Tel:
+49 (0)241 95 163 153
Fax:
+49 (0)241 95 163 155
E-Mail:
orders@anticorps-enligne.fr

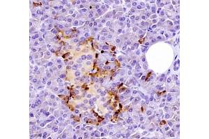
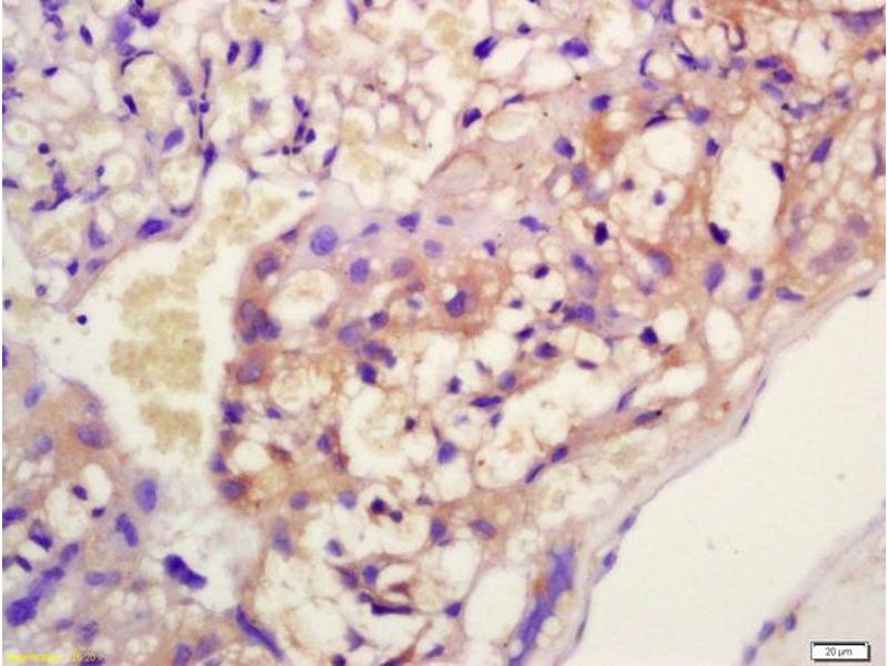
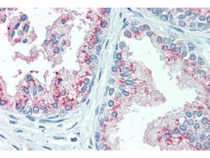
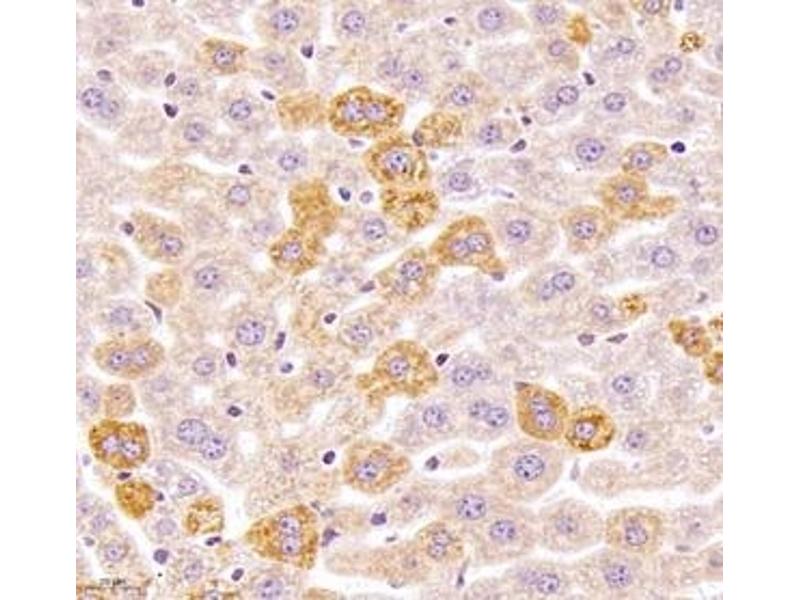
ELAPOR1 Anticorps

(Endosome/Lysosome-associated Apoptosis and Autophagy Regulator 1 (ELAPOR1))

Choisissez l’un des 49 anticorps ELAPOR1 de notre liste de produits basés sur 25 images de validation.

