Tel:
+49 (0)241 95 163 153
Fax:
+49 (0)241 95 163 155
E-Mail:
orders@anticorps-enligne.fr

DDX19B anticorps

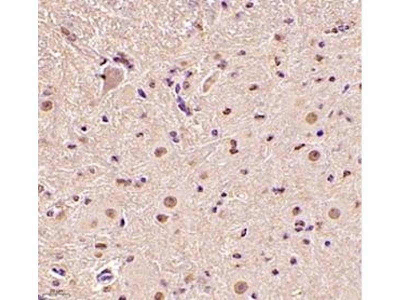
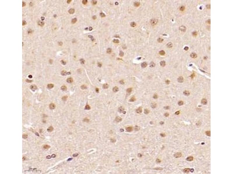
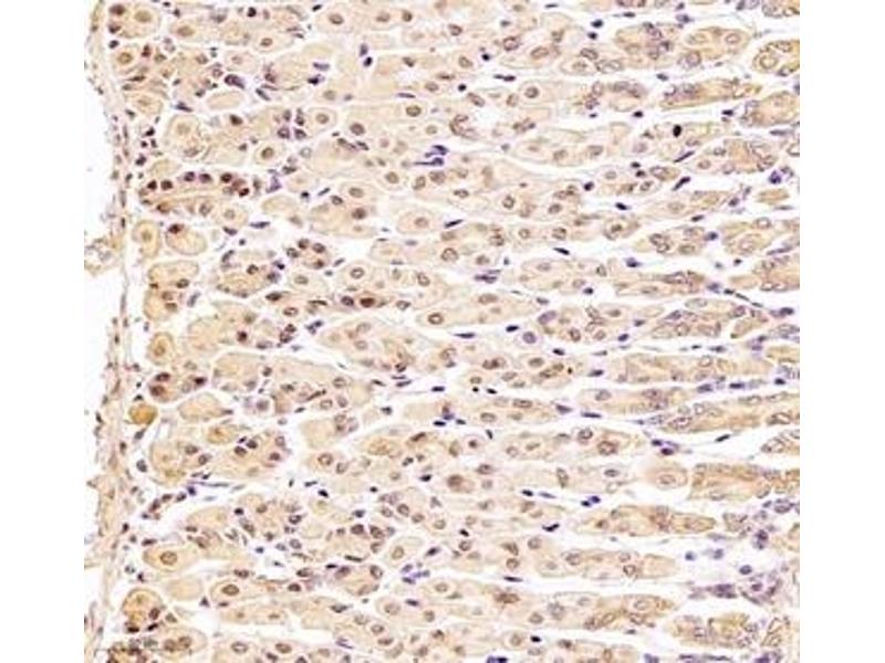
L’anticorps anti-DDX19B Polyclonal Lapin est utilisé pour la détection de DDX19B dans des échantillons de Humain, Souris et Rat. Il a été validé pour WB, IHC et IF.
N° du produit ABIN7073694
592,31 €
Plus frais de livraison 40,00 € et TVA
100 μL
Destination: France
Envoi sous 13 à 20 jours ouvrables

Aperçu rapide pour DDX19B anticorps (ABIN7073694)

Antigène

Voir toutes DDX19B Anticorps
DDX19B (DEAD (Asp-Glu-Ala-As) Box Polypeptide 19B (DDX19B))

Reactivité

  • 54
  • 25
  • 8
  • 6
  • 6
  • 4
  • 4
  • 4
  • 3
  • 3
  • 3
  • 2
  • 2
  • 2
  • 1
  • 1
Humain, Souris, Rat

Hôte

  • 52
  • 1
  • 1
Lapin

Clonalité

  • 54
Polyclonal

Conjugué

  • 28
  • 3
  • 2
  • 2
  • 1
  • 1
  • 1
  • 1
  • 1
  • 1
  • 1
  • 1
  • 1
  • 1
  • 1
  • 1
  • 1
  • 1
  • 1
  • 1
  • 1
  • 1
  • 1
Cet anticorp DDX19B est non-conjugé

Application

  • 31
  • 18
  • 13
  • 13
  • 7
  • 7
  • 5
  • 3
  • 3
  • 2
  • 1
Western Blotting (WB), Immunohistochemistry (IHC), Immunofluorescence (IF)
  •  Réactivité croisée

    Souris, Rat

    Purification

    Affinity purification

    Immunogène

    KLH conjugated Synthetic peptide corresponding to Human DDX19B
  • Indications d'application

    WB (H,M) 1:800-1:1600, IHC/IF (H,M,R) 1:1000-1:4000/1:650-1:1300

    Restrictions

    For Research Use only
  • Format

    Liquid

    Buffer

    PBS, pH 7.4, 0.02 % sodium azide

    Agent conservateur

    Sodium azide

    Précaution d'utilisation

    This product contains Sodium azide: a POISONOUS AND HAZARDOUS SUBSTANCE which should be handled by trained staff only.

    Stock

    -20 °C
  • Antigène

    DDX19B (DEAD (Asp-Glu-Ala-As) Box Polypeptide 19B (DDX19B))

    Autre désignation

    DDX19B

    Sujet

    DEAD box proteins, characterized by the conserved motif Asp-Glu-Ala-Asp (DEAD), are putative RNA helicases. They are implicated in a number of cellular processes involving alteration of RNA secondary structure such as translation initiation, nuclear and mitochondrial splicing, and ribosome and spliceosome assembly. This gene encodes a DEAD box protein, which exhibits RNA-dependent ATPase and ATP-dependent RNA-unwinding activities. This protein is recruited to the cytoplasmic fibrils of the nuclear pore complex, where it participates in the export of mRNA from the nucleus. Multiple alternatively spliced transcript variants encoding different isoforms have been found for this gene.

    Poids moléculaire

    70 kDa

    ID gène

    11269

    NCBI Accession

    NP_001014449

    UniProt

    Q9UMR2
Vous êtes ici:
Chat with us!