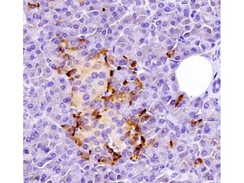
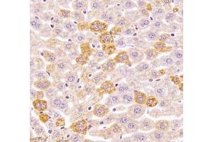
ELAPOR1 anticorps
Aperçu rapide pour ELAPOR1 anticorps (ABIN7073822)
Antigène
Voir toutes ELAPOR1 AnticorpsReactivité
Hôte
Clonalité
Conjugué
Application
-
-
Réactivité croisée
- Humain
-
Purification
- Affinity purification
-
Immunogène
- Recombinant protein corresponding to Mouse Estrogen-induced gene 121 protein
-
-
-
-
Indications d'application
- IHC/IF (H,M) 1:2500-1:10000
-
Restrictions
- For Research Use only
-
-
-
Format
- Liquid
-
Buffer
- PBS, pH 7.4, 0.02 % sodium azide
-
Agent conservateur
- Sodium azide
-
Précaution d'utilisation
- This product contains Sodium azide: a POISONOUS AND HAZARDOUS SUBSTANCE which should be handled by trained staff only.
-
Stock
- -20 °C
-
-
- ELAPOR1 (Endosome/Lysosome-associated Apoptosis and Autophagy Regulator 1 (ELAPOR1))
-
Autre désignation
- Estrogen-induced gene 121 protein
-
Sujet
- May protect cells from cell death by inducing cytosolic vacuolization and upregulating the autophagy pathway. May play a role in apoptosis and cell proliferation through its interaction with HSPA5.
-
ID gène
- 229722
-
NCBI Accession
- NP_001028476
-
UniProt
- A2AFS3
Antigène
-