Découvrez des anticorps ELAPOR1 fiables issus d’une large sélection de fabricants renommés. Notre portefeuille permet une détection précise de ELAPOR1 dans plusieurs espèces, y compris Human, Mouse, Rat, Cow, Dog, Pig, Horse, Rabbit, Guinea Pig, Bat, Chimpanzee, Gibbon, Gorilla, Monkey, Orang-Utan, Zebrafish (Danio rerio), et prend en charge diverses applications de recherche telles que WB, IHC, ELISA, IF (cc), IF (p).

Trouvez rapidement l’anticorps adapté grâce à nos outils de recherche, de filtrage et de comparaison. Chaque page produit fournit des données de validation détaillées, des références bibliographiques et des retours d’utilisateurs. Contrairement aux ressources dédiées uniquement à la comparaison, vous pouvez acheter directement les anticorps sur notre site. Choisissez parmi des anticorps polyclonaux, monoclonaux ou recombinants ELAPOR1, issus de différents hôtes tels que Rabbit. Parcourez nos produits ci-dessous et commandez directement pour soutenir vos recherches en toute confiance.

Les noms alternatifs de ELAPOR1 sont KIAA1324, 5330417C22Rik.

49 Résultats

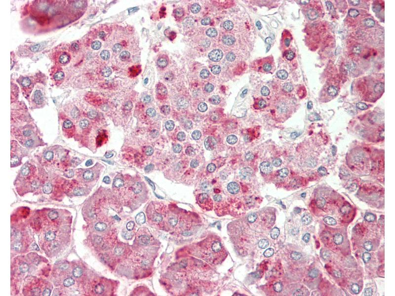
ELAPOR1 Reactivité: Humain, Souris IHC, IF Hôte: Lapin Polyclonal unconjugated
N° du produit ABIN7073822
592,31 €
Plus frais de livraison 40,00 € et TVA
100 μL
Destination: France
Envoi sous 13 à 20 jours ouvrables
 
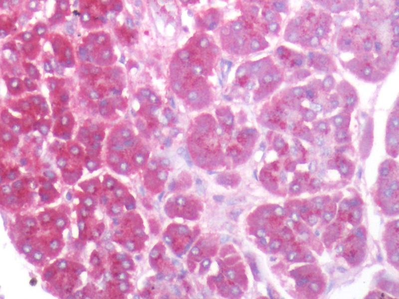
ELAPOR1 Reactivité: Humain WB, ELISA, IHC (p), IF (cc), IF (p), ICC, IHC (fro) Hôte: Lapin Polyclonal unconjugated
N° du produit ABIN717686
357,70 €
Plus frais de livraison 40,00 € et TVA
100 μL
Destination: France
Envoi sous 8 à 12 jours ouvrables
 
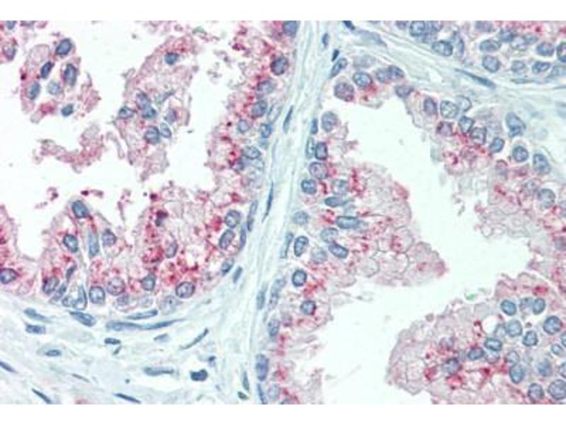
ELAPOR1 Reactivité: Humain, Souris WB, IHC (p) Hôte: Lapin Polyclonal RB27119 unconjugated
N° du produit ABIN656481
434,77 €
Plus frais de livraison 40,00 € et TVA
400 μL (Autres quantités disponibles)
Destination: France
Envoi sous 14 à 17 jours ouvrables
 
