VASP anticorps
Aperçu rapide pour VASP anticorps (ABIN7257730)
Antigène
Voir toutes VASP AnticorpsReactivité
Hôte
Clonalité
Conjugué
Application
-
-
Attributs du produit
- Polyclonal Antibody
-
Purification
- Affinity purification
-
Immunogène
- A synthetic peptide of human VASP (NP_003361.1).
-
Isotype
- IgG
-
-
-
-
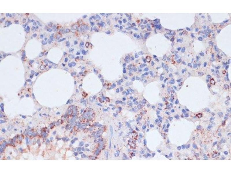
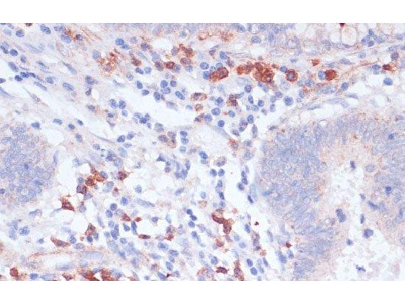
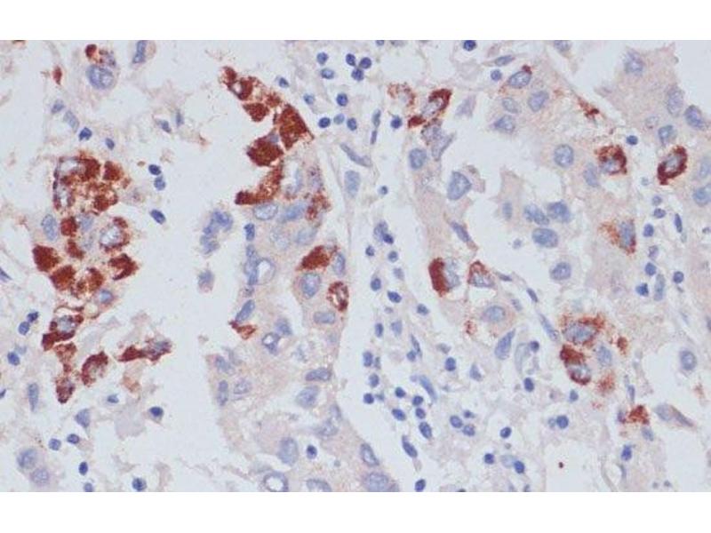
Indications d'application
- IHC 1:50-1:200
-
Restrictions
- For Research Use only
-
-
-
Format
- Liquid
-
Concentration
- 1 mg/mL
-
Buffer
- PBS with 0.02 % sodium azide, 50 % glycerol, pH 7.3
-
Agent conservateur
- Sodium azide
-
Précaution d'utilisation
- This product contains Sodium azide: a POISONOUS AND HAZARDOUS SUBSTANCE which should be handled by trained staff only.
-
Stock
- -20 °C
-
Stockage commentaire
- Store at -20°C. Avoid freeze / thaw cycles.
-
-
- VASP (Vasodilator-Stimulated phosphoprotein (VASP))
-
Autre désignation
- VASP
-
Sujet
- Vasodilator-stimulated phosphoprotein (VASP) is a member of the Ena-VASP protein family. Ena-VASP family members contain an EHV1 N-terminal domain that binds proteins containing E/DFPPPPXD/E motifs and targets Ena-VASP proteins to focal adhesions. In the mid-region of the protein, family members have a proline-rich domain that binds SH3 and WW domain-containing proteins. Their C-terminal EVH2 domain mediates tetramerization and binds both G and F actin. VASP is associated with filamentous actin formation and likely plays a widespread role in cell adhesion and motility. VASP may also be involved in the intracellular signaling pathways that regulate integrin-extracellular matrix interactions. VASP is regulated by the cyclic nucleotide-dependent kinases PKA and PKG.
-
ID gène
- 7408
-
UniProt
- P50552
-
Pathways
- TCR Signaling, Regulation of Actin Filament Polymerization, Tube Formation
Antigène
-