-
-
Indications d'application
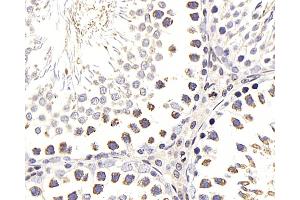
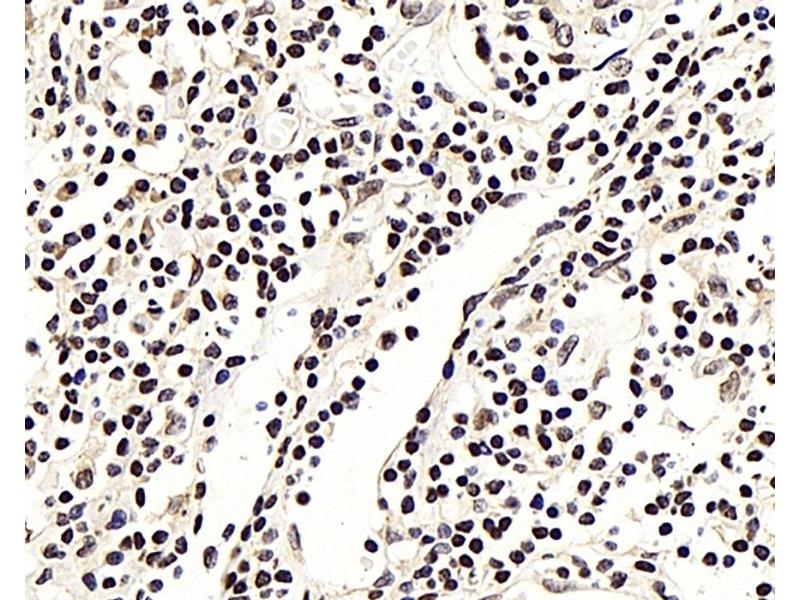
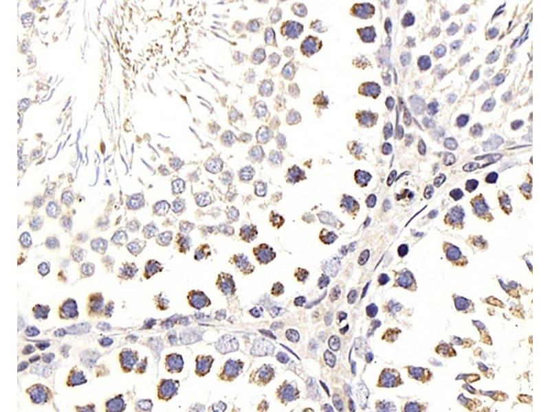
- IHC 1:300
-
Restrictions
- For Research Use only
-
-
-
Format
- Liquid
-
Concentration
- 0.66 mg/mL
-
Buffer
- PBS with 0.02 % sodium azide, 1 % BSA and 50 % glycerol, pH 7.4
-
Agent conservateur
- Sodium azide
-
Précaution d'utilisation
- This product contains Sodium azide: a POISONOUS AND HAZARDOUS SUBSTANCE which should be handled by trained staff only.
-
Stock
- -20 °C
-
Stockage commentaire
- Store at -20°C. Avoid freeze / thaw cycles.
-
-
- NFKBIB (NF-kappa-B inhibitor beta (NFKBIB))
-
Autre désignation
- NFKBIB
-
Sujet
- The protein encoded by this gene belongs to the NF-kappa-B inhibitor family, which inhibit NF-kappa-B by complexing with, and trapping it in the cytoplasm. Phosphorylation of serine residues on these proteins by kinases marks them for destruction via the ubiquitination pathway, thereby allowing activation of the NF-kappa-B, which translocates to the nucleus to function as a transcription factor. Alternatively spliced transcript variants have been found for this gene.
-
UniProt
- Q15653, Q60778, Q9JIA3
-
Pathways
- Signalisation NF-kappaB, Activation of Innate immune Response, Maintenance of Protein Location, Toll-Like Receptors Cascades
Antigène
-