GPAA1 anticorps
Aperçu rapide pour GPAA1 anticorps (ABIN7074122)
Antigène
Voir toutes GPAA1 AnticorpsReactivité
Hôte
Clonalité
Conjugué
Application
-
-
Réactivité croisée
- Rat
-
Purification
- Affinity purification
-
Immunogène
- Recombinant protein corresponding to Mouse GAA1
-
-
-
-
Indications d'application
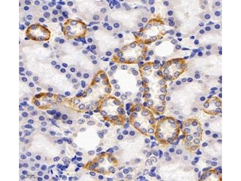
- IHC/IF (R) 1:2000-1:4000
-
Restrictions
- For Research Use only
-
-
-
Format
- Liquid
-
Buffer
- PBS, pH 7.4, 0.02 % sodium azide
-
Agent conservateur
- Sodium azide
-
Précaution d'utilisation
- This product contains Sodium azide: a POISONOUS AND HAZARDOUS SUBSTANCE which should be handled by trained staff only.
-
Stock
- -20 °C
-
-
- GPAA1 (GPI Anchor Attachment Protein 1 (GPAA1))
-
Autre désignation
- GAA1
-
Sujet
- GPAA1(Glycosylphosphatidylinositol anchor attachment 1 protein) is also named as GAA1. It is the most conspicuously hydrophobic of the known subunits of GPIT, and it may play a key role in substrate recognition. It is predicted to be a multispanning membrane protein of 67 kDa with seven transmembrane (TM) domains, a large lumenal domain between the first two TM segments, and a cytoplasmically oriented N terminus bearing a potential ER retrieval signal in the form of a diarginine motif. It has 2 isoforms produced by alternative splicing and the full length protein has 2 glycosylation sites. This antibody is specific to GPAA1.
-
ID gène
- 14731
-
UniProt
- Q9WTK3
-
Pathways
- Inositol Metabolic Process, Maintenance of Protein Location, SARS-CoV-2 Protein Interactome
Antigène
-