Fgr anticorps
Aperçu rapide pour Fgr anticorps (ABIN7260131)
Antigène
Voir toutes Fgr (FGR) AnticorpsReactivité
Hôte
Clonalité
Conjugué
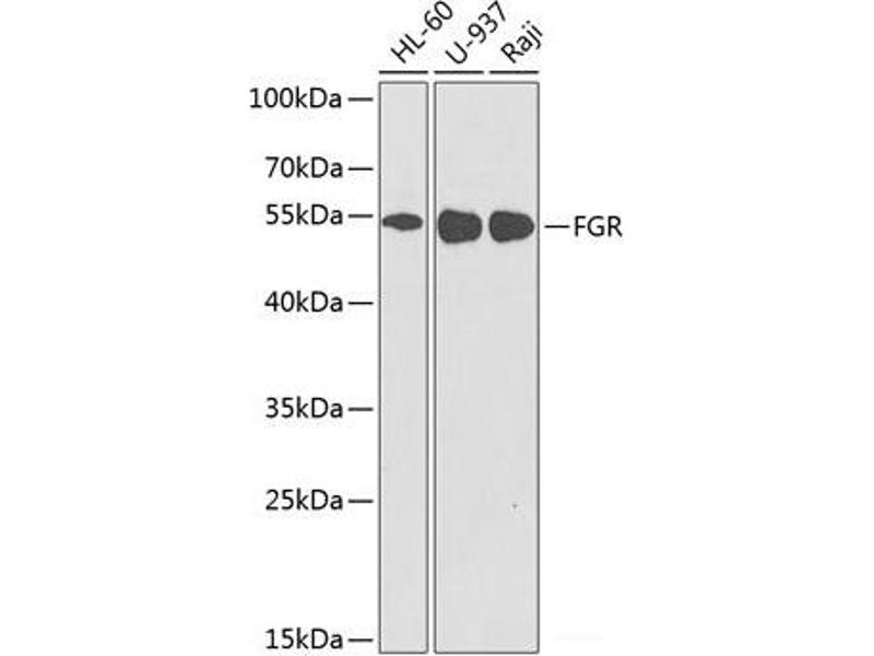
Application
-
-
Attributs du produit
- Polyclonal Antibody
-
Purification
- Affinity purification
-
Immunogène
- A synthetic peptide of human FGR (NP_005239.1).
-
Isotype
- IgG
-
-
-
-
Indications d'application
- WB 1:500-1:2000
-
Restrictions
- For Research Use only
-
-
-
Format
- Liquid
-
Concentration
- 1 mg/mL
-
Buffer
- PBS with 0.02 % sodium azide, 50 % glycerol, pH 7.3
-
Agent conservateur
- Sodium azide
-
Précaution d'utilisation
- This product contains Sodium azide: a POISONOUS AND HAZARDOUS SUBSTANCE which should be handled by trained staff only.
-
Stock
- -20 °C
-
Stockage commentaire
- Store at -20°C. Avoid freeze / thaw cycles.
-
-
- Fgr (FGR) (Gardner-Rasheed Feline Sarcoma Viral (V-Fgr) Oncogene Homolog (FGR))
-
Autre désignation
- FGR
-
Sujet
- This gene is a member of the Src family of protein tyrosine kinases (PTKs). The encoded protein contains N-terminal sites for myristylation and palmitylation, a PTK domain, and SH2 and SH3 domains which are involved in mediating protein-protein interactions with phosphotyrosine-containing and proline-rich motifs, respectively. The protein localizes to plasma membrane ruffles, and functions as a negative regulator of cell migration and adhesion triggered by the beta-2 integrin signal transduction pathway. Infection with Epstein-Barr virus results in the overexpression of this gene. Multiple alternatively spliced variants, encoding the same protein, have been identified.
-
Poids moléculaire
-
Observed_MW: 53 kDa
Calculated_MW: 59 kDa
-
ID gène
- 2268
-
UniProt
- P09769
-
Pathways
- Sensory Perception of Sound, Stem Cell Maintenance, Regulation of Leukocyte Mediated Immunity, Positive Regulation of Immune Effector Process, CXCR4-mediated Signaling Events, Thromboxane A2 Receptor Signaling
Antigène
-