ELAPOR1 Reactivité: Humain, Cheval, Lapin IHC, IHC (p) Hôte: Lapin Polyclonal unconjugated
N° du produit ABIN960788
534,81 €
Plus frais de livraison 40,00 € et TVA
50 μg
Destination: France
Envoi sous 15 à 20 jours ouvrables
 
ELAPOR1 Reactivité: Humain, Souris IHC, ELISA Hôte: Lapin Polyclonal unconjugated
N° du produit ABIN7241228
449,00 €
Plus frais de livraison 40,00 € et TVA
200 μL (Autres quantités disponibles)
Destination: France
Envoi sous 9 à 13 jours ouvrables
 
ELAPOR1 Reactivité: Humain, Souris WB, IHC (p), EIA Hôte: Lapin Polyclonal unconjugated
N° du produit ABIN953056
870,77 €
Plus frais de livraison 40,00 € et TVA
0.4 mL
Destination: France
Envoi sous 17 jours ouvrables
 
ELAPOR1 Reactivité: Humain, Souris, Rat WB Hôte: Lapin Polyclonal unconjugated
N° du produit ABIN635280
1.218,13 €
Plus frais de livraison 40,00 € et TVA
100 μL
Destination: France
Envoi sous 13 à 17 jours ouvrables
 
ELAPOR1 Reactivité: Humain WB, IHC, IHC (p) Hôte: Lapin Polyclonal unconjugated
N° du produit ABIN959653
512,07 €
Plus frais de livraison 40,00 € et TVA
0.05 mg
Destination: France
Envoi sous 15 à 20 jours ouvrables
 
ELAPOR1 Reactivité: Humain, Souris, Boeuf (Vache), Chien, Porc, Cheval, Lapin, Cobaye, Roussette (Chauve-souris), Singe WB, IHC, IHC (p) Hôte: Lapin Polyclonal unconjugated
N° du produit ABIN6755447
512,07 €
Plus frais de livraison 40,00 € et TVA
100 μL
Destination: France
Envoi sous 15 à 20 jours ouvrables
 
ELAPOR1 Reactivité: Humain WB, IF, EIA Hôte: Lapin Polyclonal unconjugated
N° du produit ABIN1450044
864,62 €
Plus frais de livraison 40,00 € et TVA
0.1 mg
Destination: France
Envoi sous 17 jours ouvrables
 
ELAPOR1 Reactivité: Humain WB, IF (cc), IF (p) Hôte: Lapin Polyclonal AbBy Fluor® 750
N° du produit ABIN5001865
426,37 €
Plus frais de livraison 40,00 € et TVA
100 μL
Destination: France
Envoi sous 20 à 25 jours ouvrables
 
ELAPOR1 Reactivité: Humain WB, IF (cc), IF (p) Hôte: Lapin Polyclonal AbBy Fluor® 680
N° du produit ABIN5001864
426,37 €
Plus frais de livraison 40,00 € et TVA
100 μL
Destination: France
Envoi sous 20 à 25 jours ouvrables
 
ELAPOR1 Reactivité: Humain WB, ELISA, IHC (p), IHC (fro) Hôte: Lapin Polyclonal HRP
N° du produit ABIN717695
437,53 €
Plus frais de livraison 40,00 € et TVA
100 μL
Destination: France
Envoi sous 20 à 25 jours ouvrables
 
ELAPOR1 Reactivité: Humain WB, IF (cc), IF (p) Hôte: Lapin Polyclonal Cy5.5
N° du produit ABIN717691
437,53 €
Plus frais de livraison 40,00 € et TVA
100 μL
Destination: France
Envoi sous 20 à 25 jours ouvrables
 
ELAPOR1 Reactivité: Humain WB, IF (cc), IF (p) Hôte: Lapin Polyclonal Cy7
N° du produit ABIN717692
437,53 €
Plus frais de livraison 40,00 € et TVA
100 μL
Destination: France
Envoi sous 20 à 25 jours ouvrables
 
