Tel:
+49 (0)241 95 163 153
Fax:
+49 (0)241 95 163 155
E-Mail:
orders@anticorps-enligne.fr

ERK1/2 anticorps

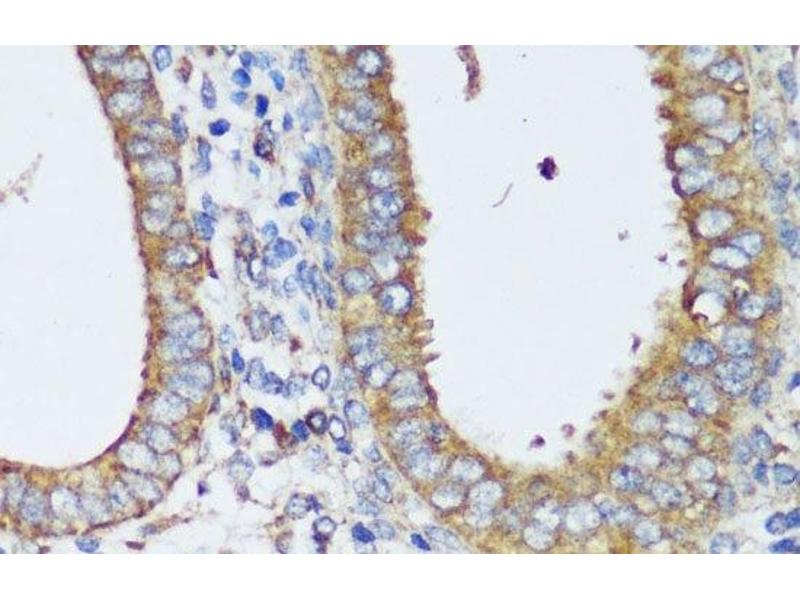
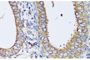
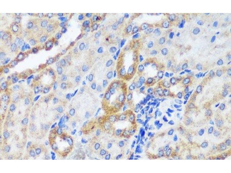
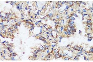
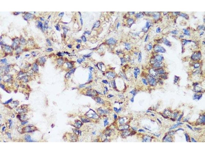
L’anticorps anti-ERK1/2 Polyclonal Lapin est utilisé pour la détection de ERK1/2 dans des échantillons de Humain, Souris et Rat. Il a été validé pour IHC et IF.
N° du produit ABIN7259324
580,00 €
Plus frais de livraison 40,00 € et TVA
Destination: France
Envoi sous 9 à 13 jours ouvrables

Aperçu rapide pour ERK1/2 anticorps (ABIN7259324)

Antigène

Voir toutes ERK1/2 (MAPK1/3) Anticorps
ERK1/2 (MAPK1/3) (Mitogen-Activated Protein Kinase 1/3 (MAPK1/3))

Reactivité

  • 221
  • 188
  • 183
  • 21
  • 21
  • 18
  • 6
  • 2
  • 2
  • 2
  • 2
  • 2
  • 1
  • 1
  • 1
  • 1
  • 1
  • 1
  • 1
Humain, Souris, Rat

Hôte

  • 176
  • 47
  • 4
Lapin

Clonalité

  • 134
  • 93
Polyclonal

Conjugué

  • 84
  • 13
  • 9
  • 9
  • 8
  • 8
  • 8
  • 8
  • 6
  • 5
  • 5
  • 5
  • 5
  • 5
  • 5
  • 5
  • 5
  • 5
  • 5
  • 5
  • 4
  • 4
  • 4
  • 3
  • 1
  • 1
  • 1
  • 1
Cet anticorp ERK1/2 est non-conjugé

Application

  • 175
  • 66
  • 57
  • 51
  • 51
  • 42
  • 41
  • 40
  • 36
  • 33
  • 13
  • 6
  • 4
  • 3
  • 1
Immunohistochemistry (IHC), Immunofluorescence (IF)
  • Attributs du produit

    Polyclonal Antibody

    Purification

    Affinity purification

    Immunogène

    Recombinant Protein of human ERK1 / ERK2

    Isotype

    IgG
  • Indications d'application

    IHC 1:50-1:200 IF 1:50-1:200

    Restrictions

    For Research Use only
  • Format

    Liquid

    Concentration

    1 mg/mL

    Buffer

    PBS with 0.02 % sodium azide, 50 % glycerol, pH 7.3

    Agent conservateur

    Sodium azide

    Précaution d'utilisation

    This product contains Sodium azide: a POISONOUS AND HAZARDOUS SUBSTANCE which should be handled by trained staff only.

    Stock

    -20 °C

    Stockage commentaire

    Store at -20°C. Avoid freeze / thaw cycles.
  • Antigène

    ERK1/2 (MAPK1/3) (Mitogen-Activated Protein Kinase 1/3 (MAPK1/3))

    Autre désignation

    ERK1 / ERK2

    Sujet

    This gene encodes a member of the MAP kinase family. MAP kinases, also known as extracellular signal-regulated kinases (ERKs), act as an integration point for multiple biochemical signals, and are involved in a wide variety of cellular processes such as proliferation, differentiation, transcription regulation and development. The activation of this kinase requires its phosphorylation by upstream kinases. Upon activation, this kinase translocates to the nucleus of the stimulated cells, where it phosphorylates nuclear targets. One study also suggests that this protein acts as a transcriptional repressor independent of its kinase activity. The encoded protein has been identified as a moonlighting protein based on its ability to perform mechanistically distinct functions. Two alternatively spliced transcript variants encoding the same protein, but differing in the UTRs, have been reported for this gene./The protein encoded by this gene is a member of the MAP kinase family. MAP kinases, also known as extracellular signal-regulated kinases (ERKs), act in a signaling cascade that regulates various cellular processes such as proliferation, differentiation, and cell cycle progression in response to a variety of extracellular signals. This kinase is activated by upstream kinases, resulting in its translocation to the nucleus where it phosphorylates nuclear targets. Alternatively spliced transcript variants encoding different protein isoforms have been described.

    ID gène

    5594, 5595

    UniProt

    P28482, P27361
Vous êtes ici:
Chat with us!