Tel:
+49 (0)241 95 163 153
Fax:
+49 (0)241 95 163 155
E-Mail:
orders@anticorps-enligne.fr

Mannose Receptor anticorps

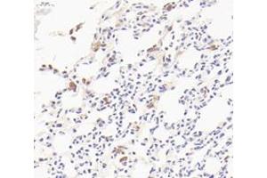
Cet anticorps anti-Mannose Receptor Polyclonal Lapin (ABIN7074550) détecte spécifiquement Mannose Receptor dans IHC et IF. L’anticorps est réactif avec des échantillons de Souris.
N° du produit ABIN7074550
592,31 €
Plus frais de livraison 40,00 € et TVA
100 μL
Destination: France
Envoi sous 13 à 20 jours ouvrables

Aperçu rapide pour Mannose Receptor anticorps (ABIN7074550)

Antigène

Voir toutes Mannose Receptor (MR) Anticorps
Mannose Receptor (MR)

Reactivité

  • 37
  • 17
  • 2
  • 1
Souris

Hôte

  • 22
  • 15
  • 8
Lapin

Clonalité

  • 32
  • 13
Polyclonal

Conjugué

  • 22
  • 5
  • 3
  • 3
  • 2
  • 1
  • 1
  • 1
  • 1
  • 1
  • 1
  • 1
  • 1
  • 1
  • 1
Cet anticorp Mannose Receptor est non-conjugé

Application

  • 20
  • 18
  • 13
  • 10
  • 8
  • 6
  • 3
  • 2
  • 1
  • 1
  • 1
  • 1
Immunohistochemistry (IHC), Immunofluorescence (IF)
  • Purification

    Affinity purification

    Immunogène

    KLH conjugated Synthetic peptide corresponding to Mouse Mannose Receptor
  • Indications d'application

    IHC/IF (M) 1:400-1:800

    Restrictions

    For Research Use only
  • Format

    Liquid

    Buffer

    PBS, pH 7.4, 0.02 % sodium azide

    Agent conservateur

    Sodium azide

    Précaution d'utilisation

    This product contains Sodium azide: a POISONOUS AND HAZARDOUS SUBSTANCE which should be handled by trained staff only.

    Stock

    -20 °C
  • Antigène

    Mannose Receptor (MR)

    Autre désignation

    Mannose Receptor

    Sujet

    CD206, also named as MMR, CLEC13D and MRC1, is a type I membrane receptor that mediates the endocytosis of glycoproteins by macrophages. CD206 has been shown to bind high-mannose structures on the surface of potentially pathogenic viruses, bacteria, and fungi so that they can be neutralized by phagocytic engulfment. CD206 is a 170 kDa transmembrane glycoprotein which contains 5 domains: an amino-terminal cysteine-rich region, a fibronectin type II repeat, a series of eight tandem lectin-like carbohydrate recognition domains (responsible for the recognition of mannose and fucose), a transmembrane domain, and an intracellular carboxy-terminal tail.

    ID gène

    17533

    UniProt

    Q61830
Vous êtes ici:
Chat with us!