ELAPOR1 Reactivité: Humain WB, IF (cc), IF (p) Hôte: Lapin Polyclonal FITC
N° du produit ABIN717693
437,53 €
Plus frais de livraison 40,00 € et TVA
100 μL
Destination: France
Envoi sous 20 à 25 jours ouvrables
 
ELAPOR1 Reactivité: Humain WB, ELISA, IHC (p), IHC (fro) Hôte: Lapin Polyclonal Biotin
N° du produit ABIN717688
419,50 €
Plus frais de livraison 40,00 € et TVA
100 μL
Destination: France
Envoi sous 20 à 25 jours ouvrables
 
ELAPOR1 Reactivité: Humain WB, IF (cc), IF (p) Hôte: Lapin Polyclonal Cy5
N° du produit ABIN717690
437,53 €
Plus frais de livraison 40,00 € et TVA
100 μL
Destination: France
Envoi sous 20 à 25 jours ouvrables
 
ELAPOR1 Reactivité: Humain WB, IF (cc), IF (p) Hôte: Lapin Polyclonal Cy3
N° du produit ABIN717689
437,53 €
Plus frais de livraison 40,00 € et TVA
100 μL
Destination: France
Envoi sous 20 à 25 jours ouvrables
 
ELAPOR1 Reactivité: Humain WB, IF (cc), IF (p) Hôte: Lapin Polyclonal AbBy Fluor® 488
N° du produit ABIN895134
426,37 €
Plus frais de livraison 40,00 € et TVA
100 μL
Destination: France
Envoi sous 20 à 25 jours ouvrables
 
  • Type Primary
    • Primary
  • Application
    • Western Blotting (WB)
    • Immunohistochemistry (IHC)
    • ELISA
    • Immunofluorescence (Cultured Cells) (IF (cc))
    • Immunofluorescence (Paraffin-embedded Sections) (IF (p))
    • Immunohistochemistry (Paraffin-embedded Sections) (IHC (p))
    • Immunofluorescence (IF)
    • Immunohistochemistry (Frozen Sections) (IHC (fro))
    • Enzyme Immunoassay (EIA)
    • Immunocytochemistry (ICC)
  • Réactivité
    • Human
    • Mouse
    • Rat
    • Cow
    • Dog
    • Pig
    • Horse
    • Rabbit
    • Guinea Pig
    • Bat
    • Chimpanzee
    • Gibbon
    • Gorilla
    • Monkey
    • Orang-Utan
    • Zebrafish (Danio rerio)
  • Images disponible
  • Sans conservateur uniquement
  • Carrier free only
  • Hote
    • Rabbit
  • Clonalité
    • Polyclonal
  • Clone
    • RB27119
  • Epitope
    • AA 841-940
    • AA 704-732
    • C-Term
    • N-Term
    • AA 110-159
    • AA 703-732
    • Internal Region
  • Conjugué
    • Inconjugué
    • PE
    • APC
    • Biotin
    • FITC
    • HRP
    • AbBy Fluor® 350
    • AbBy Fluor® 488
    • AbBy Fluor® 555
    • AbBy Fluor® 594
    • AbBy Fluor® 647
    • AbBy Fluor® 680
    • AbBy Fluor® 750
    • Alexa Fluor 488
    • Alexa Fluor 555
    • Alexa Fluor 594
    • Alexa Fluor 647
    • Alexa Fluor 680
    • Alexa Fluor 750
    • Cy3
    • Cy5
    • Cy5.5
    • Cy7
    • PE-Cy5
    • PE-Cy5.5
    • PE-Cy7
  • Isotype
    • IgG
    • Ig Fraction
  • Format
    • Liquid
    • Lyophilized
  • Supplier
    • antibodies-online
    • Signalway
    • USBio
    • Acris
    • ProSci
    • Aviva Systems Biology
    • Cohesion Biosciences

Pseudonymes pour ELAPOR1 Anticorps

KIAA1324 (KIAA1324) Anticorps
RIKEN cDNA 5330417C22 gene (5330417C22Rik) Anticorps
BB183350 Anticorps
EIG121 Anticorps
Kiaa1324 Anticorps
mKIAA1324 Anticorps
Vous êtes ici:
Chat with us!