Tel:
+49 (0)241 95 163 153
Fax:
+49 (0)241 95 163 155
E-Mail:
orders@anticorps-enligne.fr

DNAJB6 anticorps

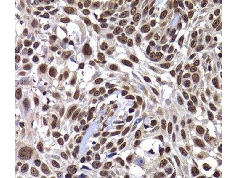
L’anticorps anti-DNAJB6 Polyclonal Lapin est utilisé pour la détection de DNAJB6 dans des échantillons de Humain, Souris et Rat. Il a été validé pour IHC et IF.
N° du produit ABIN7263009
580,00 €
Plus frais de livraison 40,00 € et TVA
Destination: France
Envoi sous 9 à 13 jours ouvrables

Aperçu rapide pour DNAJB6 anticorps (ABIN7263009)

Antigène

Voir toutes DNAJB6 Anticorps
DNAJB6 (DnaJ (Hsp40) Homolog, Subfamily B, Member 6 (DNAJB6))

Reactivité

  • 37
  • 7
  • 7
  • 6
  • 2
  • 2
  • 2
  • 1
  • 1
  • 1
  • 1
  • 1
  • 1
  • 1
  • 1
  • 1
  • 1
Humain, Souris, Rat

Hôte

  • 39
  • 8
Lapin

Clonalité

  • 42
  • 5
Polyclonal

Conjugué

  • 33
  • 4
  • 3
  • 2
  • 2
  • 2
  • 1
Cet anticorp DNAJB6 est non-conjugé

Application

  • 36
  • 20
  • 16
  • 13
  • 12
  • 5
  • 5
  • 4
  • 3
  • 2
  • 2
  • 1
  • 1
  • 1
Immunohistochemistry (IHC), Immunofluorescence (IF)
Vous êtes ici:
Chat with us!