Tel:
+49 (0)241 95 163 153
Fax:
+49 (0)241 95 163 155
E-Mail:
orders@anticorps-enligne.fr

CASR anticorps (Extracellular)

L’anticorps anti-CASR Polyclonal Lapin est utilisé pour la détection de CASR dans des échantillons de Humain. Il a été validé pour WB, IHC, IF, FACS, LCI et IC.
N° du produit ABIN7043018
854,77 €
Plus frais de livraison 40,00 € et TVA
Destination: France
Envoi sous 8 à 9 jours ouvrables

Aperçu rapide pour CASR anticorps (Extracellular) (ABIN7043018)

Antigène

Voir toutes CASR Anticorps
CASR (Calcium-Sensing Receptor (CASR))

Reactivité

  • 93
  • 47
  • 42
  • 7
  • 4
  • 4
  • 3
  • 2
  • 2
  • 2
  • 2
  • 2
  • 1
  • 1
Humain

Hôte

  • 98
  • 8
  • 1
Lapin

Clonalité

  • 100
  • 7
Polyclonal

Conjugué

  • 50
  • 8
  • 7
  • 5
  • 3
  • 3
  • 2
  • 2
  • 2
  • 2
  • 2
  • 2
  • 2
  • 2
  • 2
  • 2
  • 1
  • 1
  • 1
  • 1
  • 1
  • 1
  • 1
  • 1
  • 1
  • 1
  • 1
Cet anticorp CASR est non-conjugé

Application

  • 82
  • 36
  • 21
  • 20
  • 14
  • 10
  • 9
  • 4
  • 2
  • 2
  • 1
  • 1
Western Blotting (WB), Immunohistochemistry (IHC), Immunofluorescence (IF), Flow Cytometry (FACS), Live Cell Imaging (LCI), Immunochromatography (IC)
  • Épitope

    • 21
    • 19
    • 15
    • 8
    • 5
    • 4
    • 3
    • 3
    • 3
    • 2
    • 2
    • 2
    • 2
    • 1
    • 1
    • 1
    • 1
    • 1
    • 1
    • 1
    • 1
    • 1
    • 1
    • 1
    • 1
    AA 216-229, Extracellular

    Fonction

    A Rabbit Polyclonal Antibody to Calcium Sensing Receptor

    Specificité

    Extracellular, N-terminus

     Réactivité croisée

    Humain, Souris, Rat

    Homologie

    Rat,mouse,bovine,canis - identical

    Attributs du produit

    Anti-Calcium Sensing Receptor (extracellular) Antibody (ABIN7043018, ABIN7044161 and ABIN7044162) is a highly specific antibody directed against an epitope of the human CaSR. The antibody can be used in western blot, immunohistochemistry, indirect flow cytometry, and immunocytochemistry, and live cell imaging applications. It has been designed to recognize CaSR from human, rat, and mouse samples.

    Purification

    Affinity purified on immobilized antigen.

    Immunogène

    Immunogen: Synthetic peptide

    Immunogen Sequence: (C)DDYG RPGIE KFREE, corresponding to amino acid residues 216-229 of human CaSR

    Isotype

    IgG
  • Indications d'application

    Antigen preadsorption control: 1 μg peptide per 1 μg antibody

    Application Dilutions Immunohistochemistry paraffin embedded sections ihc: N/A

    Application Dilutions Western blot wb: 1:200

    Commentaires

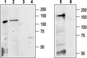
    Cited Application: IHC

    Negative Control: (ABIN7235016)

    Blocking Peptide: (ABIN7235016)

    Restrictions

    For Research Use only
  • Format

    Lyophilized

    Reconstitution

    Recosntitute with double distilled water (DDW) to a concentration of 1.0 mg/mL.

    Concentration

    1 mg/mL

    Buffer

    PBS pH 7.4

    Stock

    4 °C,-20 °C

    Stockage commentaire

    Storage before reconstitution: The antibody ships as a lyophilized powder at room temperature. Upon arrival, it should be stored at -20°C.

    Storage after reconstitution: The reconstituted solution can be stored at 4°C for up to 1 week. For longer periods, small aliquots should be stored at -20°C. Avoid multiple freezing and thawing. Centrifuge all antibody preparations before use (10000 x g 5 min).

  • Antigène

    CASR (Calcium-Sensing Receptor (CASR))

    Autre désignation

    CASR

    Sujet

    CaSR, Extracellular calcium-sensing receptor, Parathyroid cell calcium-sensing receptor 1, PCaR1, GPRC2A,The Calcium-sensing receptor (CaSR) is a member of subfamily C of the G-protein-coupled receptor (GPCR) superfamily. As its primary role, the CaSR is a key player in calcium homeostasis and is expressed in tissues involved in calcium metabolism such as parathyroid cells and the kidneys.1,2The expression of CaSR was also described in other cell types and tissues, such as neurons, keratinocytes, and the pancreas. However, the role of CaSR in these cells remains to be established.1,2 Following the identification of functional vitamin D response elements in the CaSR gene, it was suggested that vitamin D might regulate the expression of CaSR.3CaSR activation is followed by a rapid, transient increase in the cytosolic calcium concentration, resulting from mobilization of calcium from thapsigargin-sensitive intracellular stores, as well as an increased calcium influx through voltage-insensitive calcium channels located at the cell membrane.4CaSR regulates cellular processes such as proliferation, apoptosis, and differentiation under both normal and pathologic conditions.5Recent studies demonstrated the expression in human colon epithelium of CaSR, which regulates proliferation and differentiation. In colon carcinomas, lower levels of expression were found in the cancerous tissue compared to normal colon tissue.

    Alternative names: Calcium Sensing Receptor, CaSR, Extracellular calcium-sensing receptor, Parathyroid cell calcium-sensing receptor 1, PCaR1, GPRC2A

    ID gène

    846

    NCBI Accession

    NM_000388

    UniProt

    P41180

    Pathways

    Positive Regulation of Peptide Hormone Secretion, Carbohydrate Homeostasis
Vous êtes ici:
Chat with us!