MFAP4 anticorps
Aperçu rapide pour MFAP4 anticorps (ABIN7074614)
Antigène
Voir toutes MFAP4 AnticorpsReactivité
Hôte
Clonalité
Conjugué
Application
-
-
Réactivité croisée
- Humain
-
Purification
- Affinity purification
-
Immunogène
- KLH conjugated Synthetic peptide corresponding to Mouse MFAP4
-
-
-
-
Indications d'application
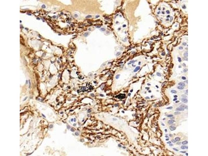
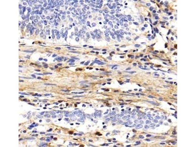
- IHC/IF(H,M)1:1000-1:2000
-
Restrictions
- For Research Use only
-
-
-
Format
- Liquid
-
Buffer
- PBS, pH 7.4, 0.02 % sodium azide
-
Agent conservateur
- Sodium azide
-
Précaution d'utilisation
- This product contains Sodium azide: a POISONOUS AND HAZARDOUS SUBSTANCE which should be handled by trained staff only.
-
Stock
- -20 °C
-
-
- MFAP4 (Microfibrillar-Associated Protein 4 (MFAP4))
-
Autre désignation
- MFAP4
-
Sujet
- This gene encodes a protein with similarity to a bovine microfibril-associated protein. The protein has binding specificities for both collagen and carbohydrate. It is thought to be an extracellular matrix protein which is involved in cell adhesion or intercellular interactions. The gene is located within the Smith-Magenis syndrome region. Two transcript variants encoding different isoforms have been found for this gene.
-
ID gène
- 76293
-
UniProt
- Q9D1H9
Antigène
-